免费电话:400-9961-933
邮箱:info@sabbiotech.com
欢迎光临本站
川博智能体 English
位置: 首页 > 多克隆抗体 > NQO1 Antibody

NQO1 Antibody #31283

是否有货: 有货
产品详情

产品名称NQO1 Antibody

来源种属Rabbit

克隆性Polyclonal

应用ELISA WB IHC

种属反应性Human

特异性The antibody detects endogenous level of total NQO1 protein.

免疫原类型Peptide-KLH

免疫原描述Synthetic peptide corresponding to a region derived from 260-274 amino acids of Human NAD(P)H dehydrogenase, quinone 1

基因/蛋白名称NQO1

标记Unconjugated

别名NAD(P)H dehydrogenase, quinone 1, DTD, QR1, DHQU, DIA4, NMOR1, NMORI

数据库入口号Genbank No.: NP_000894

Uniprot NP_000894

配方Supplied at 0.9mg/mL in phosphate buffered saline (without Mg2+ and Ca2+), pH 7.3, 0.05% sodium azide and 50% glycerol.

保存Store at -20˚C/1 year

应用详情

Predicted MW: 27kd
ELISA: 1:1000-1:5000
Western blotting: 1:500-1:2000
Immunohistochemistry: 1:25-1:100

Gel: 10%SDS-PAGE
Lysate: 40 µg Hela cell lysate
Primary antibody: 1/600 dilution
Secondary antibody: Goat anti Rabbit IgG - H&L (HRP) at 1/10000 dilution
Exposure time: 30 seconds
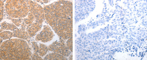
The image on the left is immunohistochemistry of paraffin-embedded human liver cancer tissue using 31283 (NQO1 Antibody) at dilution 1/25, on the right is treated with the synthetic peptide.

This gene is a member of the NAD(P)H dehydrogenase (quinone) family and encodes a cytoplasmic 2-electron reductase. This FAD-binding protein forms homodimers and reduces quinones to hydroquinones. This protein's enzymatic activity prevents the one electron reduction of quinones that results in the production of radical species. Mutations in this gene have been associated with tardive dyskinesia (TD), an increased risk of hematotoxicity after exposure to benzene, and susceptibility to various forms of cancer. Altered expression of this protein has been seen in many tumors and is also associated with Alzheimer's disease (AD). Alternate transcriptional splice variants, encoding different isoforms, have been characterized.

如果您使用该产品31283发表了文章,请通知我们,让我们可以引用您的文献。

et al,Lipoxin A4 methyl ester ameliorates cognitive deficits induced by chronic cerebral hypoperfusion through activating ERK/Nrf2 signaling pathway in rats.In Pharmacol Biochem Behav on 2014 Sep by Wei Jin, Yanqiu Jia et al..PMID:24909072 , (2014),
PMID: 24909072

注释

应用

  • WB免疫印迹
  • IHC免疫组化
  • IF免疫荧光
  • ICC免疫细胞化学
  • FC流式细胞
  • IP免疫沉淀
  • E酶联免疫吸附法
  • DB免疫斑点法
  • ChIP染色质免疫沉淀
  • GICA胶体金免疫层析法
  • NC阴性对照

种属反应性

  • Hu
  • Ms小鼠
  • Rt大鼠
  • Dm果蝇
  • C线虫
  • Mk
  • Rb
  • B
  • D
  • P
  • Hm仓鼠
  • ChHm中国仓鼠
  • Chk
;

联系我们

Location :

南京市高新开发区星火路10号人才大厦C座

Phone :

400-9961-933
025-58868422

Email Address

info@sabbiotech.com