免费电话:400-9961-933
邮箱:info@sabbiotech.com
欢迎光临本站
川博智能体 English
位置: 首页 > 多克隆抗体 > PARP1 Antibody

PARP1 Antibody #31288

是否有货: 有货
产品详情

产品名称PARP1 Antibody

来源种属Rabbit

克隆性Polyclonal

应用ELISA WB IHC

种属反应性Human

特异性The antibody detects endogenous level of total PARP1 protein.

免疫原类型Peptide

免疫原描述Synthetic peptide corresponding to a region derived from 12-21 amino acids of human poly (ADP-ribose) polymerase 1

基因/蛋白名称PARP1

标记Unconjugated

别名poly (ADP-ribose) polymerase 1, PARP, PPOL, ADPRT, ARTD1, ADPRT1, PARP-1, ADPRT 1, pADPRT-1

数据库入口号Genbank No.: NP_001609.2

Uniprot NP_001609.2

配方Supplied at 0.7mg/mL in phosphate buffered saline (without Mg2+ and Ca2+), pH 7.3, 0.05% sodium azide and 50% glycerol.

保存Store at -20˚C/1 year

应用详情
Predicted MW: 113kd
ELISA: 1:2000-1:5000
Western blotting: 1:500-1:2000
Immunohistochemistry: 1:50-1:200
Gel: 8%SDS-PAGE
Lane1: Hela cell lysate
Lane2: K562 cell lysate
Lane3: Jurkat cell lysate
Lysates: 40 ug per lane
Primary antibody: 1/350 dilution
Secondary antibody: Goat anti Rabbit IgG - H&L (HRP) at 1/10000 dilution
Exposure time: 1 second
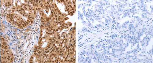
The image on the left is immunohistochemistry of paraffin-embedded human ovarian cancer tissue using 31288 (PARP1 Antibody) at dilution 1/40, on the right is treated with the synthetic peptide.
This gene encodes a chromatin-associated enzyme, poly(ADP-ribosyl)transferase, which modifies various nuclear proteins by poly(ADP-ribosyl)ation. The modification is dependent on DNA and is involved in the regulation of various important cellular processes such as differentiation, proliferation, and tumor transformation and also in the regulation of the molecular events involved in the recovery of cell from DNA damage. In addition, this enzyme may be the site of mutation in Fanconi anemia, and may participate in the pathophysiology of type I diabetes.

如果您使用该产品31288发表了文章,请通知我们,让我们可以引用您的文献。

et al,Quercetin induces apoptosis via the mitochondrial pathway in KB and KBv200 cells.In J Agric Food Chem on 2013 Mar 6 by Zhang JY, Yi T,et al..PMID:23410218 , (2013),
PMID: 23410218
et al,Targeting p53 via JNK pathway: a novel role of RITA for apoptotic signaling in multiple myeloma. In PLoS One on 2012 by Manujendra N Saha, Hua Jiang, et al..PMID: 22276160 , (2012),
PMID: 22276160
et al,Apoptosis sensitization by Euphorbia factor L1 in ABCB1-mediated multidrug resistant K562/ADR cells. In Molecules on 2013 Oct 16 by Tao Yi, Yi-Na Tang, et al..PMID: 24135937 , (2013),
PMID: 24135937
et al,miR-137 and miR-197 induce apoptosis and suppress tumorigenicity by targeting MCL-1 in multiple myeloma.In Clin Cancer Res on 2015 May 15 by Yijun Yang , Fei Li et al..PMID:25724519 , (2015),
PMID: 25724519
et al,GC-MSCs transcriptionally upregulate SALL4 in gastric cancer through miR-4669/TIMP3/β-catenin signaling , (2025),
PMID: 39965736
et al,High‐Fat Diet Promotes Glycolysis in Hepatocellular Carcinoma by Suppressing Hepatic Kisspeptin Signaling in Mice , (2025),
PMID: 41328591

注释

应用

  • WB免疫印迹
  • IHC免疫组化
  • IF免疫荧光
  • ICC免疫细胞化学
  • FC流式细胞
  • IP免疫沉淀
  • E酶联免疫吸附法
  • DB免疫斑点法
  • ChIP染色质免疫沉淀
  • GICA胶体金免疫层析法
  • NC阴性对照

种属反应性

  • Hu
  • Ms小鼠
  • Rt大鼠
  • Dm果蝇
  • C线虫
  • Mk
  • Rb
  • B
  • D
  • P
  • Hm仓鼠
  • ChHm中国仓鼠
  • Chk
;

联系我们

Location :

南京市高新开发区星火路10号人才大厦C座

Phone :

400-9961-933
025-58868422

Email Address

info@sabbiotech.com