免费电话:400-9961-933
邮箱:info@sabbiotech.com
欢迎光临本站
川博智能体 English
位置: 首页 > 多克隆抗体 > SQSTM1 / p62 Polyclonal Antibody

SQSTM1 / p62 Polyclonal Antibody #31319

是否有货: Yes
产品详情

产品名称SQSTM1 / p62 Polyclonal Antibody

来源种属Rabbit

克隆性Polyclonal

亚型IgG

纯化Affinity purification

应用WB,IHC,IF

种属反应性Human;Mouse;Rat

免疫原描述Recombinant fusion protein of human SQSTM1 / p62 (NP_001135770.1).

标记Unconjugated

别名SQSTM1; A170; DMRV; FTDALS3; NADGP; OSIL; PDB3; ZIP3; p60; p62; p62B; sequestosome-1

数据库入口号Swiss-Prot#:Q13501
NCBI Gene ID:8878

Uniprot Q13501

计算分子量60kDa

配方Avoid freeze / thaw cycles.|Buffer: PBS with 50% glycerol, pH7.4.

保存Store at -20˚C

应用详情
WB 1:500 - 1:2000
IHC 1:50 - 1:200
IF 1:50 - 1:200
IP 1:50 - 1:100
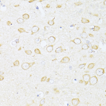
Immunohistochemistry of paraffin-embedded rat brain using SQSTM1 / p62 antibody at dilution of 1:100 (40x lens).
Confocal immunofluorescence analysis of Hela cells using SQSTM1 / p62 Polyclonal antibody at dilution of 1:200. Blue: DAPI for nuclear staining.
Confocal immunofluorescence analysis of U-2 OS cells using SQSTM1 / p62 Polyclonal antibody at dilution of 1:200. Blue: DAPI for nuclear staining.
Immunofluorescence analysis of U2OS cells using SQSTM1 / p62 antibody at dilution of 1:100. Blue: DAPI for nuclear staining.
Immunofluorescence analysis of NIH/3T3 using SQSTM1 / p62 antibody at dilution of 1:100. Blue: DAPI for nuclear staining.
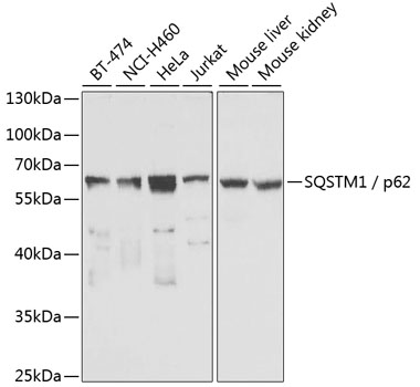
Western blot analysis of extracts of various cell lines, using SQSTM1 / p62 antibody at 1:1000 dilution.
This gene encodes a multifunctional protein that binds ubiquitin and regulates activation of the nuclear factor kappa-B (NF-kB) signaling pathway. The protein functions as a scaffolding/adaptor protein in concert with TNF receptor-associated factor 6 to mediate activation of NF-kB in response to upstream signals. Alternatively spliced transcript variants encoding either the same or different isoforms have been identified for this gene. Mutations in this gene result in sporadic and familial Paget disease of bone.

如果您使用该产品31319发表了文章,请通知我们,让我们可以引用您的文献。

et al,Xinyin tablets affect mitophagy and cardiomyocyte apoptosis to alleviate chronic heart failure by regulating histone deacetylase 3(HDAC3)-mediated PTEN induced putative kinase 1(PINK1)/Parkin signaling pathway. , (2025),
PMID: 40122315

注释

应用

  • WB免疫印迹
  • IHC免疫组化
  • IF免疫荧光
  • ICC免疫细胞化学
  • FC流式细胞
  • IP免疫沉淀
  • E酶联免疫吸附法
  • DB免疫斑点法
  • ChIP染色质免疫沉淀
  • GICA胶体金免疫层析法
  • NC阴性对照

种属反应性

  • Hu
  • Ms小鼠
  • Rt大鼠
  • Dm果蝇
  • C线虫
  • Mk
  • Rb
  • B
  • D
  • P
  • Hm仓鼠
  • ChHm中国仓鼠
  • Chk
;

联系我们

Location :

南京市高新开发区星火路10号人才大厦C座

Phone :

400-9961-933
025-58868422

Email Address

info@sabbiotech.com