免费电话:400-9961-933
邮箱:info@sabbiotech.com
欢迎光临本站
川博智能体 English
位置: 首页 > 多克隆抗体 > LHX4 Polyclonal Antibody

LHX4 Polyclonal Antibody #31431

是否有货: Yes
产品详情

产品名称LHX4 Polyclonal Antibody

来源种属Rabbit

克隆性Polyclonal

亚型IgG

纯化Affinity purification

应用WB,IHC

种属反应性Human;Mouse;Rat

免疫原描述Recombinant fusion protein of human LHX4 (NP_203129.1).

标记Unconjugated

别名LHX4; CPHD4; LIM homeobox 4

数据库入口号Swiss-Prot#:Q969G2
NCBI Gene ID:89884

Uniprot Q969G2

计算分子量43kDa

配方Avoid freeze / thaw cycles.|Buffer: PBS with 50% glycerol, pH7.4.

保存Store at -20˚C

应用详情
WB 1:500 - 1:2000
IHC 1:50 - 1:200
Western blot analysis of extracts of various cell lines, using LHX4 Antibody.
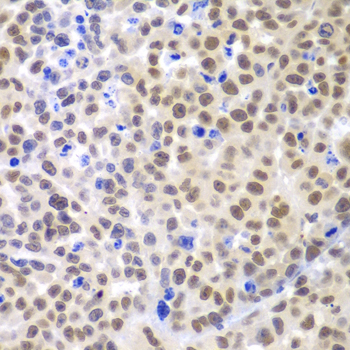
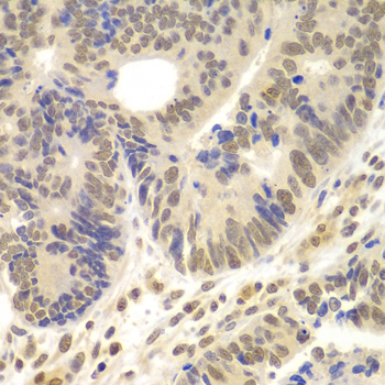
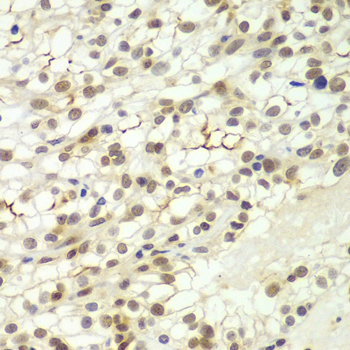
Immunohistochemistry of paraffin-embedded human colon carcinoma using LHX4 antibody.
Immunohistochemistry of paraffin-embedded human oophoroma using LHX4 antibody.
Immunohistochemistry of paraffin-embedded human kidney cancer using LHX4 antibody.
Immunohistochemistry of paraffin-embedded human gastric cancer using LHX4 antibody.
Immunohistochemistry of paraffin-embedded mouse liver using LHX4 antibody.
Immunohistochemistry of paraffin-embedded mouse cancer using LHX4 antibody.
This gene encodes a member of a large protein family which contains the LIM domain, a unique cysteine-rich zinc-binding domain. The encoded protein is a transcription factor involved in the control of differentiation and development of the pituitary gland. Mutations in this gene cause combined pituitary hormone deficiency 4.

如果您使用该产品31431发表了文章,请通知我们,让我们可以引用您的文献。

et al,Sodium arsenite impairs sperm quality via downregulating the ZMYND15 and ZMYND10. In Environ Toxicol on 2024 Sep by Xiangli Li, Kaina Shen,et al..PMID:38798119 , (2024),
PMID: 38798119

注释

应用

  • WB免疫印迹
  • IHC免疫组化
  • IF免疫荧光
  • ICC免疫细胞化学
  • FC流式细胞
  • IP免疫沉淀
  • E酶联免疫吸附法
  • DB免疫斑点法
  • ChIP染色质免疫沉淀
  • GICA胶体金免疫层析法
  • NC阴性对照

种属反应性

  • Hu
  • Ms小鼠
  • Rt大鼠
  • Dm果蝇
  • C线虫
  • Mk
  • Rb
  • B
  • D
  • P
  • Hm仓鼠
  • ChHm中国仓鼠
  • Chk
;

联系我们

Location :

南京市高新开发区星火路10号人才大厦C座

Phone :

400-9961-933
025-58868422

Email Address

info@sabbiotech.com