免费电话:400-9961-933
邮箱:info@sabbiotech.com
欢迎光临本站
川博智能体 English
位置: 首页 > 多克隆抗体 > NUDT15 Polyclonal Antibody

NUDT15 Polyclonal Antibody #31526

是否有货: Yes
产品详情

产品名称NUDT15 Polyclonal Antibody

来源种属Rabbit

克隆性Polyclonal

亚型IgG

纯化Affinity purification

应用WB,IHC

种属反应性Human;Mouse;Rat

免疫原描述Recombinant fusion protein of human NUDT15 (NP_060753.1).

标记Unconjugated

别名NUDT15; MTH2; NUDT15D; nudix hydrolase 15

数据库入口号Swiss-Prot#:Q9NV35
NCBI Gene ID:55270

Uniprot Q9NV35

计算分子量19kDa

配方Avoid freeze / thaw cycles.|Buffer: PBS with 50% glycerol, pH7.4.

保存Store at -20˚C

应用详情
WB 1:500 - 1:2000
IHC 1:50 - 1:100
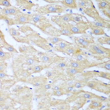
Immunohistochemistry of paraffin-embedded human liver using NUDT15 antibody at dilution of 1:100 (40x lens).
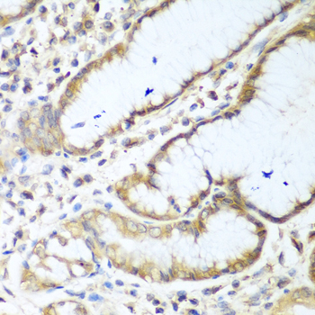
Immunohistochemistry of paraffin-embedded human stomach using NUDT15 antibody at dilution of 1:100 (40x lens).
Western blot analysis of extracts of various cell lines, using NUDT15 antibody at 1:1000 dilution.
This gene encodes an enzyme that belongs to the Nudix hydrolase superfamily. Members of this superfamily catalyze the hydrolysis of nucleoside diphosphates, including substrates like 8-oxo-dGTP, which are a result of oxidative damage, and can induce base mispairing during DNA replication, causing transversions. The encoded enzyme is a negative regulator of thiopurine activation and toxicity. Mutations in this gene result in poor metabolism of thiopurines, and are associated with thiopurine-induced early leukopenia. Multiple pseudogenes of this gene have been identified.

如果您使用该产品31526发表了文章,请通知我们,让我们可以引用您的文献。

et al,MTH1 protects platelet mitochondria from oxidative damage and regulates platelet function and thrombosis In Nat CommunOn2023 Aug 10byYangyang Ding , Xiang Gui et al..PMID:37563135 , (2023),
PMID: 37563135

注释

应用

  • WB免疫印迹
  • IHC免疫组化
  • IF免疫荧光
  • ICC免疫细胞化学
  • FC流式细胞
  • IP免疫沉淀
  • E酶联免疫吸附法
  • DB免疫斑点法
  • ChIP染色质免疫沉淀
  • GICA胶体金免疫层析法
  • NC阴性对照

种属反应性

  • Hu
  • Ms小鼠
  • Rt大鼠
  • Dm果蝇
  • C线虫
  • Mk
  • Rb
  • B
  • D
  • P
  • Hm仓鼠
  • ChHm中国仓鼠
  • Chk
;

联系我们

Location :

南京市高新开发区星火路10号人才大厦C座

Phone :

400-9961-933
025-58868422

Email Address

info@sabbiotech.com