免费电话:400-9961-933
邮箱:info@sabbiotech.com
欢迎光临本站
川博智能体 English
位置: 首页 > 多克隆抗体 > ZNF300 antibody

ZNF300 antibody #31824

是否有货: Yes
产品详情

产品名称ZNF300 antibody

来源种属Rabbit

克隆性Polyclonal

纯化Antigen affinity purification

应用IHC

种属反应性Human

免疫原描述Fusion protein of human ZNF300

基因/蛋白名称ZNF300

标记Unconjugated

数据库入口号NCBI Protein#:BC117248

Uniprot Q96RE9

Gene ID 91975

浓度0.4mg/ml

配方pH7.4 PBS, 0.05% NaN3, 40% Glycerol

保存Store at -20˚C/1 year

应用详情

IHC dilution:1:25-1:100
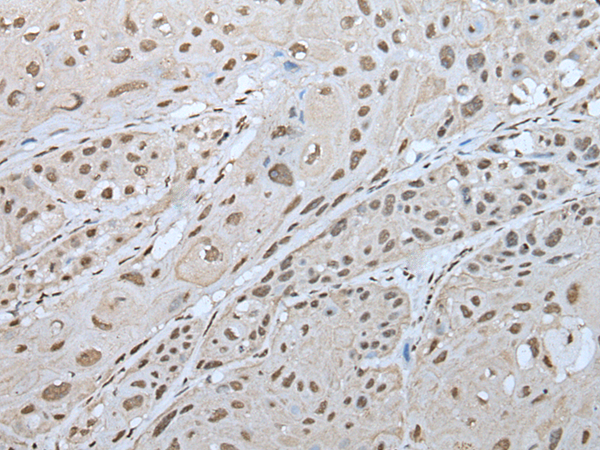
The image is immunohistochemistry of paraffin-embedded Human esophagus cancer tissue using (ZNF300 Antibody) at dilution 1/30.
The image is immunohistochemistry of paraffin-embedded Human liver cancer tissue using (ZNF300 Antibody) at dilution 1/30.
The protein encoded by this gene is a C2H2-type zinc finger DNA binding protein and likely transcriptional regulator. The function of this protein is not yet known. Three transcript variants encoding different isoforms have been found for this gene.

如果您使用该产品31824发表了文章,请通知我们,让我们可以引用您的文献。

et al,Elephantopus scaber attenuates MC903-caused atopic dermatitis and decreases TNF-α/IFN-γ-induced chemokines by suppressing MKP-1-mediated AP-1 signaling … , (2025),
PMID: 40633861

注释

应用

  • WB免疫印迹
  • IHC免疫组化
  • IF免疫荧光
  • ICC免疫细胞化学
  • FC流式细胞
  • IP免疫沉淀
  • E酶联免疫吸附法
  • DB免疫斑点法
  • ChIP染色质免疫沉淀
  • GICA胶体金免疫层析法
  • NC阴性对照

种属反应性

  • Hu
  • Ms小鼠
  • Rt大鼠
  • Dm果蝇
  • C线虫
  • Mk
  • Rb
  • B
  • D
  • P
  • Hm仓鼠
  • ChHm中国仓鼠
  • Chk
;

联系我们

Location :

南京市高新开发区星火路10号人才大厦C座

Phone :

400-9961-933
025-58868422

Email Address

info@sabbiotech.com