免费电话:400-9961-933
邮箱:info@sabbiotech.com
欢迎光临本站
川博智能体 English
位置: 首页 > 多克隆抗体 > RIMS3 antibody

RIMS3 antibody #31983

是否有货: Yes
产品详情

产品名称RIMS3 antibody

来源种属Rabbit

克隆性Polyclonal

纯化Antigen affinity purification

应用IHC

种属反应性Human;Mouse;Rat

免疫原描述Fusion protein of human RIMS3

基因/蛋白名称RIMS3

标记Unconjugated

别名NIM3; RIM3; RIM 3

数据库入口号NCBI Protein#:BC003103

Uniprot Q9UJD0

Gene ID 9783

浓度1mg/ml

配方pH7.4 PBS, 0.05% NaN3, 40% Glycerol

保存Store at -20˚C/1 year

应用详情

IHC dilution:1:50-1:200
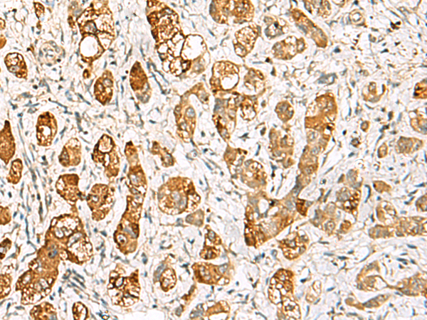
The image is immunohistochemistry of paraffin-embedded Human liver cancer tissue using (RIMS3 Antibody) at dilution 1/60.
Regulates synaptic membrane exocytosis.

如果您使用该产品31983发表了文章,请通知我们,让我们可以引用您的文献。

et al,Venetoclax confers synthetic lethality to chidamide in preclinical models with transformed follicular lymphoma , (2025),
PMID: 40320542

注释

应用

  • WB免疫印迹
  • IHC免疫组化
  • IF免疫荧光
  • ICC免疫细胞化学
  • FC流式细胞
  • IP免疫沉淀
  • E酶联免疫吸附法
  • DB免疫斑点法
  • ChIP染色质免疫沉淀
  • GICA胶体金免疫层析法
  • NC阴性对照

种属反应性

  • Hu
  • Ms小鼠
  • Rt大鼠
  • Dm果蝇
  • C线虫
  • Mk
  • Rb
  • B
  • D
  • P
  • Hm仓鼠
  • ChHm中国仓鼠
  • Chk
;

联系我们

Location :

南京市高新开发区星火路10号人才大厦C座

Phone :

400-9961-933
025-58868422

Email Address

info@sabbiotech.com