免费电话:400-9961-933
邮箱:info@sabbiotech.com
欢迎光临本站
川博智能体 English
位置: 首页 > 多克隆抗体 > ATF6 Antibody

ATF6 Antibody #32008

是否有货: 有货
产品详情

产品名称ATF6 Antibody

来源种属Rabbit

克隆性Polyclonal

纯化Antibodies were purified by affinity purification using immunogen.

应用WB IHC IF

种属反应性Human;Mouse;Rat

特异性The antibody detects endogenous level of total ATF6 protein.

免疫原类型Peptide

免疫原描述A synthetic peptide of human ATF6.

基因/蛋白名称ATF6

标记Unconjugated

别名ATF6; ATF6A; Activatingtranscriptionfactor6alpha;

数据库入口号Swiss-Prot:P18850
NCBI Gene ID:22926

Uniprot P18850

实际分子量75KD

浓度1.0mg/ml

配方Supplied at 1.0mg/mL in phosphate buffered saline (without Mg2+ and Ca2+), pH 7.4, 150mM NaCl, 0.02% sodium azide and 50% glycerol.

保存Store at -20˚C

应用详情
Western blotting: 1:500 - 1:2000
Immunohistochemistry: 1:50 - 1:200
Immunofluorescence: 1:50 - 1:200
Western blot analysis of extracts of various cell lines, using ATF6 antibody.
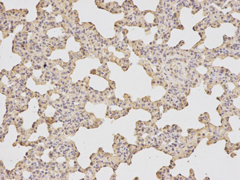
Immunohistochemical analysis of paraffin-embedded human lung using ATF6 antibody at dilution of 1:200 (200x lens).
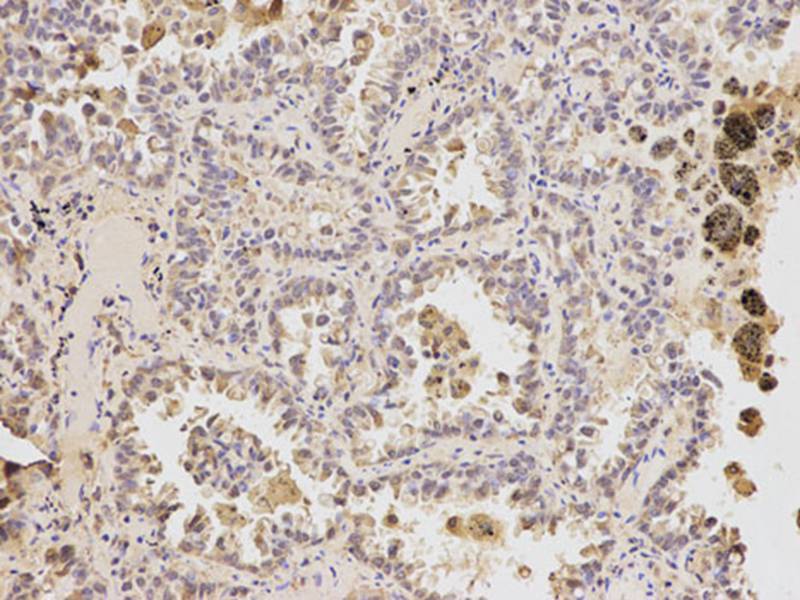
Immunohistochemical analysis of paraffin-embedded human lung cancer using ATF6 antibody at dilution of 1:200 (200x lens).
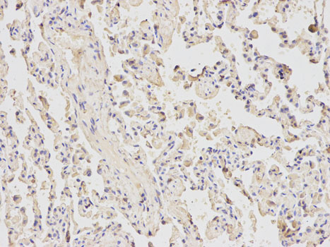
Immunohistochemical analysis of paraffin-embedded rat lung using ATF6 antibody at dilution of 1:200 (200x lens).
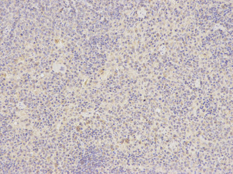
Immunohistochemical analysis of paraffin-embedded rat spleen using ATF6 antibody at dilution of 1:200 (200x lens).
Immunofluorescence analysis of A549 cell using ATF6 antibody. Blue: DAPI for nuclear staining
Immunofluorescence staining of formalin-fixed HeLa cells using ATF6 Antibody #32008(red).DAPI (blue) was used to stain the cell nuclei.
This gene encodes a transcription factor that activates target genes for the unfolded protein response (UPR) during endoplasmic reticulum (ER) stress. Although it is a transcription factor, this protein is unusual in that it is synthesized as a transmembrane protein that is embedded in the ER. It functions as an ER stress sensor/transducer, and following ER stress-induced proteolysis, it functions as a nuclear transcription factor via a cis-acting ER stress response element (ERSE) that is present in the promoters of genes encoding ER chaperones. This protein has been identified as a survival factor for quiescent but not proliferative squamous carcinoma cells. There have been conflicting reports about the association of polymorphisms in this gene with diabetes in different populations, but another polymorphism has been associated with increased plasma cholesterol levels. This gene is also thought to be a potential therapeutic target for cystic fibrosis.

如果您使用该产品32008发表了文章,请通知我们,让我们可以引用您的文献。

et al,Pharmacologic ATF6 activation confers global protection In widespread disease models by reprogramIng cellular proteostasis. In Nat Commun on 2019 Jan 14 by Blackwood EA, Azizi K, et al.. PMID:30643122 , (2019),
PMID: 30643122
et al,Magnesium Isoglycyrrhizinate Promotes the Activated Hepatic Stellate Cells Apoptosis via Endoplasmic Reticulum Stress and Ameliorates Fibrogenesis in Vitro and in Vivo.In Biofactors on 2017 Nov by Mianli Bian , Xingran Chen,et al..PMID: 29048780 , (2017),
PMID: 29048780
et al,Quercetin Stimulates Mitochondrial Apoptosis Dependent on Activation of Endoplasmic Reticulum Stress in Hepatic Stellate Cells .In Pharm Biol. On 2016 Dec by Liwei He , Xianbang Hou et al..PMID:27572285 , (2016),
PMID: 27572285
et al,5鈥慛itro锟?锟?3鈥憄henylpropylamino) benzoic acid induces apoptosis of human lens epithelial cells via reactive oxygen species and endoplasmic reticulum stress through the mitochondrial apoptosis pathway. In Int J Mol Med on 2021 Apr by Lingzhi Niu, Xin Liu,et al..PMID:33604681 , (2021),
PMID: 33604681
et al,ATF6 aggravates angiogenesis-osteogenesis coupling during ankylosing spondylitis by mediating FGF2 expression in chondrocytes. In iScience on 2021 Jun 28 by Mengjun Ma, Hongyu Li,et al..PMID:34296071 , (2021),
PMID: 34296071
et al,Artemisinin alleviates astrocyte overactivation and neuroinflammation by modulating the IRE1/NF-κB signaling pathway in in vitro and in vivo Alzheimer's disease models. , (2025),
PMID: 39826816
et al,Thbs1 regulates skeletal muscle mass in a TGFβ-Smad2/3-ATF4-dependent manner , (2024),
PMID: 38678560

注释

应用

  • WB免疫印迹
  • IHC免疫组化
  • IF免疫荧光
  • ICC免疫细胞化学
  • FC流式细胞
  • IP免疫沉淀
  • E酶联免疫吸附法
  • DB免疫斑点法
  • ChIP染色质免疫沉淀
  • GICA胶体金免疫层析法
  • NC阴性对照

种属反应性

  • Hu
  • Ms小鼠
  • Rt大鼠
  • Dm果蝇
  • C线虫
  • Mk
  • Rb
  • B
  • D
  • P
  • Hm仓鼠
  • ChHm中国仓鼠
  • Chk
;

联系我们

Location :

南京市高新开发区星火路10号人才大厦C座

Phone :

400-9961-933
025-58868422

Email Address

info@sabbiotech.com