免费电话:400-9961-933
邮箱:info@sabbiotech.com
欢迎光临本站
川博智能体 English
位置: 首页 > 多克隆抗体 > BCL2 Antibody

BCL2 Antibody #32012

是否有货: 有货
产品详情

产品名称BCL2 Antibody

来源种属Rabbit

克隆性Polyclonal

纯化Antibodies were purified by affinity purification using immunogen.

应用WB;IHC;IF;IP;ELISA

种属反应性Human;Mouse;Rat

特异性The antibody detects endogenous level of total BCL2 protein.

免疫原类型Peptide

免疫原描述The antiserum was produced against synthesized peptide derived from human BCL-2.

基因/蛋白名称BCL2

标记Unconjugated

别名BCL2; Bcl-2; ONCOGENEB-CELLLEUKEMIA2; ApoptosisregulatorBcl-2;

数据库入口号Swiss-Prot:P10415
NCBI Gene ID:596

Uniprot P10415

计算分子量26kDa

实际分子量26kDa

浓度1.0mg/ml

配方Liquid in PBS containing 50% glycerol, 0.5% BSA and 0.02% sodium azide.

保存Store at -20˚C

应用详情
WB 1:500-1:2000; IHC 1:50-1:200; IF 1:50-1:200; ELISA 1:5000-1:20000; IP 1:10-1:200;
Western blot analysis of lysates from various cell lines using BCL2 Antibody.

Lane1: mouse liver

Lane2: HepG2

Lane3: JK

Lane 4: MCF-7

Lane5: Hela


(Green)primary antibody was diluted at 1:1000, 4℃ over night, Dylight 800 secondary antibody was diluted at 1:10000, 37℃ 1hour. (Red) Actin β Monoclonal Antibody was diluted at 1:5000 as loading control, 4℃ over night,Dylight 680 secondary antibody was diluted at 1:10000, 37℃ 1hour.
Western blot analysis of lysates from various cell lines using BCL2 Antibody.

Lane1: 3T3

Lane2: mouse brain

Lane3: Mouse lung

Lane 4: MCF-7

Lane5: Hela

Lane6: 293T

Lane7: Mouse Brain

Lane8: Mouse Spleen

Lane9: Rat Kidney

Lane10: Rat Liver


Secondary: Goat Anti-Rabbit IgG(HRP) at 1/20000 dilution.
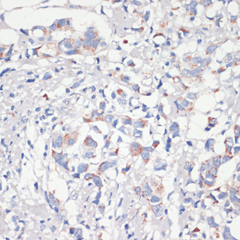
Immunohistochemistry analysis of paraffin-embedded human colon carcinoma tissue using BCL2 Antibody. The picture on the right is blocked with the synthesized peptide.
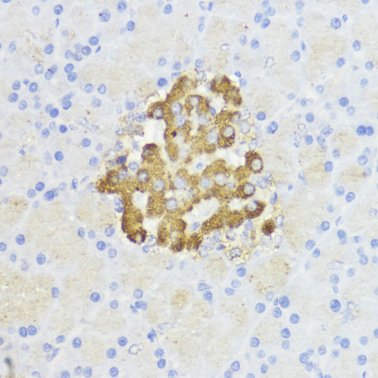
Immunohistochemistry analysis of paraffin-embedded rat pancreas tissue using BCL2 Antibody.
Immunohistochemistry analysis of paraffin-embedded rat brain tissue using BCL2 Antibody.
Immunohistochemistry of paraffin-embedded human breast cancer using BCL2 Antibody at dilution of 1:200 (40x lens).
Immunofluorescence analysis of methanol-fixed HepG2 cells using BCL2 Antibody. The picture on the right is blocked with the synthesized peptide.
Immunofluorescence analysis of methanol-fixed NIH/3T3 cells using BCL2 Antibody.
Immunofluorescence analysis of methanol-fixed C6 cells using BCL2 Antibody.
Immunofluorescence analysis of L929 cells using BCL2 Antibody at dilution of 1:100. Blue: DAPI for nuclear staining.

BCL2 exerts a survival function in response to a wide range of apoptotic stimuli through inhibition of mitochondrial cytochrome c release (1). It has been implicated in modulating mitochondrial calcium homeostasis and proton flux (2). Several phosphorylation sites have been identified within BCL2 including Thr56, Ser70, Thr74 and Ser87 (3). It has been suggested that these phosphorylation sites may be targets of the ASK1/MKK7/JNK1 pathway, and that phosphorylation of BCL2 may be a marker for mitotic events (4,5). Mutation of BCL2 at Thr56 or Ser87 inhibits its anti-apoptotic activity during glucocorticoid-induced apoptosis of T lymphocytes (6). Interleukin 3 and JNK-induced BCL2 phosphorylation at Ser70 may be required for its enhanced anti-apoptotic functions (7).

如果您使用该产品32012发表了文章,请通知我们,让我们可以引用您的文献。

et al,PIWI-Interacting RNA-004800 Is Regulated by S1P Receptor Signaling Pathway to Keep Myeloma Cell Survival.In Front Oncol on 2020 Apr 15 by Ma H, Wang H, et al..PMID: 32351883 , (2020),
PMID: 32351883
et al,Nerve growth factor protects retinal ganglion cells against injury induced by retinal ischemia鈥搑eperfusion in rats.In Growth Factors on 2015 Apr by Qian Chen , Haitao Wang et al..PMID: 25707536 , (2015),
PMID: 25707536
et al,Artemisinin Improved Neuronal Functions in Alzheimer's Disease Animal Model 3xtg Mice and Neuronal Cells via Stimulating the ERK/CREB Signaling Pathway. In Aging Dis on 2020 Jul 23 by Xia Zhao, Shuai Li,et al..PMID:32765947 , (2020),
PMID: 32765947
et al,Trans‐Fatty Acids (TFA) Induced Vascular Injury Through the Regulation of the Sirt1‐Ppargc1a‐Nfe2l2 Signaling Pathway in Male Rats , (2025),
PMID: 41019171
et al,A Novel Endophytic Fungus, Alternaria semiverrucosa, and Its Ethyl Acetate Extract Inhibit the Proliferation, Migration, and Invasion of Cervical Cancer Cells , (2025),
PMID: 40768660

注释

应用

  • WB免疫印迹
  • IHC免疫组化
  • IF免疫荧光
  • ICC免疫细胞化学
  • FC流式细胞
  • IP免疫沉淀
  • E酶联免疫吸附法
  • DB免疫斑点法
  • ChIP染色质免疫沉淀
  • GICA胶体金免疫层析法
  • NC阴性对照

种属反应性

  • Hu
  • Ms小鼠
  • Rt大鼠
  • Dm果蝇
  • C线虫
  • Mk
  • Rb
  • B
  • D
  • P
  • Hm仓鼠
  • ChHm中国仓鼠
  • Chk
;

联系我们

Location :

南京市高新开发区星火路10号人才大厦C座

Phone :

400-9961-933
025-58868422

Email Address

info@sabbiotech.com