免费电话:400-9961-933
邮箱:info@sabbiotech.com
欢迎光临本站
川博智能体 English
位置: 首页 > 多克隆抗体 > BRCA1 Antibody

BRCA1 Antibody #32016

是否有货: 有货
产品详情

产品名称BRCA1 Antibody

来源种属Rabbit

克隆性Polyclonal

亚型IgG

纯化Affinity purification

应用WB,IHC

种属反应性Human;Mouse

特异性The antibody detects endogenous level of total BRCA1 protein.

免疫原类型Peptide

免疫原描述A synthetic peptide of human BRCA1 (NP_009225.1).

基因/蛋白名称BRCA1

标记Unconjugated

别名BRCA1;BRCAI;BRCC1;BROVCA1;FANCS;IRIS;PNCA4;PPP1R53;PSCP;RNF53

数据库入口号Uniprot:P38398
GeneID:672

Uniprot P38398

Gene ID 672

计算分子量208 kDa

实际分子量250 kDa

浓度1.0mg/ml

配方PBS with 0.02% sodium azide,50% glycerol,pH7.3.

保存Store at -20˚C. Avoid freeze / thaw cycles.

应用详情
WB 1:500 - 1:2000
IHC 1:50 - 1:200
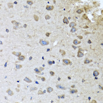
Immunohistochemistry of paraffin-embedded mouse brain using BRCA1 antibody.
Immunohistochemistry of paraffin-embedded human breast cancer using BRCA1 antibody.
All lanes : BRCA1 Antibody at 1/500 dilution
Lane 1 : CACO2 whole cell lysates
Lane 2 : SW480 whole cell lysates
Lane 3 : Hela whole cell lysates
Lane 4 : 293 whole cell lysates
Lane 5 : MCF-7 whole cell lysates
Lane 6 : A549 whole cell lysates
Lane 7 : Mouse liver lysates
Lysates/proteins at 20 µg per lane.
Secondary
All lanes : Goat Anti-Rabbit IgG H&L (HRP) at 1/20000 dilution
Predicted band size: 208 kDa
Observed band size: 250 kDa
Exposure time: 11 seconds
This gene encodes a nuclear phosphoprotein that plays a role in maintaining genomic stability, and it also acts as a tumor suppressor. The encoded protein combines with other tumor suppressors, DNA damage sensors, and signal transducers to form a large multi-subunit protein complex known as the BRCA1-associated genome surveillance complex (BASC). This gene product associates with RNA polymerase II, and through the C-terminal domain, also interacts with histone deacetylase complexes. This protein thus plays a role in transcription, DNA repair of double-stranded breaks, and recombination. Mutations in this gene are responsible for approximately 40% of inherited breast cancers and more than 80% of inherited breast and ovarian cancers. Alternative splicing plays a role in modulating the subcellular localization and physiological function of this gene. Many alternatively spliced transcript variants, some of which are disease-associated mutations, have been described for this gene, but the full-length natures of only some of these variants has been described. A related pseudogene, which is also located on chromosome 17, has been identified.

如果您使用该产品32016发表了文章,请通知我们,让我们可以引用您的文献。

et al,SIRT7 Downregulation Promotes Breast Cancer Metastasis Via LAP2α-Induced Chromosomal InstabilityInInt J Biol SciOn2023 MarbyQin Huo?1,?Siqi Chen et al..PMID: 37056924 , (2023),
PMID: 37056924

注释

应用

  • WB免疫印迹
  • IHC免疫组化
  • IF免疫荧光
  • ICC免疫细胞化学
  • FC流式细胞
  • IP免疫沉淀
  • E酶联免疫吸附法
  • DB免疫斑点法
  • ChIP染色质免疫沉淀
  • GICA胶体金免疫层析法
  • NC阴性对照

种属反应性

  • Hu
  • Ms小鼠
  • Rt大鼠
  • Dm果蝇
  • C线虫
  • Mk
  • Rb
  • B
  • D
  • P
  • Hm仓鼠
  • ChHm中国仓鼠
  • Chk
;

联系我们

Location :

南京市高新开发区星火路10号人才大厦C座

Phone :

400-9961-933
025-58868422

Email Address

info@sabbiotech.com