免费电话:400-9961-933
邮箱:info@sabbiotech.com
欢迎光临本站
川博智能体 English
位置: 首页 > 多克隆抗体 > CYCS Antibody

CYCS Antibody #32024

是否有货: 有货
产品详情

产品名称CYCS Antibody

来源种属Rabbit

克隆性Polyclonal

亚型IgG

纯化Affinity purification

应用WB,IHC,IF

种属反应性Human;Mouse;Rat

特异性The antibody detects endogenous level of total CYCS protein.

免疫原类型Recombinant Protein

免疫原描述Recombinant fusion protein of human Cytochrome C (NP_061820.1).

基因/蛋白名称CYCS

标记Unconjugated

别名CYCS;CYC;HCS;THC4;cytochrome c

数据库入口号Uniprot:P99999
GeneID:54205

Uniprot P99999

Gene ID 54205

实际分子量14KDa

浓度1.0mg/ml

配方PBS with 0.02% sodium azide,50% glycerol,pH7.3.

保存Store at -20˚C. Avoid freeze / thaw cycles.

应用详情
WB 1:500 - 1:2000
IHC 1:50 - 1:200
IF 1:50 - 1:200
Western blot analysis of extracts of various cell lines, using Cytochrome C antibody.
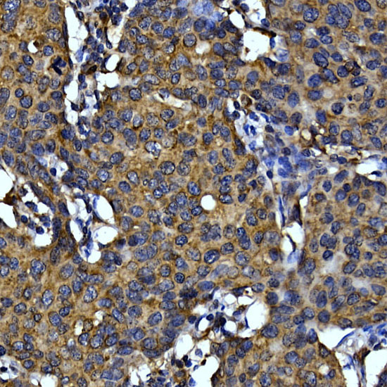
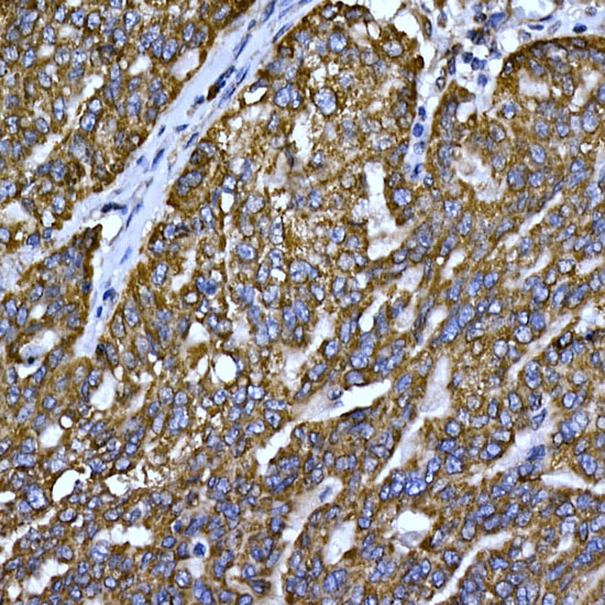
Immunohistochemistry of paraffin-embedded human breast cancer using Cytochrome C Rabbit pAb.
Immunohistochemistry of paraffin-embedded human oophoroma using Cytochrome C Rabbit pAb.
Immunofluorescence analysis of NIH/3T3 cells using Cytochrome C Rabbit pAb.
Immunofluorescence analysis of U2OS cells using Cytochrome C Rabbit pAb.
This gene encodes a small heme protein that functions as a central component of the electron transport chain in mitochondria. The encoded protein associates with the inner membrane of the mitochondrion where it accepts electrons from cytochrome b and transfers them to the cytochrome oxidase complex. This protein is also involved in initiation of apoptosis. Mutations in this gene are associated with autosomal dominant nonsyndromic thrombocytopenia. Numerous processed pseudogenes of this gene are found throughout the human genome.

如果您使用该产品32024发表了文章,请通知我们,让我们可以引用您的文献。

et al,Varying butyric acid amounts induce different stress- and cell death-related signals in nerve growth factor-treated PC12 cells: implications in neuropathic pain absence during periodontal disease progression.In Apoptosis on 2016 Jun by Keisuke Seki, Marni E Cueno et al..PMID:26994613 , (2016),
PMID: 26994613
et al,Mitochondria and Nuclei Dual-Targeted Heterogeneous Hydroxyapatite Nanoparticles for Enhancing Therapeutic Efficacy of Doxorubicin .In Biomaterials on 2016 Jul by Hui Xiong , Shi Du et al..PMID: 27105438 , (2016),
PMID: 27105438

注释

应用

  • WB免疫印迹
  • IHC免疫组化
  • IF免疫荧光
  • ICC免疫细胞化学
  • FC流式细胞
  • IP免疫沉淀
  • E酶联免疫吸附法
  • DB免疫斑点法
  • ChIP染色质免疫沉淀
  • GICA胶体金免疫层析法
  • NC阴性对照

种属反应性

  • Hu
  • Ms小鼠
  • Rt大鼠
  • Dm果蝇
  • C线虫
  • Mk
  • Rb
  • B
  • D
  • P
  • Hm仓鼠
  • ChHm中国仓鼠
  • Chk
;

联系我们

Location :

南京市高新开发区星火路10号人才大厦C座

Phone :

400-9961-933
025-58868422

Email Address

info@sabbiotech.com