免费电话:400-9961-933
邮箱:info@sabbiotech.com
欢迎光临本站
川博智能体 English
位置: 首页 > 多克隆抗体 > GFAP Antibody

GFAP Antibody #32033

是否有货: 有货
产品详情

产品名称GFAP Antibody

来源种属Rabbit

克隆性Polyclonal

纯化Antibodies were purified by affinity purification using immunogen.

应用WB IHC IF

种属反应性Human;Mouse;Rat

特异性The antibody detects endogenous level of total GFAP protein.

免疫原类型Recombinant Protein

免疫原描述Recombinant protein of human GFAP .

基因/蛋白名称GFAP

标记Unconjugated

别名GFAP; FLJ45472;

数据库入口号Swiss-Prot:P14136
NCBI Gene ID:2670

Uniprot P14136

实际分子量50KD

浓度1.0mg/ml

配方Supplied at 1.0mg/mL in phosphate buffered saline (without Mg2+ and Ca2+), pH 7.4, 150mM NaCl, 0.02% sodium azide and 50% glycerol.

保存Store at -20˚C

应用详情
Western blotting: 1:500 - 1:2000
Immunohistochemistry: 1:50 - 1:200
Immunofluorescence: 1:50 - 1:100
Western blot analysis of extracts of mouse brain and mouse spinal cord, using GFAP antibody.
Immunohistochemical analysis of paraffin-embedded H-brain using GFAP antibody.
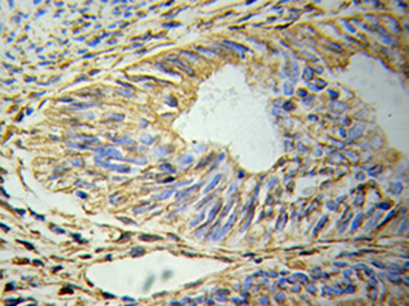
Immunohistochemical analysis of frozen neuroglial cells using GFAP antibody.
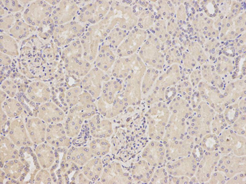
Immunohistochemical analysis of paraffin-embedded human kidney using GFAP antibody at dilution of 1:200 (200x lens). /Immunofluorescent analysis of hippocampal region of mouse using GFAP antibody.
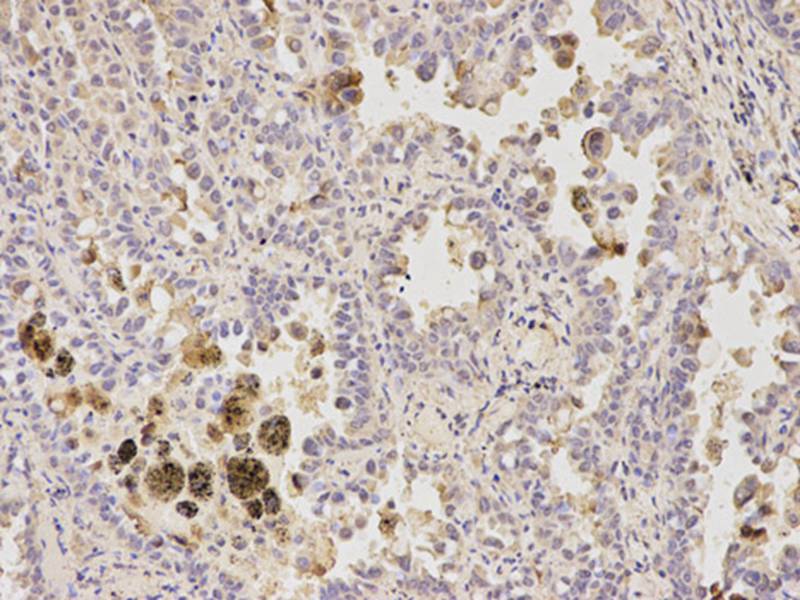
Immunohistochemical analysis of paraffin-embedded human lung cancer using GFAP antibody at dilution of 1:200 (200x lens).
Immunofluorescence analysis of hippocampal region of mouse using GFAP antibody.
The cytoskeleton consists of three types of cytosolic fibers: microfilaments (actin filaments), intermediate filaments, and microtubules. Major types of intermediate filaments are specifically expressed in particular cell types: cytokeratins in epithelial cells, glial fibrillary acidic protein (GFAP) in glial cells, desmin in skeletal, visceral, and certain vascular smooth muscle cells, vimentin in cells of mesenchymal origin, and neurofilaments in neurons. GFAP and vimentin form intermediate filaments in astroglial cells and modulate their motility and shape (1). In particular, vimentin filaments are present at early developmental stages, while GFAP filaments are characteristic of differentiated and mature brain astrocytes. Thus, GFAP is commonly used as a marker for intracranial and intraspinal tumors arising from astrocytes (2). In addition, GFAP intermediate filaments are also present in non-myelin-forming Schwann cells in the peripheral nervous system (3).

如果您使用该产品32033发表了文章,请通知我们,让我们可以引用您的文献。

et al,Fidgetin regulates cultured astrocyte migration by severing tyrosinated microtubules at the leading edge.In Mol Biol Cell on 2017 Feb 15 by Zunlu Hu, Jie Feng,et al..PMID: 27974640 , (2017),
PMID: 27974640
et al,Depletion of kinesin-12, a myosin-IIB-interacting protein, promotes migration of cortical astrocytes.In J Cell Sci on 2016 Jun 15 by Jie Feng , Zunlu Hu et al..PMID: 27170353 , (2016),
PMID: 27170353
et al,Analysis of the expression and distribution of protein O-linked mannose β1,2-N-acetylglucosaminyltransferase 1 in the normal adult mouse brain.. In Front Neuroanat on 2023 Jan 6 by Hanxiao Jiang, Yuxue Feng, et al..PMID: 36686576 , (2022),
PMID: 36686576
et al,Regulation of nociception threshold by norepinephrine through adrenergic α2 receptor in rat models of Parkinson's diseaseInCNS Neurosci TherOn2023 Sep 18.byQing Gao?1,?Yingying Zhang et al..PMID: 37721421 , (2023),
PMID: 37721421
et al,Near-Infrared Light Induces Neurogenesis andModulates Anxiety-like Behavior. , (2024),
PMID:
et al,Regulation of nociception threshold by norepinephrine through adrenergic α2 receptor in rat models of Parkinson's disease. In CNS Neurosci Ther on 2024 Mar by Qing Gao, Yingying Zhang,et al..PMID:37721421 , (2024),
PMID: 37721421
et al,Artemisinin alleviates astrocyte overactivation and neuroinflammation by modulating the IRE1/NF-κB signaling pathway in in vitro and in vivo Alzheimer's disease models. , (2025),
PMID: 39826816

注释

应用

  • WB免疫印迹
  • IHC免疫组化
  • IF免疫荧光
  • ICC免疫细胞化学
  • FC流式细胞
  • IP免疫沉淀
  • E酶联免疫吸附法
  • DB免疫斑点法
  • ChIP染色质免疫沉淀
  • GICA胶体金免疫层析法
  • NC阴性对照

种属反应性

  • Hu
  • Ms小鼠
  • Rt大鼠
  • Dm果蝇
  • C线虫
  • Mk
  • Rb
  • B
  • D
  • P
  • Hm仓鼠
  • ChHm中国仓鼠
  • Chk
;

联系我们

Location :

南京市高新开发区星火路10号人才大厦C座

Phone :

400-9961-933
025-58868422

Email Address

info@sabbiotech.com