免费电话:400-9961-933
邮箱:info@sabbiotech.com
欢迎光临本站
川博智能体 English
位置: 首页 > 多克隆抗体 > NAMPT Antibody

NAMPT Antibody #32047

是否有货: 有货
产品详情

产品名称NAMPT Antibody

来源种属Rabbit

克隆性Polyclonal

纯化Antibodies were purified by affinity purification using immunogen.

应用WB IHC IF

种属反应性Human;Mouse;Rat

特异性The antibody detects endogenous level of total NAMPT protein.

免疫原类型Recombinant Protein

免疫原描述Recombinant protein of human NAMPT.

基因/蛋白名称NAMPT

标记Unconjugated

别名NAMPT; 1110035O14Rik; DKFZp666B131; MGC117256; PBEF

数据库入口号Swiss-Prot:P43490
NCBI Gene ID:10135

Uniprot P43490

实际分子量52KD

浓度1.0mg/ml

配方Supplied at 1.0mg/mL in phosphate buffered saline (without Mg2+ and Ca2+), pH 7.4, 150mM NaCl, 0.02% sodium azide and 50% glycerol.

保存Store at -20˚C

应用详情
Western blotting: 1:500 - 1:2000
Immunohistochemistry: 1:50 - 1:200
Immunofluorescence: 1:50 - 1:200
Western blot analysis of extracts of various cell lines, using NAMPT antibody.
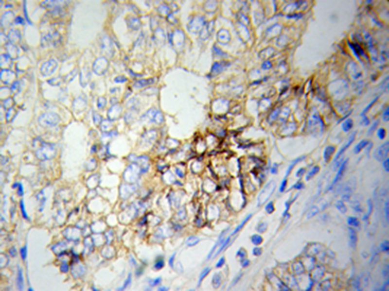
Immunohistochemical analysis of paraffin-embedded human ovary cancer using NAMPT antibody.
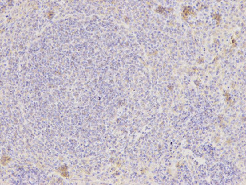
Immunohistochemical analysis of paraffin-embedded rat spleen using NAMPT antibody at dilution of 1:200 (200x lens).
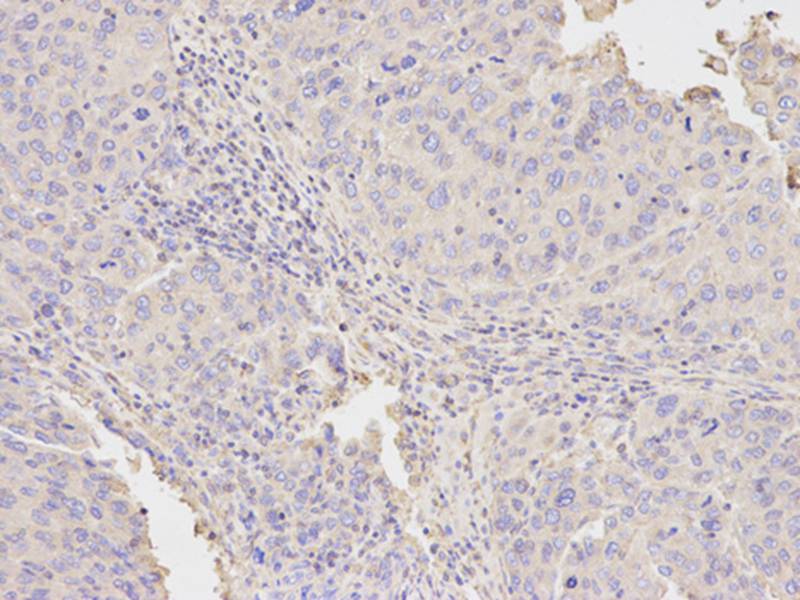
Immunohistochemical analysis of paraffin-embedded human liver cancer using NAMPT antibody at dilution of 1:200 (200x lens).
Immunofluorescence analysis of HeLa cell using NAMPT antibody.
Nicotinamide phosphoribosyltransferase(NAMPT) has two usual synonyms termed Visfatin and PBEF. Its primary role is to catalyze the condensation of nicotinamide with 5-phosphoribosyl-1-pyrophosphate to yield nicotinamide mononucleotide, an intermediate in the biosynthesis of NAD, which is the rate limiting component in the mammalian NAD biosynthesis pathway. NAMPT is localized in cytoplasm and expressed in large amounts in bone marrow, liver tissue, and muscle tissues. NAMPT inhibits neutrophil apoptosis in experimental inflammation and clinical sepsis. NAMPT levels are altered in plasma of patients with type 2 diabetes mellitus (T2DM), and it is now evidenced that NAMPT may plays a role in lipid metabolism.

如果您使用该产品32047发表了文章,请通知我们,让我们可以引用您的文献。

et al,Naoxinqing tablet protects against cerebral ischemic/reperfusion injury by regulating ampkα/NAMPT/SIRT1/PGC-1α pathwayInJ EthnopharmacolOn2024 Mar 25byXiao Sun?1,?Yunfeng Pan et al..PMID:?38159826 , (2023),
PMID: 38159826
et al,Naoxinqing tablet protects against cerebral ischemic/reperfusion injury by regulating ampkα/NAMPT/SIRT1/PGC-1α pathway. In J Ethnopharmacol on 2024 Mar 25 by Xiao Sun, Yunfeng Pan,et al..PMID:38159826 , (2024),
PMID: 38159826

注释

应用

  • WB免疫印迹
  • IHC免疫组化
  • IF免疫荧光
  • ICC免疫细胞化学
  • FC流式细胞
  • IP免疫沉淀
  • E酶联免疫吸附法
  • DB免疫斑点法
  • ChIP染色质免疫沉淀
  • GICA胶体金免疫层析法
  • NC阴性对照

种属反应性

  • Hu
  • Ms小鼠
  • Rt大鼠
  • Dm果蝇
  • C线虫
  • Mk
  • Rb
  • B
  • D
  • P
  • Hm仓鼠
  • ChHm中国仓鼠
  • Chk
;

联系我们

Location :

南京市高新开发区星火路10号人才大厦C座

Phone :

400-9961-933
025-58868422

Email Address

info@sabbiotech.com