免费电话:400-9961-933
邮箱:info@sabbiotech.com
欢迎光临本站
川博智能体 English
位置: 首页 > 多克隆抗体 > SOD1 Antibody

SOD1 Antibody #32058

是否有货: 有货
产品详情

产品名称SOD1 Antibody

来源种属Rabbit

克隆性Polyclonal

亚型IgG

纯化Affinity purification

应用WB,IHC,IF

种属反应性Human;Mouse;Rat

特异性The antibody detects endogenous level of total SOD1 protein.

免疫原类型Recombinant Protein

免疫原描述Recombinant fusion protein of human SOD1 (NP_000445.1).

基因/蛋白名称SOD1

标记Unconjugated

别名SOD1;ALS;ALS1;HEL-S-44;IPOA;SOD;hSod1;homodimer

数据库入口号Uniprot:P00441
GeneID:6647

Uniprot P00441

Gene ID 6647

实际分子量16-18KDa

浓度1.0mg/ml

配方PBS with 0.02% sodium azide,50% glycerol,pH7.3.

保存Store at -20˚C. Avoid freeze / thaw cycles.

应用详情
WB 1:500 - 1:2000
IHC 1:50 - 1:200
IF 1:50 - 1:200
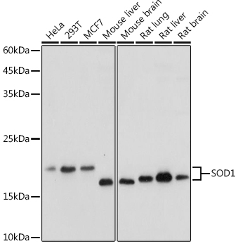
Western blot analysis of extracts of various cell lines, using SOD1 antibody.
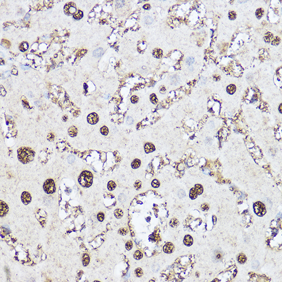
Immunohistochemistry of paraffin-embedded human liver using SOD1 Rabbit pAb.
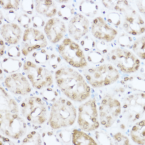
Immunohistochemistry of paraffin-embedded mouse kidney using SOD1 Rabbit pAb.
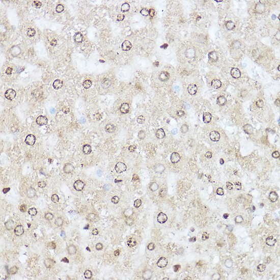
Immunohistochemistry of paraffin-embedded rat liver using SOD1 Rabbit pAb.
Immunofluorescence analysis of NIH/3T3 cells using SOD1 Rabbit pAb.
Immunofluorescence analysis of U2OS cells using SOD1 Rabbit pAb.
The protein encoded by this gene binds copper and zinc ions and is one of two isozymes responsible for destroying free superoxide radicals in the body. The encoded isozyme is a soluble cytoplasmic protein, acting as a homodimer to convert naturally-occuring but harmful superoxide radicals to molecular oxygen and hydrogen peroxide. The other isozyme is a mitochondrial protein. Mutations in this gene have been implicated as causes of familial amyotrophic lateral sclerosis. Rare transcript variants have been reported for this gene.

如果您使用该产品32058发表了文章,请通知我们,让我们可以引用您的文献。

et al,The effect of exposure time and concentration of airborne PM2.5 on lung Injury In mice: A transcriptome analysis. In Redox Biol on 2019 Sep by Wang H, Shen X et al..PMID:31279222 , (2019),
PMID: 31279222
et al,Alveolar Type II Cell Damage and Nrf2-SOD1 Pathway Downregulation Are Involved in PM2.5-Induced Lung Injury in Rats. In Int J Environ Res Public Health on 2022 Oct 8 by Rui Niu, Jie Cheng,et al..PMID:36232201 , (2022),
PMID: 36232201

注释

应用

  • WB免疫印迹
  • IHC免疫组化
  • IF免疫荧光
  • ICC免疫细胞化学
  • FC流式细胞
  • IP免疫沉淀
  • E酶联免疫吸附法
  • DB免疫斑点法
  • ChIP染色质免疫沉淀
  • GICA胶体金免疫层析法
  • NC阴性对照

种属反应性

  • Hu
  • Ms小鼠
  • Rt大鼠
  • Dm果蝇
  • C线虫
  • Mk
  • Rb
  • B
  • D
  • P
  • Hm仓鼠
  • ChHm中国仓鼠
  • Chk
;

联系我们

Location :

南京市高新开发区星火路10号人才大厦C座

Phone :

400-9961-933
025-58868422

Email Address

info@sabbiotech.com