免费电话:400-9961-933
邮箱:info@sabbiotech.com
欢迎光临本站
川博智能体 English
位置: 首页 > 多克隆抗体 > IL6 Antibody

IL6 Antibody #32064

是否有货: 有货
产品详情

产品名称IL6 Antibody

来源种属Rabbit

克隆性Polyclonal

亚型IgG

纯化Affinity purification

应用WB,IHC

种属反应性Human;Mouse;Rat

特异性The antibody detects endogenous level of total IL6 protein.

免疫原类型Recombinant Protein

免疫原描述Recombinant fusion protein of human IL6 (NP_000591.1).

基因/蛋白名称IL6

标记Unconjugated

别名IL6;BSF-2;BSF2;CDF;HGF;HSF;IFN-beta-2;IFNB2;IL-6

数据库入口号Uniprot:P05231
GeneID:3569

Uniprot P05231

Gene ID 3569

实际分子量26KDa

浓度1.0mg/ml

配方PBS with 0.02% sodium azide,50% glycerol,pH7.3.

保存Store at -20˚C. Avoid freeze / thaw cycles.

应用详情
WB 1:500 - 1:2000
IHC 1:50 - 1:200
Western blot analysis of extracts of Rat lung, using IL6 antibody.
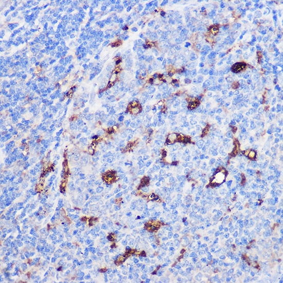
Immunohistochemistry of paraffin-embedded rat spleen using IL6 Rabbit pAb.
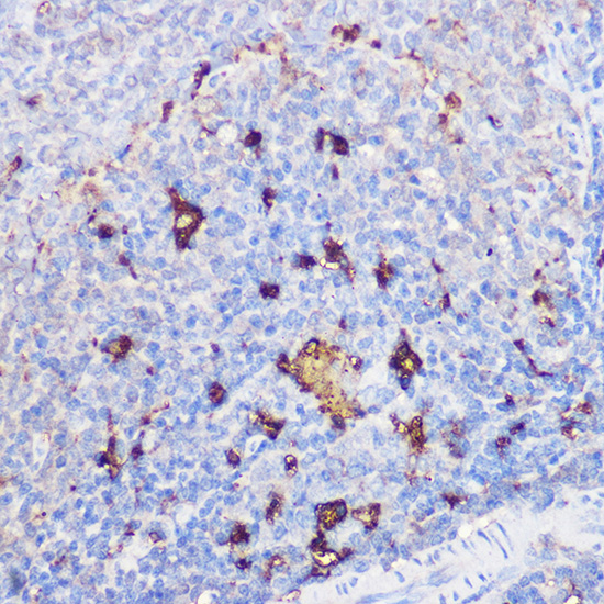
Immunohistochemistry of paraffin-embedded mouse spleen using IL6 Rabbit pAb.
This gene encodes a cytokine that functions in inflammation and the maturation of B cells. In addition, the encoded protein has been shown to be an endogenous pyrogen capable of inducing fever in people with autoimmune diseases or infections. The protein is primarily produced at sites of acute and chronic inflammation, where it is secreted into the serum and induces a transcriptional inflammatory response through interleukin 6 receptor, alpha. The functioning of this gene is implicated in a wide variety of inflammation-associated disease states, including suspectibility to diabetes mellitus and systemic juvenile rheumatoid arthritis. Alternative splicing results in multiple transcript variants.

如果您使用该产品32064发表了文章,请通知我们,让我们可以引用您的文献。

et al,Rutaecarpine ameliorates osteoarthritis by inhibiting PI3K/AKT/NF?κB and MAPK signalling transduction through integrin αVβ3InInt J Mol MedOn2023 OctbyJunlai Wan , Mengwei Li et al..PMID:37654229 , (2023),
PMID: 37654229
et al,Artemisinin alleviates astrocyte overactivation and neuroinflammation by modulating the IRE1/NF-κB signaling pathway in in vitro and in vivo Alzheimer's disease models. , (2025),
PMID: 39826816
et al,The role of FTO in m6A RNA methylation and immune regulation in Staphylococcus aureus infection-related osteomyelitis. , (2025),
PMID: 39980685

注释

应用

  • WB免疫印迹
  • IHC免疫组化
  • IF免疫荧光
  • ICC免疫细胞化学
  • FC流式细胞
  • IP免疫沉淀
  • E酶联免疫吸附法
  • DB免疫斑点法
  • ChIP染色质免疫沉淀
  • GICA胶体金免疫层析法
  • NC阴性对照

种属反应性

  • Hu
  • Ms小鼠
  • Rt大鼠
  • Dm果蝇
  • C线虫
  • Mk
  • Rb
  • B
  • D
  • P
  • Hm仓鼠
  • ChHm中国仓鼠
  • Chk
;

联系我们

Location :

南京市高新开发区星火路10号人才大厦C座

Phone :

400-9961-933
025-58868422

Email Address

info@sabbiotech.com