免费电话:400-9961-933
邮箱:info@sabbiotech.com
欢迎光临本站
川博智能体 English
位置: 首页 > 多克隆抗体 > SFN Antibody

SFN Antibody #32126

是否有货: 有货
产品详情

产品名称SFN Antibody

来源种属Rabbit

克隆性Polyclonal

亚型IgG

纯化Affinity purification

应用WB,IHC

种属反应性Human;Mouse;Rat

特异性The antibody detects endogenous level of total SFN protein.

免疫原类型Recombinant Protein

免疫原描述Recombinant fusion protein of human 14-3-3 sigma (NP_006133.1).

基因/蛋白名称SFN

标记Unconjugated

别名SFN;YWHAS;stratifin

数据库入口号Uniprot:P31947
GeneID:2810

Uniprot P31947

Gene ID 2810

实际分子量28KDa

浓度1.0mg/ml

配方PBS with 0.02% sodium azide,50% glycerol,pH7.3.

保存Store at -20˚C. Avoid freeze / thaw cycles.

应用详情
WB 1:500 - 1:2000
IHC 1:50 - 1:200
Western blot analysis of extracts of various cell lines, using 14-3-3 sigma antibody.
Western blot analysis of extracts of various cell lines, using 14-3-3 sigma antibody.
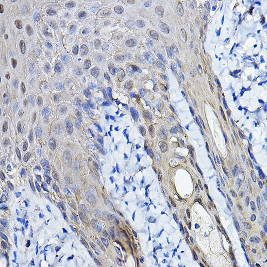
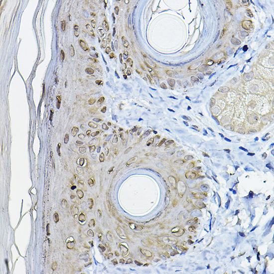
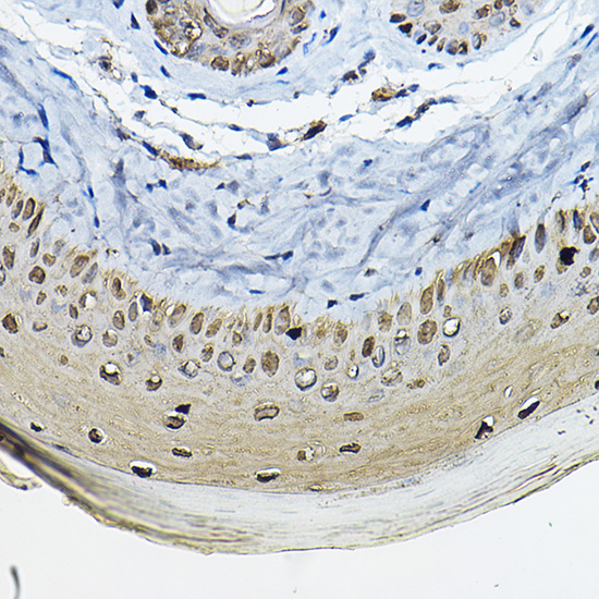
Immunohistochemistry of paraffin-embedded rat skin using 14-3-3 sigma Rabbit pAb.
Immunohistochemistry of paraffin-embedded human skin using 14-3-3 sigma Rabbit pAb.
Immunohistochemistry of paraffin-embedded mouse skin using 14-3-3 sigma Rabbit pAb.
Adapter protein implicated in the regulation of a large spectrum of both general and specialized signaling pathways. Binds to a large number of partners, usually by recognition of a phosphoserine or phosphothreonine motif. Binding generally results in the modulation of the activity of the binding partner. When bound to KRT17, regulates protein synthesis and epithelial cell growth by stimulating Akt/mTOR pathway. May also regulate MDM2 autoubiquitination and degradation and thereby activate p53/TP53.

如果您使用该产品32126发表了文章,请通知我们,让我们可以引用您的文献。

et al,NSUN2-mediated m5C modification of circFAM190B promotes lung cancer progression by inhibiting cellular autophagy. , (2025),
PMID: 40020806

注释

应用

  • WB免疫印迹
  • IHC免疫组化
  • IF免疫荧光
  • ICC免疫细胞化学
  • FC流式细胞
  • IP免疫沉淀
  • E酶联免疫吸附法
  • DB免疫斑点法
  • ChIP染色质免疫沉淀
  • GICA胶体金免疫层析法
  • NC阴性对照

种属反应性

  • Hu
  • Ms小鼠
  • Rt大鼠
  • Dm果蝇
  • C线虫
  • Mk
  • Rb
  • B
  • D
  • P
  • Hm仓鼠
  • ChHm中国仓鼠
  • Chk
;

联系我们

Location :

南京市高新开发区星火路10号人才大厦C座

Phone :

400-9961-933
025-58868422

Email Address

info@sabbiotech.com