免费电话:400-9961-933
邮箱:info@sabbiotech.com
欢迎光临本站
川博智能体 English
位置: 首页 > 多克隆抗体 > HK1 Antibody

HK1 Antibody #32133

是否有货: 有货
产品详情

产品名称HK1 Antibody

来源种属Rabbit

克隆性Polyclonal

亚型IgG

纯化Affinity purification

应用WB,IHC,IF

种属反应性Human;Mouse;Rat

特异性The antibody detects endogenous level of total HK1 protein.

免疫原类型Recombinant Protein

免疫原描述Recombinant fusion protein of human HK1 (NP_000179.2).

基因/蛋白名称HK1

标记Unconjugated

别名HK1;HK;HK1-ta;HK1-tb;HK1-tc;HKD;HKI;HMSNR;HXK1;hexokinase;RP79

数据库入口号Uniprot:P19367
GeneID:3098

Uniprot P19367

Gene ID 3098

实际分子量102KDa

浓度1.0mg/ml

配方PBS with 0.02% sodium azide,50% glycerol,pH7.3.

保存Store at -20˚C. Avoid freeze / thaw cycles.

应用详情
WB 1:500 - 1:2000
IHC 1:50 - 1:200
IF 1:50 - 1:200
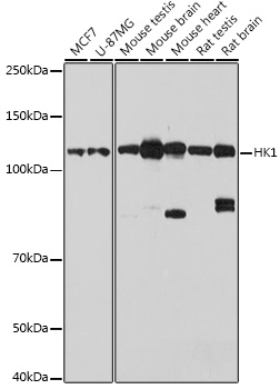
Western blot analysis of extracts of various cell lines, using HK1 antibody.
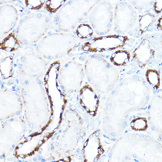
Immunohistochemistry of paraffin-embedded rat kidney using HK1 Rabbit pAb.
Immunohistochemistry of paraffin-embedded mouse kidney using HK1 Rabbit pAb.
Immunofluorescence analysis of A-549 cells using [KO Validated] HK1 Rabbit pAb.
Immunofluorescence analysis of C6 cells using [KO Validated] HK1 Rabbit pAb.
Immunofluorescence analysis of NIH/3T3 cells using [KO Validated] HK1 Rabbit pAb.
Hexokinases phosphorylate glucose to produce glucose-6-phosphate, the first step in most glucose metabolism pathways. This gene encodes a ubiquitous form of hexokinase which localizes to the outer membrane of mitochondria. Mutations in this gene have been associated with hemolytic anemia due to hexokinase deficiency. Alternative splicing of this gene results in several transcript variants which encode different isoforms, some of which are tissue-specific.

如果您使用该产品32133发表了文章,请通知我们,让我们可以引用您的文献。

et al,Dendrobium officinale polysaccharide inhibits M1 macrophage polarization via activating SENP1-SIRT3 signaling and alleviates ulcerative colitis , (2025),
PMID: 41185333

注释

应用

  • WB免疫印迹
  • IHC免疫组化
  • IF免疫荧光
  • ICC免疫细胞化学
  • FC流式细胞
  • IP免疫沉淀
  • E酶联免疫吸附法
  • DB免疫斑点法
  • ChIP染色质免疫沉淀
  • GICA胶体金免疫层析法
  • NC阴性对照

种属反应性

  • Hu
  • Ms小鼠
  • Rt大鼠
  • Dm果蝇
  • C线虫
  • Mk
  • Rb
  • B
  • D
  • P
  • Hm仓鼠
  • ChHm中国仓鼠
  • Chk
;

联系我们

Location :

南京市高新开发区星火路10号人才大厦C座

Phone :

400-9961-933
025-58868422

Email Address

info@sabbiotech.com