免费电话:400-9961-933
邮箱:info@sabbiotech.com
欢迎光临本站
川博智能体 English
位置: 首页 > 多克隆抗体 > HADH Antibody

HADH Antibody #32148

是否有货: 有货
产品详情

产品名称HADH Antibody

来源种属Rabbit

克隆性Polyclonal

纯化Antibodies were purified by affinity purification using immunogen.

应用WB,IHC

种属反应性Human;Mouse;Rat

特异性The antibody detects endogenous level of total HADH protein.

免疫原类型Recombinant Protein

免疫原描述Recombinant protein of human HADH.

基因/蛋白名称HADH

标记Unconjugated

别名HADH; HAD; HADH1; HADHSC; HHF4

数据库入口号Swiss-Prot:Q16836
NCBI Gene ID:3033

Uniprot Q16836

实际分子量34KD

浓度1.0mg/ml

配方Supplied at 1.0mg/mL in phosphate buffered saline (without Mg2+ and Ca2+), pH 7.4, 150mM NaCl, 0.02% sodium azide and 50% glycerol.

保存Store at -20˚C

应用详情
WB 1:500 - 1:2000
IHC 1:50 - 1:200
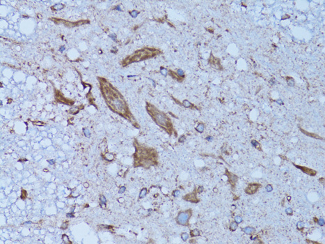
Immunohistochemistry of paraffin-embedded rat spinal cord using HADH antibody at dilution of 1:100 (40x lens).
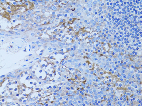
Immunohistochemistry of paraffin-embedded human tonsil using HADH antibody at dilution of 1:100 (40x lens).
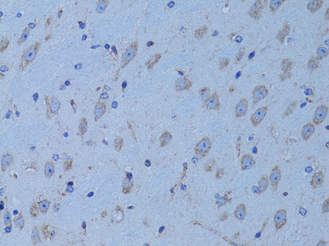
Immunohistochemistry of paraffin-embedded mouse brain using HADH antibody at dilution of 1:100 (40x lens).
Western blot analysis of extracts of various cell lines, using HADH antibody at 1:1000 dilution.
This gene is a member of the 3-hydroxyacyl-CoA dehydrogenase gene family. The encoded protein functions in the mitochondrial matrix to catalyze the oxidation of straight-chain 3-hydroxyacyl-CoAs as part of the beta-oxidation pathway. Its enzymatic activity is highest with medium-chain-length fatty acids. Mutations in this gene cause one form of familial hyperinsulinemic hypoglycemia. The human genome contains a related pseudogene of this gene on chromosome 15.

如果您使用该产品32148发表了文章,请通知我们,让我们可以引用您的文献。

et al,Validated Impacts of N6-Methyladenosine Methylated mRNAs on Apoptosis and Angiogenesis in Myocardial Infarction Based on MeRIP-Seq Analysis. In Front Mol Biosci on 2022 Jan 28 by Yingjie Zhang, Wenjie Hua,et al..PMID:35155564 , (2022),
PMID: 35155564

注释

应用

  • WB免疫印迹
  • IHC免疫组化
  • IF免疫荧光
  • ICC免疫细胞化学
  • FC流式细胞
  • IP免疫沉淀
  • E酶联免疫吸附法
  • DB免疫斑点法
  • ChIP染色质免疫沉淀
  • GICA胶体金免疫层析法
  • NC阴性对照

种属反应性

  • Hu
  • Ms小鼠
  • Rt大鼠
  • Dm果蝇
  • C线虫
  • Mk
  • Rb
  • B
  • D
  • P
  • Hm仓鼠
  • ChHm中国仓鼠
  • Chk
;

联系我们

Location :

南京市高新开发区星火路10号人才大厦C座

Phone :

400-9961-933
025-58868422

Email Address

info@sabbiotech.com