免费电话:400-9961-933
邮箱:info@sabbiotech.com
欢迎光临本站
川博智能体 English
位置: 首页 > 多克隆抗体 > EMD Antibody

EMD Antibody #32172

是否有货: 有货
产品详情

产品名称EMD Antibody

来源种属Rabbit

克隆性Polyclonal

纯化Antibodies were purified by affinity purification using immunogen.

应用WB,IHC,IF

种属反应性Human;Mouse

特异性The antibody detects endogenous level of total EMD protein.

免疫原类型Recombinant Protein

免疫原描述Recombinant protein of human EMD.

基因/蛋白名称EMD

标记Unconjugated

别名EMD; EDMD; LEMD5; STA;

数据库入口号Swiss-Prot:P50402
NCBI Gene ID:2010

Uniprot P50402

实际分子量29KD

浓度1.0mg/ml

配方Supplied at 1.0mg/mL in phosphate buffered saline (without Mg2+ and Ca2+), pH 7.4, 150mM NaCl, 0.02% sodium azide and 50% glycerol.

保存Store at -20˚C

应用详情
WB 1:500 - 1:2000
IHC 1:50 - 1:200
IF 1:20 - 1:100
Immunofluorescence analysis of HeLa cells using EMD antibody. Blue: DAPI for nuclear staining.
Western blot analysis of extracts of various cell lines, using EMD antibody at 1:1000 dilution.
Confocal immunofluorescence analysis of U-2 OS cells using EMD Polyclonal antibody at dilution of 1:100. Blue: DAPI for nuclear staining.
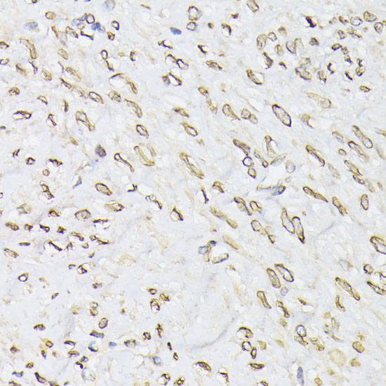
Immunohistochemistry of paraffin-embedded human uterus using EMD antibody at dilution of 1:100 (40x lens).
Emerin is a broadly expressed integral protein of the nuclear inner membrane (1). It contains a LEM domain and binds to several nuclear proteins, such as BAF (barrier-to-autointegration factor) and A- and B-type lamins, which are important in nuclear functions (2-5). Emerin may regulate gene expression through binding to other transcriptional regulators (6,7). Emerin binds to β-catenin and inhibits its nuclear accumulation (8). Recent studies demonstrate that Emerin is required for HIV-1 infectivity (9). Mutations in Emerin are a major cause of Emery-Dreifuss muscular dystrophy (EDMD), a disorder characterized by progressive skeletal muscle weakening (10).

如果您使用该产品32172发表了文章,请通知我们,让我们可以引用您的文献。

et al,Portulaca oleracea L. extract reduces hyperglycemia via PI3k/Akt and AMPK pathways in the skeletal muscles of C57BL/Ksj-db/db mice. In J Ethnopharmacol on 2020 Oct 5 by Ji Hyun Lee, Jae Eun Park,et al..PMID:32416244 , (2020),
PMID: 32416244

注释

应用

  • WB免疫印迹
  • IHC免疫组化
  • IF免疫荧光
  • ICC免疫细胞化学
  • FC流式细胞
  • IP免疫沉淀
  • E酶联免疫吸附法
  • DB免疫斑点法
  • ChIP染色质免疫沉淀
  • GICA胶体金免疫层析法
  • NC阴性对照

种属反应性

  • Hu
  • Ms小鼠
  • Rt大鼠
  • Dm果蝇
  • C线虫
  • Mk
  • Rb
  • B
  • D
  • P
  • Hm仓鼠
  • ChHm中国仓鼠
  • Chk
;

联系我们

Location :

南京市高新开发区星火路10号人才大厦C座

Phone :

400-9961-933
025-58868422

Email Address

info@sabbiotech.com