免费电话:400-9961-933
邮箱:info@sabbiotech.com
欢迎光临本站
川博智能体 English
位置: 首页 > 多克隆抗体 > LDHA Antibody

LDHA Antibody #32182

是否有货: 有货
产品详情

产品名称LDHA Antibody

来源种属Rabbit

克隆性Polyclonal

纯化Antibodies were purified by affinity purification using immunogen.

应用WB;IHC;IF

种属反应性Human;Mouse;Rat

特异性The antibody detects endogenous level of total LDHA protein.

免疫原类型Recombinant Protein

免疫原描述Recombinant protein of human LDHA .

基因/蛋白名称LDHA

标记Unconjugated

别名LDHA; LDH-M; LDH1; PIG19;

数据库入口号Swiss-Prot:P00338
NCBI Gene ID:3939

Uniprot P00338

实际分子量37KD

浓度1.0mg/ml

配方PBS containing 50% glycerol, preserved with proclin300 or sodium azide (as specified on the Certificate of Analysis), pH7.3.

保存Store at -20˚C

应用详情
WB:1:500 - 1:2000;
IHC:1:50 - 1:200;
IF:1:50 - 1:200
Western blot analysis of lysates from HeLa cells, using LDHA Antibody at 1:2000 dilution.
Western blot analysis of various lysates, using LDHA Antibody at 1:1000 dilution.
Western blot analysis of lysates from Rat liver using LDHA Antibody at 1:800 dilution.
Immunohistochemistry analysis of paraffin-embedded Human colon tissue using LDHA Antibody at a dilution of 1:100 (40x lens).
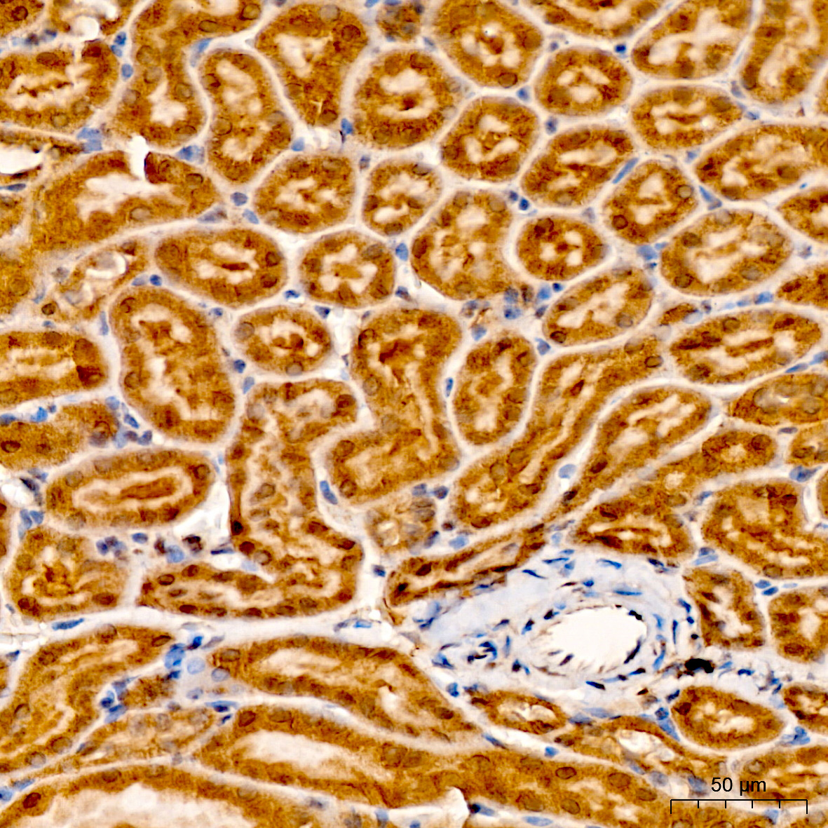
Immunohistochemistry analysis of paraffin-embedded Mouse kidney tissue using LDHA Antibody at a dilution of 1:100 (40x lens).
Immunohistochemistry analysis of paraffin-embedded Rat liver tissue using LDHA Antibody at a dilution of 1:100 (40x lens).
Immunofluorescence analysis of HeLa cells using LDHA Antibody at dilution of 1:50 (40x lens).
Immunofluorescence analysis of MCF7 cells using LDHA Antibody at dilution of 1:50 (40x lens).
Lactate dehydrogenase (LDH) catalyzes the interconversion of pyruvate and NADH to lactate and NAD+. When the oxygen supply is too low for mitochondrial ATP production, this reaction recycles NADH generated in glycolysis to NAD+, which reenters glycolysis. The major form of LDH found in muscle cells is the A (LDHA) isozyme. The LDHA promoter contains HIF-1α binding sites (1). LDHA expression is induced under hypoxic conditions (2). During intensive and prolonged muscle exercise, lactate accumulates in muscle cells when the supply of oxygen does not meet demand. When oxygen levels return to normal, LDH converts lactate to pyruvate to generate ATP in the mitochondrial electron transport chain.

如果您使用该产品32182发表了文章,请通知我们,让我们可以引用您的文献。

et al,Dendrobium officinale polysaccharide inhibits M1 macrophage polarization via activating SENP1-SIRT3 signaling and alleviates ulcerative colitis , (2025),
PMID: 41185333

注释

应用

  • WB免疫印迹
  • IHC免疫组化
  • IF免疫荧光
  • ICC免疫细胞化学
  • FC流式细胞
  • IP免疫沉淀
  • E酶联免疫吸附法
  • DB免疫斑点法
  • ChIP染色质免疫沉淀
  • GICA胶体金免疫层析法
  • NC阴性对照

种属反应性

  • Hu
  • Ms小鼠
  • Rt大鼠
  • Dm果蝇
  • C线虫
  • Mk
  • Rb
  • B
  • D
  • P
  • Hm仓鼠
  • ChHm中国仓鼠
  • Chk
;

联系我们

Location :

南京市高新开发区星火路10号人才大厦C座

Phone :

400-9961-933
025-58868422

Email Address

info@sabbiotech.com