免费电话:400-9961-933
邮箱:info@sabbiotech.com
欢迎光临本站
川博智能体 English
位置: 首页 > 多克隆抗体 > CDC25A Antibody

CDC25A Antibody #32202

是否有货: 有货
产品详情

产品名称CDC25A Antibody

来源种属Rabbit

克隆性Polyclonal

纯化Antibodies were purified by affinity purification using immunogen.

应用WB,IHC,IF

种属反应性Human;Mouse;Rat

特异性The antibody detects endogenous level of total CDC25A protein.

免疫原类型Recombinant Protein

免疫原描述Recombinant protein of human CDC25A.

基因/蛋白名称CDC25A

标记Unconjugated

别名CDC25A2; CDC25A; cdc25A;

数据库入口号Swiss-Prot:P30304
NCBI Gene ID:993

Uniprot P30304

实际分子量59KD

浓度1.0mg/ml

配方Supplied at 1.0mg/mL in phosphate buffered saline (without Mg2+ and Ca2+), pH 7.4, 150mM NaCl, 0.02% sodium azide and 50% glycerol.

保存Store at -20˚C

应用详情
WB 1:500 - 1:2000
IHC 1:50 - 1:200
IF 1:50 - 1:200
Immunofluorescence analysis of HeLa cells using CDC25A Polyclonal antibody at dilution of 1:100 (40x lens). Blue: DAPI for nuclear staining.
Western blot analysis of extracts of various cell lines, using CDC25A antibody at 1:800 dilution.
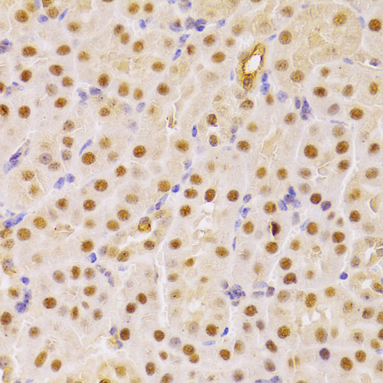
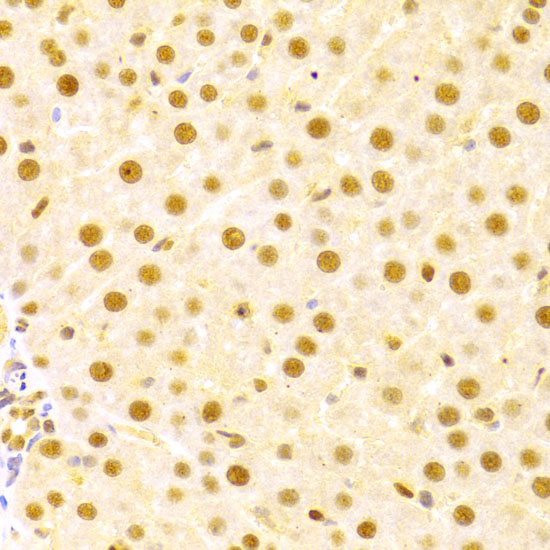
Immunohistochemistry of paraffin-embedded rat liver using CDC25A antibody at dilution of 1:100 (40x lens).
Immunohistochemistry of paraffin-embedded human liver damage using CDC25A antibody at dilution of 1:100 (40x lens).
Immunohistochemistry of paraffin-embedded mouse kidney using CDC25A antibody at dilution of 1:100 (40x lens).
The cdc25 protein phosphatase family plays a critical role in activating cyclin-dependent kinases (CDKs) via dephosphorylation of conserved Thr14/Tyr15 inhibitory phosphorylation sites. While cdc25C is primarily responsible for activating CDK1 to overcome the G2/M checkpoint and allow mitotic entry, the primary substrate of cdc25A is CDK2, which, when active, allows progression through the G1/S and intra-S checkpoints (1). Abundance, subcellular localization and activity of cdc25A is tightly controlled by a variety of mechanisms, including phosphorylation, ubiquitination, and inhibitory binding to 14-3-3 proteins. During normal cell cycle progression, elevated c-Myc and E2F transcription factor levels lead to increased cdc25A expression (2). When conditions are favorable for DNA synthesis, cdc25A and CDK2 form an activation loop, wherein each activates the other enzyme (1). DNA damage, on the other hand, leads to multisite phosphorylation at inhibitory sites (Ser123, Ser177, Ser278, Ser292, and Thr506) by Chk1 and Chk2, which result in 14-3-3 binding and ubiquitin-mediated degradation (3,4).

如果您使用该产品32202发表了文章,请通知我们,让我们可以引用您的文献。

et al,Dub3 expression correlates with tumor progression and poor prognosis in human epithelial ovarian cancer.In Biomed Pharmacother on 2015 Mar by Bo Zhou , Bin Shu et al..PMID:25776484 , (2015),
PMID: 25776484

注释

应用

  • WB免疫印迹
  • IHC免疫组化
  • IF免疫荧光
  • ICC免疫细胞化学
  • FC流式细胞
  • IP免疫沉淀
  • E酶联免疫吸附法
  • DB免疫斑点法
  • ChIP染色质免疫沉淀
  • GICA胶体金免疫层析法
  • NC阴性对照

种属反应性

  • Hu
  • Ms小鼠
  • Rt大鼠
  • Dm果蝇
  • C线虫
  • Mk
  • Rb
  • B
  • D
  • P
  • Hm仓鼠
  • ChHm中国仓鼠
  • Chk
;

联系我们

Location :

南京市高新开发区星火路10号人才大厦C座

Phone :

400-9961-933
025-58868422

Email Address

info@sabbiotech.com