免费电话:400-9961-933
邮箱:info@sabbiotech.com
欢迎光临本站
川博智能体 English
位置: 首页 > 多克隆抗体 > HGF Antibody

HGF Antibody #32218

是否有货: 有货
产品详情

产品名称HGF Antibody

来源种属Rabbit

克隆性Polyclonal

亚型IgG

纯化Affinity purification

应用WB,IHC,IF

种属反应性Human;Mouse;Rat

特异性The antibody detects endogenous level of total HGF protein.

免疫原类型Recombinant Protein

免疫原描述Recombinant fusion protein of human HGF (NP_001010933.1).

基因/蛋白名称HGF

标记Unconjugated

别名HGF;DFNB39;F-TCF;HGFB;HPTA;SF

数据库入口号Uniprot:P14210
GeneID:3082

Uniprot P14210

Gene ID 3082

实际分子量80KDa

浓度1.0mg/ml

配方PBS with 0.02% sodium azide,50% glycerol,pH7.3.

保存Store at -20˚C. Avoid freeze / thaw cycles.

应用详情

WB 1:500 - 1:2000
IHC 1:50 - 1:200
IF 1:50 - 1:200

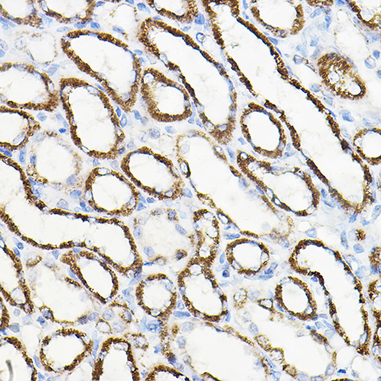
Immunohistochemistry of paraffin-embedded rat kidney using HGF Rabbit pAb.
Immunohistochemistry of paraffin-embedded mouse spinal cord using HGF Rabbit pAb.
Immunofluorescence analysis of HepG2 cells using HGF Rabbit pAb.
Western blot analysis of SH-SY5Y lysis using HGF antibody.

This gene encodes a protein that binds to the hepatocyte growth factor receptor to regulate cell growth, cell motility and morphogenesis in numerous cell and tissue types. Alternative splicing results in multiple transcript variants, at least one of which encodes a preproprotein that is proteolytically processed to generate alpha and beta chains, which form the mature heterodimer. This protein is secreted by mesenchymal cells and acts as a multi-functional cytokine on cells of mainly epithelial origin. This protein also plays a role in angiogenesis, tumorogenesis, and tissue regeneration. Although the encoded protein is a member of the peptidase S1 family of serine proteases, it lacks peptidase activity. Mutations in this gene are associated with nonsyndromic hearing loss.

如果您使用该产品32218发表了文章,请通知我们,让我们可以引用您的文献。

et al,Human umbilical cord mesenchymal stem cell-derived extracellular vesicles enhance the regenerative capability of fibrotic liver , (2023),
PMID:

注释

应用

  • WB免疫印迹
  • IHC免疫组化
  • IF免疫荧光
  • ICC免疫细胞化学
  • FC流式细胞
  • IP免疫沉淀
  • E酶联免疫吸附法
  • DB免疫斑点法
  • ChIP染色质免疫沉淀
  • GICA胶体金免疫层析法
  • NC阴性对照

种属反应性

  • Hu
  • Ms小鼠
  • Rt大鼠
  • Dm果蝇
  • C线虫
  • Mk
  • Rb
  • B
  • D
  • P
  • Hm仓鼠
  • ChHm中国仓鼠
  • Chk
;

联系我们

Location :

南京市高新开发区星火路10号人才大厦C座

Phone :

400-9961-933
025-58868422

Email Address

info@sabbiotech.com