免费电话:400-9961-933
邮箱:info@sabbiotech.com
欢迎光临本站
川博智能体 English
位置: 首页 > 多克隆抗体 > TYR Antibody

TYR Antibody #32259

是否有货: 有货
产品详情

产品名称TYR Antibody

来源种属Rabbit

克隆性Polyclonal

纯化Antibodies were purified by affinity purification using immunogen.

应用WB,IHC

种属反应性Human;Mouse;Rat

特异性The antibody detects endogenous level of total TYR protein.

免疫原类型Recombinant Protein

免疫原描述Recombinant protein of human TYR.

基因/蛋白名称TYR

标记Unconjugated

别名CMM8; OCA1A; OCAIA; SHEP3;

数据库入口号Swiss-Prot:P14679
NCBI Gene ID:7299

Uniprot P14679

实际分子量60KD

浓度1.0mg/ml

配方Supplied at 1.0mg/mL in phosphate buffered saline (without Mg2+ and Ca2+), pH 7.4, 150mM NaCl, 0.02% sodium azide and 50% glycerol.

保存Store at -20˚C

应用详情

WB 1:500 - 1:2000
IHC 1:50 - 1:200
IF 1:50 - 1:200

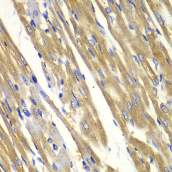
Immunohistochemistry of paraffin-embedded rat heart using TYR antibody at dilution of 1:100 (40x lens).
Western blot analysis of extracts of various cell lines, using TYR antibody at 1:1000 dilution.

The enzyme encoded by this gene catalyzes the first 2 steps, and at least 1 subsequent step, in the conversion of tyrosine to melanin. The enzyme has both tyrosine hydroxylase and dopa oxidase catalytic activities, and requires copper for function. Mutations in this gene result in oculocutaneous albinism, and nonpathologic polymorphisms result in skin pigmentation variation. The human genome contains a pseudogene similar to the 3' half of this gene.

如果您使用该产品32259发表了文章,请通知我们,让我们可以引用您的文献。

et al,Discovery of a Novel Src Homology-2 Domain Containing Protein Tyrosine Phosphatase-2 (SHP2) and Cyclin-Dependent Kinase 4 (CDK4) Dual Inhibitor for the Treatment of Triple-Negative Breast Cancer , (2022),
PMID:

注释

应用

  • WB免疫印迹
  • IHC免疫组化
  • IF免疫荧光
  • ICC免疫细胞化学
  • FC流式细胞
  • IP免疫沉淀
  • E酶联免疫吸附法
  • DB免疫斑点法
  • ChIP染色质免疫沉淀
  • GICA胶体金免疫层析法
  • NC阴性对照

种属反应性

  • Hu
  • Ms小鼠
  • Rt大鼠
  • Dm果蝇
  • C线虫
  • Mk
  • Rb
  • B
  • D
  • P
  • Hm仓鼠
  • ChHm中国仓鼠
  • Chk
;

联系我们

Location :

南京市高新开发区星火路10号人才大厦C座

Phone :

400-9961-933
025-58868422

Email Address

info@sabbiotech.com