免费电话:400-9961-933
邮箱:info@sabbiotech.com
欢迎光临本站
川博智能体 English
位置: 首页 > 多克隆抗体 > SOD2 Antibody

SOD2 Antibody #32265

是否有货: 有货
产品详情

产品名称SOD2 Antibody

来源种属Rabbit

克隆性Polyclonal

亚型IgG

纯化Affinity purification

应用WB,IHC,IF

种属反应性Human;Mouse;Rat

特异性The antibody detects endogenous level of total SOD2 protein.

免疫原类型Recombinant Protein

免疫原描述Recombinant fusion protein of human SOD2 (NP_000627.2).

基因/蛋白名称SOD2

标记Unconjugated

别名IPO-B;IPOB;MNSOD;MVCD6;Mn-SOD;SOD2

数据库入口号Uniprot:P04179
GeneID:6648

Uniprot P04179

Gene ID 6648

实际分子量25KDa/22KDa

浓度1.0mg/ml

配方PBS with 0.02% sodium azide,50% glycerol,pH7.3.

保存Store at -20˚C. Avoid freeze / thaw cycles.

应用详情
WB 1:500 - 1:2000
IHC 1:50 - 1:200
IF 1:50 - 1:200
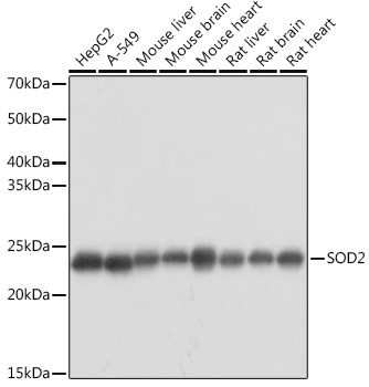
Western blot analysis of extracts of various cell lines, using SOD2 antibody.
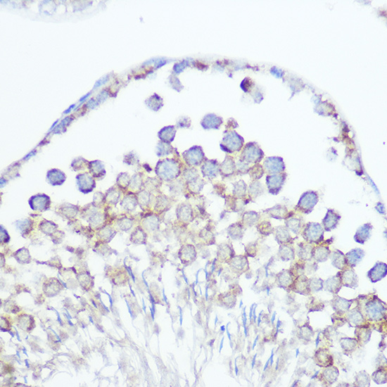
Immunohistochemistry of paraffin-embedded rat testis using SOD2 Rabbit pAb.
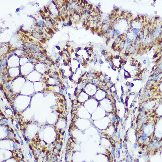
Immunohistochemistry of paraffin-embedded human colon using SOD2 Rabbit pAb.
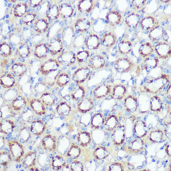
Immunohistochemistry of paraffin-embedded mouse kidney using SOD2 Rabbit pAb.
Immunofluorescence analysis of C6 cells using [KO Validated] SOD2 Rabbit pAb.
Immunofluorescence analysis of NIH/3T3 cells using [KO Validated] SOD2 Rabbit pAb.
Immunofluorescence analysis of U2OS cells using [KO Validated] SOD2 Rabbit pAb.
This gene is a member of the iron/manganese superoxide dismutase family. It encodes a mitochondrial protein that forms a homotetramer and binds one manganese ion per subunit. This protein binds to the superoxide byproducts of oxidative phosphorylation and converts them to hydrogen peroxide and diatomic oxygen. Mutations in this gene have been associated with idiopathic cardiomyopathy (IDC), premature aging, sporadic motor neuron disease, and cancer. Alternative splicing of this gene results in multiple transcript variants. A related pseudogene has been identified on chromosome 1.

如果您使用该产品32265发表了文章,请通知我们,让我们可以引用您的文献。

et al,The effect of exposure time and concentration of airborne PM2.5 on lung Injury In mice: A transcriptome analysis. In Redox Biol on 2019 Sep by Wang H, Shen X et al..PMID:31279222 , (2019),
PMID: 31279222
et al,Classical prescription Daqinjiao decoction inhibit cerebral ischemia/reperfusion induced necroptosis and ferroptosis through multiple mechanisms. , (2025),
PMID: 39736347

注释

应用

  • WB免疫印迹
  • IHC免疫组化
  • IF免疫荧光
  • ICC免疫细胞化学
  • FC流式细胞
  • IP免疫沉淀
  • E酶联免疫吸附法
  • DB免疫斑点法
  • ChIP染色质免疫沉淀
  • GICA胶体金免疫层析法
  • NC阴性对照

种属反应性

  • Hu
  • Ms小鼠
  • Rt大鼠
  • Dm果蝇
  • C线虫
  • Mk
  • Rb
  • B
  • D
  • P
  • Hm仓鼠
  • ChHm中国仓鼠
  • Chk
;

联系我们

Location :

南京市高新开发区星火路10号人才大厦C座

Phone :

400-9961-933
025-58868422

Email Address

info@sabbiotech.com