免费电话:400-9961-933
邮箱:info@sabbiotech.com
欢迎光临本站
川博智能体 English
位置: 首页 > 多克隆抗体 > MAOA Antibody

MAOA Antibody #32268

是否有货: 有货
产品详情

产品名称MAOA Antibody

来源种属Rabbit

克隆性Polyclonal

亚型IgG

纯化Affinity purification

应用WB,IHC,IF

种属反应性Human;Mouse;Rat

特异性The antibody detects endogenous level of total MAOA protein.

免疫原类型Recombinant Protein

免疫原描述Recombinant fusion protein of human Monoamine Oxidase A (Monoamine Oxidase A (MAOA)) (NP_000231.1).

基因/蛋白名称MAOA

标记Unconjugated

别名MAOA;BRNRS;MAO-A

数据库入口号Uniprot:P21397
GeneID:4128

Uniprot P21397

Gene ID 4128

实际分子量65kDa

浓度1.0mg/ml

配方PBS with 0.02% sodium azide,50% glycerol,pH7.3.

保存Store at -20˚C. Avoid freeze / thaw cycles.

应用详情
WB 1:500 - 1:2000
IHC 1:50 - 1:200
IF 1:50 - 1:200
Western blot analysis of extracts of various cell lines, using Monoamine Oxidase A (Monoamine Oxidase A (MAOA)) antibody.
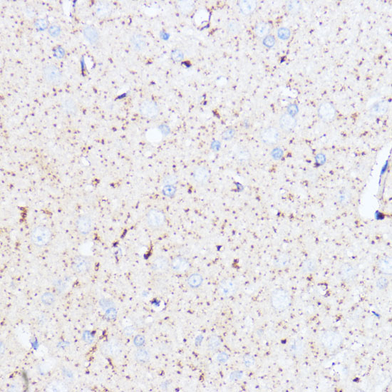
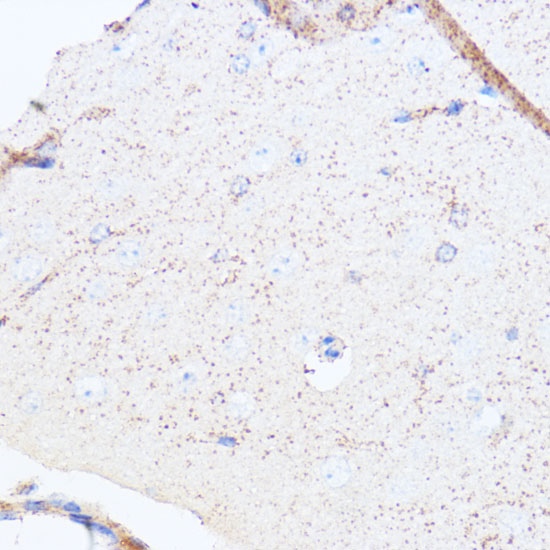
Immunohistochemistry of paraffin-embedded rat brain using Monoamine Oxidase A (Monoamine Oxidase A (MAOA)) antibody.
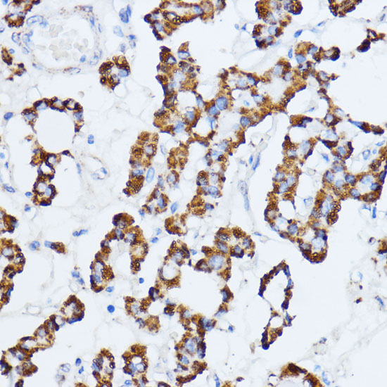
Immunohistochemistry of paraffin-embedded human thyroid cancer using Monoamine Oxidase A (Monoamine Oxidase A (MAOA)) antibody.
Immunohistochemistry of paraffin-embedded mouse brain using Monoamine Oxidase A (Monoamine Oxidase A (MAOA)) antibody.
Immunofluorescence analysis of C6 cells using Monoamine Oxidase A (Monoamine Oxidase A (MAOA)) antibody.
Immunofluorescence analysis of NIH/3T3 cells using Monoamine Oxidase A (Monoamine Oxidase A (MAOA)) antibody.
This gene is one of two neighboring gene family members that encode mitochondrial enzymes which catalyze the oxidative deamination of amines, such as dopamine, norepinephrine, and serotonin. Mutation of this gene results in Brunner syndrome. This gene has also been associated with a variety of other psychiatric disorders, including antisocial behavior. Alternatively spliced transcript variants encoding multiple isoforms have been observed.

如果您使用该产品32268发表了文章,请通知我们,让我们可以引用您的文献。

et al,Nephrotoxicity induced by cisplatin is primarily due to the activation of the 5-hydroxytryptamine degradation system in proximal renal tubules , (2021),
PMID:

注释

应用

  • WB免疫印迹
  • IHC免疫组化
  • IF免疫荧光
  • ICC免疫细胞化学
  • FC流式细胞
  • IP免疫沉淀
  • E酶联免疫吸附法
  • DB免疫斑点法
  • ChIP染色质免疫沉淀
  • GICA胶体金免疫层析法
  • NC阴性对照

种属反应性

  • Hu
  • Ms小鼠
  • Rt大鼠
  • Dm果蝇
  • C线虫
  • Mk
  • Rb
  • B
  • D
  • P
  • Hm仓鼠
  • ChHm中国仓鼠
  • Chk
;

联系我们

Location :

南京市高新开发区星火路10号人才大厦C座

Phone :

400-9961-933
025-58868422

Email Address

info@sabbiotech.com