免费电话:400-9961-933
邮箱:info@sabbiotech.com
欢迎光临本站
川博智能体 English
位置: 首页 > 多克隆抗体 > NFATC1 Antibody

NFATC1 Antibody #32303

是否有货: 有货
产品详情

产品名称NFATC1 Antibody

来源种属Rabbit

克隆性Polyclonal

纯化Antibodies were purified by affinity purification using immunogen.

应用WB IHC IF

种属反应性Human;Mouse;Rat

特异性The antibody detects endogenous level of total NFATC1 protein.

免疫原类型Recombinant Protein

免疫原描述Recombinant protein of human NFATC1.

基因/蛋白名称NFATC1

标记Unconjugated

别名MGC138448; NF-ATC; NFAT2; NFATc;

数据库入口号Swiss-Prot:O95644
NCBI Gene ID:4772

Uniprot O95644

实际分子量78;101KD

浓度1.0mg/ml

配方Supplied at 1.0mg/mL in phosphate buffered saline (without Mg2+ and Ca2+), pH 7.4, 150mM NaCl, 0.02% sodium azide and 50% glycerol.

保存Store at -20˚C

应用详情
Western blotting: 1:500 - 1:2000
Immunohistochemistry: 1:50 - 1:100
Immunofluorescence: 1:50 - 1:200
Western blot analysis of extracts of various cell lines, using NFATC1 antibody.
Immunofluorescence analysis of U2OS cell using NFATC1 antibody. Blue: DAPI for nuclear staining.
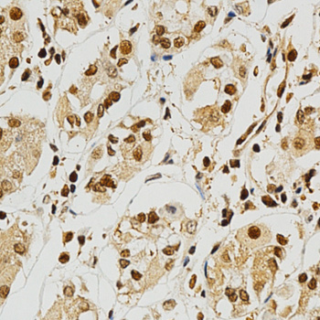
Immunohistochemistry of paraffin-embedded human esophageal cancer using NFATC1 antibody at dilution of 1:200 (x400 lens).
Immunohistochemistry of paraffin-embedded human stomach using NFATC1 antibody at dilution of 1:200 (x400 lens).
The NFAT (nuclear factor of activated T cells) family of proteins consists of NFAT1 (NFATc2 or NFATp), NFAT2 (NFATc1 or NFATc), NFAT3 (NFATc4), and NFAT4 (NFATc3 or NFATx). All members of this family are transcription factors with a Rel homology domain and regulate gene transcription in concert with AP-1 (Jun/Fos) to orchestrate an effective immune response (1,2). NFAT proteins are predominantly expressed in cells of the immune system, but are also expressed in skeletal muscle, keratinocytes, and adipocytes, regulating cell differentiation programs in these cells (3). In resting cells, NFAT proteins are heavily phosphorylated and localized in the cytoplasm. Increased intracellular calcium concentrations activate the calcium/calmodulin-dependent serine phosphatase calcineurin, which dephosphorylates NFAT proteins, resulting in their subsequent translocation to the nucleus (2). Termination of NFAT signaling occurs upon declining calcium concentrations and phosphorylation of NFAT by kinases such as GSK-3 or CK1 (3,4). Cyclosporin A and FK506 are immunosuppressive drugs that inhibit calcineurin and thus retain NFAT proteins in the cytoplasm (5).

如果您使用该产品32303发表了文章,请通知我们,让我们可以引用您的文献。

et al,Phytoestrogens protect joints in collagen induced arthritis by increasing IgG glycosylation and reducing osteoclast activation.In Int Immunopharmacol on 2020 Mar 12 by Du N, Song L, et al..PMID:32172207 , (2020),
PMID: 32172207
et al,Wnt7b Induced Sox11 Functions Enhance Self renewal and Osteogenic Commitment of Bone Marrow Mesenchymal Stem Cells.In Stem Cells on 2020 Apr 28. by Yu F, Wu F,et al..PMID: 32346881 , (2020),
PMID: 32346881
et al,Bioactive glass nanoparticles inhibit osteoclast differentiation and osteoporotic bone loss by activating lncRNA NRON expression in the extracellular vesicles derived from bone marrow mesenchymal stem cells. In Biomaterials on 2022 Feb 24 by Zhengyu Yang, Xiaodong Liu, et al.. , (2022),
PMID: 35220020
et al,Bioactive glass nanoparticles inhibit osteoclast differentiation and osteoporotic bone loss by activating lncRNA NRON expression in the extracellular vesicles derived from bone marrow mesenchymal stem cells. In Biomaterials on 2022 Feb 24 by Zhengyu Yang, Xiaodong Liu, et al..PMID: 35220020 , (2022),
PMID: 35220020
et al,Increased Alleviation of Bone Destruction in Individuals with Rheumatoid Arthritis via the Coinhibition of the METTL3 and YTHDF1 Axis by the Combination of Triptolide and Medicarpin , (2025),
PMID:

注释

应用

  • WB免疫印迹
  • IHC免疫组化
  • IF免疫荧光
  • ICC免疫细胞化学
  • FC流式细胞
  • IP免疫沉淀
  • E酶联免疫吸附法
  • DB免疫斑点法
  • ChIP染色质免疫沉淀
  • GICA胶体金免疫层析法
  • NC阴性对照

种属反应性

  • Hu
  • Ms小鼠
  • Rt大鼠
  • Dm果蝇
  • C线虫
  • Mk
  • Rb
  • B
  • D
  • P
  • Hm仓鼠
  • ChHm中国仓鼠
  • Chk
;

联系我们

Location :

南京市高新开发区星火路10号人才大厦C座

Phone :

400-9961-933
025-58868422

Email Address

info@sabbiotech.com