免费电话:400-9961-933
邮箱:info@sabbiotech.com
欢迎光临本站
川博智能体 English
位置: 首页 > 多克隆抗体 > HMGCR Antibody

HMGCR Antibody #32356

是否有货: 有货
产品详情

产品名称HMGCR Antibody

来源种属Rabbit

克隆性Polyclonal

亚型IgG

纯化The antibody was purified by immunogen affinity chromatography.

应用WB,IHC,IF

种属反应性Human;Mouse;Rat

特异性The antibody detects endogenous level of total HMGCR protein.

免疫原类型Recombinant Protein

免疫原描述Recombinant fusion protein of human HMGCR (NP_000850.1).

基因/蛋白名称HMGCR

标记Unconjugated

别名HMGCR;LDLCQ3;HMGCR

数据库入口号Uniprot:P04035
GeneID:3156

Uniprot P04035

Gene ID 3156

实际分子量97KDa

浓度1.0mg/ml

配方PBS with 0.02% sodium azide,50% glycerol,pH7.3.

保存Store at -20˚C. Avoid freeze / thaw cycles.

应用详情
WB 1:1000 - 1:4000
IHC 1:50 - 1:100
IF 1:50 - 1:200
Western blot analysis of extracts of Rat brain, using HMGCR Rabbit pAb.
Western blot analysis of extracts of Mouse spleen, using HMGCR Rabbit pAb.
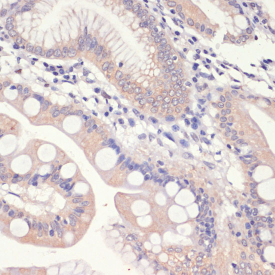
Immunohistochemistry of paraffin-embedded human small intestine using HMGCR antibody.
Immunohistochemistry of paraffin-embedded human uterine cancer using HMGCR antibody.
Immunofluorescence analysis of C6 cells using HMGCR Rabbit pAb.
Immunofluorescence analysis of NIH-3T3 cells using HMGCR Rabbit pAb.
Immunofluorescence analysis of U-2 OS cells using HMGCR Rabbit pAb.
HMG-CoA reductase is the rate-limiting enzyme for cholesterol synthesis and is regulated via a negative feedback mechanism mediated by sterols and non-sterol metabolites derived from mevalonate, the product of the reaction catalyzed by reductase. Normally in mammalian cells this enzyme is suppressed by cholesterol derived from the internalization and degradation of low density lipoprotein (LDL) via the LDL receptor. Competitive inhibitors of the reductase induce the expression of LDL receptors in the liver, which in turn increases the catabolism of plasma LDL and lowers the plasma concentration of cholesterol, an important determinant of atherosclerosis. Alternatively spliced transcript variants encoding different isoforms have been found for this gene.

如果您使用该产品32356发表了文章,请通知我们,让我们可以引用您的文献。

et al,Diaporisoindole B Reduces Lipid Accumulation in THP-1 Macrophage Cells via MAPKs and PPARγ-LXRα Pathways and Promotes the Reverse Cholesterol Transport by Upregulating SR-B1 and LDLR in HepG2 Cells. In J Nat Prod on 2022 Dec 23 by Hongju Liu, Huiyi Xie, et al..PMID:36399085 , (2022),
PMID: 36399085
et al,Cholesterol-lowering effects of rhubarb free anthraquinones and their mechanism of action. In Eur J Pharmacol on 2024 Mar 5 by Lifang Wang, Haijiao Wang,et al..PMID:38286356 , (2024),
PMID: 38286356

注释

应用

  • WB免疫印迹
  • IHC免疫组化
  • IF免疫荧光
  • ICC免疫细胞化学
  • FC流式细胞
  • IP免疫沉淀
  • E酶联免疫吸附法
  • DB免疫斑点法
  • ChIP染色质免疫沉淀
  • GICA胶体金免疫层析法
  • NC阴性对照

种属反应性

  • Hu
  • Ms小鼠
  • Rt大鼠
  • Dm果蝇
  • C线虫
  • Mk
  • Rb
  • B
  • D
  • P
  • Hm仓鼠
  • ChHm中国仓鼠
  • Chk
;

联系我们

Location :

南京市高新开发区星火路10号人才大厦C座

Phone :

400-9961-933
025-58868422

Email Address

info@sabbiotech.com