免费电话:400-9961-933
邮箱:info@sabbiotech.com
欢迎光临本站
川博智能体 English
位置: 首页 > 多克隆抗体 > IFNAR2 Antibody

IFNAR2 Antibody #32426

是否有货: 有货
产品详情

产品名称IFNAR2 Antibody

来源种属Rabbit

克隆性Polyclonal

纯化Antibodies were purified by affinity purification using immunogen.

应用WB,IHC,IF

种属反应性Human;Mouse;Rat

特异性The antibody detects endogenous level of total IFNAR2 protein.

免疫原类型Recombinant Protein

免疫原描述Recombinant protein of human IFNAR2.

基因/蛋白名称IFNAR2

标记Unconjugated

别名IFN-R; IFNABR; IFNARB; IFN-alpha-REC;

数据库入口号Swiss-Prot:P48551
NCBI Gene ID:3455

Uniprot P48551

实际分子量58KD

浓度1.0mg/ml

配方Supplied at 1.0mg/mL in phosphate buffered saline (without Mg2+ and Ca2+), pH 7.4, 150mM NaCl, 0.02% sodium azide and 50% glycerol.

保存Store at -20˚C

应用详情
WB 1:500 - 1:2000
IHC 1:50 - 1:100
IF 1:50 - 1:100
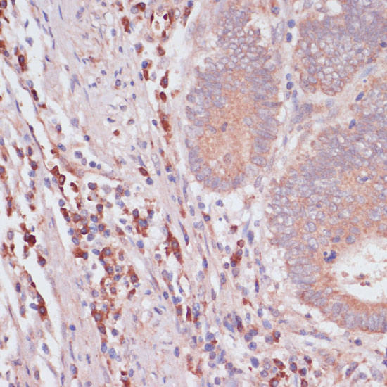
Immunohistochemistry of paraffin-embedded human colon carcinoma using IFNAR2 antibody at dilution of 1:100 (40x lens).
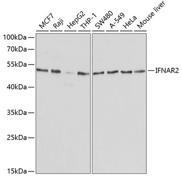
Western blot analysis of extracts of various cell lines, using IFNAR2 antibody at 1:1000 dilution.
Immunofluorescence analysis of U2OS cells using IFNAR2 antibody. Blue: DAPI for nuclear staining.
The protein encoded by this gene is a type I membrane protein that forms one of the two chains of a receptor for interferons alpha and beta. Binding and activation of the receptor stimulates Janus protein kinases, which in turn phosphorylate several proteins, including STAT1 and STAT2. Multiple transcript variants encoding at least two different isoforms have been found for this gene.

如果您使用该产品32426发表了文章,请通知我们,让我们可以引用您的文献。

et al,Inhibition of TPL2 by interferon-α suppresses bladder cancer through activation of PDE4D.In J Exp Clin Cancer Res. On 2018 Nov 27 by Qiang Z, Zhou ZY et al..PMID: 30482227 , (2018),
PMID: 30482227

注释

应用

  • WB免疫印迹
  • IHC免疫组化
  • IF免疫荧光
  • ICC免疫细胞化学
  • FC流式细胞
  • IP免疫沉淀
  • E酶联免疫吸附法
  • DB免疫斑点法
  • ChIP染色质免疫沉淀
  • GICA胶体金免疫层析法
  • NC阴性对照

种属反应性

  • Hu
  • Ms小鼠
  • Rt大鼠
  • Dm果蝇
  • C线虫
  • Mk
  • Rb
  • B
  • D
  • P
  • Hm仓鼠
  • ChHm中国仓鼠
  • Chk
;

联系我们

Location :

南京市高新开发区星火路10号人才大厦C座

Phone :

400-9961-933
025-58868422

Email Address

info@sabbiotech.com