免费电话:400-9961-933
邮箱:info@sabbiotech.com
欢迎光临本站
川博智能体 English
位置: 首页 > 多克隆抗体 > KLK1 Antibody

KLK1 Antibody #32443

是否有货: 有货
产品详情

产品名称KLK1 Antibody

来源种属Rabbit

克隆性Polyclonal

亚型IgG

纯化Affinity purification

应用WB,IHC

种属反应性Human;Mouse;Rat

特异性The antibody detects endogenous level of total KLK1 protein.

免疫原类型Recombinant Protein

免疫原描述Recombinant fusion protein of human KLK1 (NP_002248.1).

基因/蛋白名称KLK1

标记Unconjugated

别名KLK1;KLKR;Klk6;hK1

数据库入口号Uniprot:P06870
GeneID:3816

Uniprot P06870

Gene ID 3816

实际分子量22kDa

浓度1.0mg/ml

配方PBS with 0.02% sodium azide,50% glycerol,pH7.3.

保存Store at -20˚C. Avoid freeze / thaw cycles.

应用详情
WB 1:500 - 1:2000
IHC 1:50 - 1:200
Western blot analysis of extracts of various cell lines, using KLK1 antibody.
Immunohistochemistry of paraffin-embedded human colon carcinoma using KLK1 Rabbit pAb.
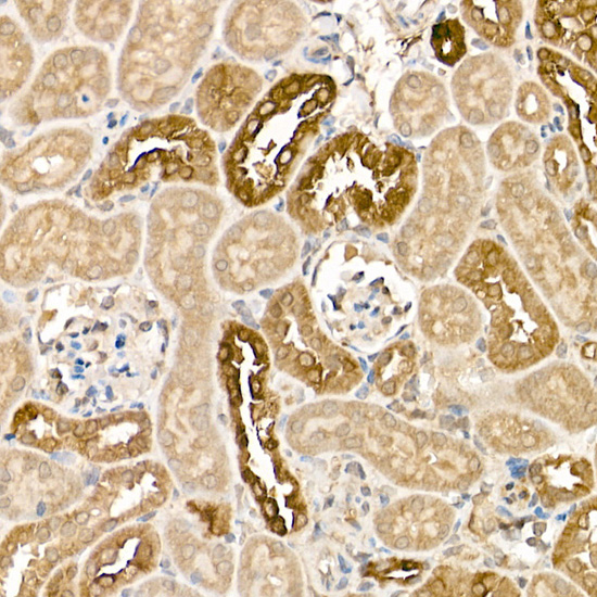
Immunohistochemistry of paraffin-embedded mouse kidney using KLK1 Rabbit pAb.
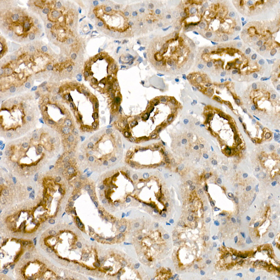
Immunohistochemistry of paraffin-embedded rat kidney using KLK1 Rabbit pAb.
Kallikreins are a subgroup of serine proteases having diverse physiological functions. Growing evidence suggests that many kallikreins are implicated in carcinogenesis and some have potential as novel cancer and other disease biomarkers. This gene is one of the fifteen kallikrein subfamily members located in a cluster on chromosome 19. This protein is functionally conserved in its capacity to release the vasoactive peptide, Lys-bradykinin, from low molecular weight kininogen.

如果您使用该产品32443发表了文章,请通知我们,让我们可以引用您的文献。

et al,Human Tissue Kallikrein 1 Is Downregulated in Elderly Human Prostates and Possesses Potential In Vitro Antioxidative and Antifibrotic Effects in Rodent Prostates. In Oxid Med Cell Longev on 2021 Apr 30 by Mengyang Zhang, Changcheng Luo,et al..PMID:34007408 , (2021),
PMID: 34007408
et al,Tissue Kallikrein Protects Rat Prostate against the Inflammatory Damage in a Chronic Autoimmune Prostatitis Model via Restoring Endothelial Function in a Bradykinin Receptor B2-Dependent Way. In Oxid Med Cell Longev on 2022 Feb 1 by Mengyang Zhang, Dongxu Lin,et al..PMID:35154561 , (2022),
PMID: 35154561
et al,saKLK1-374 is more difficult to induce KLK1 expression in normal prostate cell lines than that in prostate cancer cell lines: Rethinking the universality of RNA activation. In Biochem Biophys Res Commun on 2022 Dec 30 by Mengyang Zhang, Dongxu Lin,et al..PMID:36610381 , (2022),
PMID: 36610381
et al,saKLK1-374 is more difficult to induce KLK1 expression in normal prostate cell lines than that in prostate cancer cell lines: Rethinking the universality of RNA activationInBiochem Biophys Res CommunOn2023 Feb 5byMengyang Zhang?1,?Dongxu Lin et al..PMID: 36610381 , (2023),
PMID: 36610381

注释

应用

  • WB免疫印迹
  • IHC免疫组化
  • IF免疫荧光
  • ICC免疫细胞化学
  • FC流式细胞
  • IP免疫沉淀
  • E酶联免疫吸附法
  • DB免疫斑点法
  • ChIP染色质免疫沉淀
  • GICA胶体金免疫层析法
  • NC阴性对照

种属反应性

  • Hu
  • Ms小鼠
  • Rt大鼠
  • Dm果蝇
  • C线虫
  • Mk
  • Rb
  • B
  • D
  • P
  • Hm仓鼠
  • ChHm中国仓鼠
  • Chk
;

联系我们

Location :

南京市高新开发区星火路10号人才大厦C座

Phone :

400-9961-933
025-58868422

Email Address

info@sabbiotech.com