免费电话:400-9961-933
邮箱:info@sabbiotech.com
欢迎光临本站
川博智能体 English
位置: 首页 > 多克隆抗体 > KEAP1 Antibody

KEAP1 Antibody #32450

是否有货: 有货
产品详情

产品名称KEAP1 Antibody

来源种属Rabbit

克隆性Polyclonal

亚型IgG

纯化Affinity purification

应用WB,IHC,IF

种属反应性Human;Mouse;Rat

特异性The antibody detects endogenous level of total KEAP1 protein.

免疫原类型Recombinant Protein

免疫原描述Recombinant fusion protein of human KEAP1 (NP_036421.2).

基因/蛋白名称KEAP1

标记Unconjugated

别名KEAP1;INrf2;KLHL19

数据库入口号Uniprot:Q14145
GeneID:9817

Uniprot Q14145

Gene ID 9817

实际分子量60KDa

浓度1.0mg/ml

配方PBS with 0.02% sodium azide,50% glycerol,pH7.3.

保存Store at -20˚C. Avoid freeze / thaw cycles.

应用详情
WB 1:500 - 1:2000
IHC 1:50 - 1:200
IF 1:50 - 1:200
Western blot analysis of extracts of various cell lines, using KEAP1 antibody.
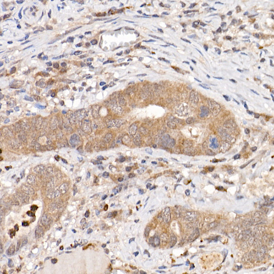
Immunohistochemistry of paraffin-embedded human colon carcinoma using KEAP1 Rabbit pAb.
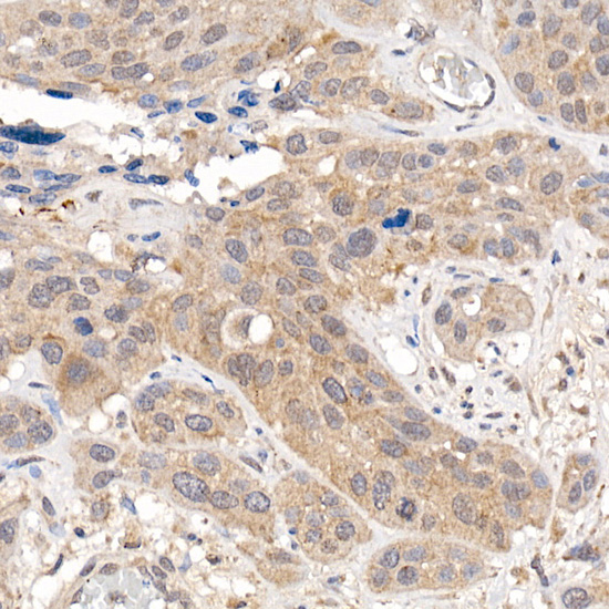
Immunohistochemistry of paraffin-embedded human esophageal cancer using KEAP1 Rabbit pAb.
Immunofluorescence analysis of C6 cells using KEAP1 Rabbit pAb.
Immunofluorescence analysis of U-2 OS cells using KEAP1 Rabbit pAb.
This gene encodes a protein containing KELCH-1 like domains, as well as a BTB/POZ domain. Kelch-like ECH-associated protein 1 interacts with NF-E2-related factor 2 in a redox-sensitive manner and the dissociation of the proteins in the cytoplasm is followed by transportation of NF-E2-related factor 2 to the nucleus. This interaction results in the expression of the catalytic subunit of gamma-glutamylcysteine synthetase. Two alternatively spliced transcript variants encoding the same isoform have been found for this gene.

如果您使用该产品32450发表了文章,请通知我们,让我们可以引用您的文献。

et al,c-Myc protects hepatocellular carcinoma cell from ferroptosis induced by glutamine deprivation via upregulating GOT1 and Nrf2InMol Biol RepOn2023 AugbyYuxiang Zhao?1,?Yue Wang et al..PMID:?37358765 , (2023),
PMID: 37358765
et al,Association of α-Klotho with regulation of Keap1/Nrf2/Interleukin-1 pathway and AMPA receptor trafficking in the brain of suicide victims. In J Physiol Pharmacol on 2024 Jun by P Panczyszyn-Trzewik, P Misztak,et al..PMID: 39042386 , (2024),
PMID: 39042386

注释

应用

  • WB免疫印迹
  • IHC免疫组化
  • IF免疫荧光
  • ICC免疫细胞化学
  • FC流式细胞
  • IP免疫沉淀
  • E酶联免疫吸附法
  • DB免疫斑点法
  • ChIP染色质免疫沉淀
  • GICA胶体金免疫层析法
  • NC阴性对照

种属反应性

  • Hu
  • Ms小鼠
  • Rt大鼠
  • Dm果蝇
  • C线虫
  • Mk
  • Rb
  • B
  • D
  • P
  • Hm仓鼠
  • ChHm中国仓鼠
  • Chk
;

联系我们

Location :

南京市高新开发区星火路10号人才大厦C座

Phone :

400-9961-933
025-58868422

Email Address

info@sabbiotech.com