免费电话:400-9961-933
邮箱:info@sabbiotech.com
欢迎光临本站
川博智能体 English
位置: 首页 > 多克隆抗体 > GRIA1 Antibody

GRIA1 Antibody #32454

是否有货: 有货
产品详情

产品名称GRIA1 Antibody

来源种属Rabbit

克隆性Polyclonal

纯化Antibodies were purified by affinity purification using immunogen.

应用WB IHC IF

种属反应性Human;Mouse;Rat

特异性The antibody detects endogenous level of total GRIA1 protein.

免疫原类型Recombinant Protein

免疫原描述Recombinant protein of human GRIA1.

基因/蛋白名称GRIA1

标记Unconjugated

别名GLUH1; GLUR1; GLURA; GluA1; HBGR1

数据库入口号Swiss-Prot:P42261
NCBI Gene ID:2890

Uniprot P42261

实际分子量105KD

浓度1.0mg/ml

配方Supplied at 1.0mg/mL in phosphate buffered saline (without Mg2+ and Ca2+), pH 7.4, 150mM NaCl, 0.02% sodium azide and 50% glycerol.

保存Store at -20˚C

应用详情
Western blotting: 1:500 - 1:2000
Immunohistochemistry: 1:50 - 1:100
Immunofluorescence: 1:50 - 1:200
Western blot analysis of extracts of Rat brain cell line, using GRIA1 antibody.
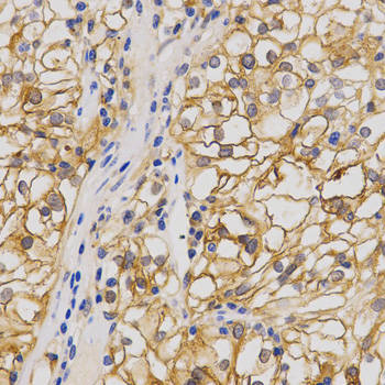
Immunohistochemistry of paraffin-embedded human stomach cancer using GRIA1 antibody at dilution of 1:200 (x400 lens)
Glutamate receptors are the predominant excitatory neurotransmitter receptors in the mammalian brain and are activated in a variety of normal neurophysiologic processes. These receptors are heteromeric protein complexes with multiple subunits, each possessing transmembrane regions, and all arranged to form a ligand-gated ion channel. The classification of glutamate receptors is based on their activation by different pharmacologic agonists. This gene belongs to a family of alpha-amino-3-hydroxy-5-methyl-4-isoxazole propionate (AMPA) receptors. Alternatively spliced transcript variants encoding different isoforms have been found for this gene.

如果您使用该产品32454发表了文章,请通知我们,让我们可以引用您的文献。

et al,The extracellular fragment of GPNMB (Glycoprotein nonmelanosoma protein B, osteoactivin) improves memory and increases hippocampal GluA1 levels in mice.In J Neurochem on 2015 Mar by Kenta Murata, Yuta Yoshino et al..PMID: 25545823 , (2015),
PMID: 25545823

注释

应用

  • WB免疫印迹
  • IHC免疫组化
  • IF免疫荧光
  • ICC免疫细胞化学
  • FC流式细胞
  • IP免疫沉淀
  • E酶联免疫吸附法
  • DB免疫斑点法
  • ChIP染色质免疫沉淀
  • GICA胶体金免疫层析法
  • NC阴性对照

种属反应性

  • Hu
  • Ms小鼠
  • Rt大鼠
  • Dm果蝇
  • C线虫
  • Mk
  • Rb
  • B
  • D
  • P
  • Hm仓鼠
  • ChHm中国仓鼠
  • Chk
;

联系我们

Location :

南京市高新开发区星火路10号人才大厦C座

Phone :

400-9961-933
025-58868422

Email Address

info@sabbiotech.com