免费电话:400-9961-933
邮箱:info@sabbiotech.com
欢迎光临本站
川博智能体 English
位置: 首页 > 多克隆抗体 > ARG1 Antibody

ARG1 Antibody #32468

是否有货: 有货
产品详情

产品名称ARG1 Antibody

来源种属Rabbit

克隆性Polyclonal

纯化Antibodies were purified by affinity purification using immunogen.

应用WB,IHC,IF

种属反应性Human;Mouse;Rat

特异性The antibody detects endogenous level of total ARG1 protein.

免疫原类型Recombinant Protein

免疫原描述Recombinant protein of human ARG1.

基因/蛋白名称ARG1

标记Unconjugated

别名ARG1; Arginase-1; Liver-typearginase; TypeIarginase;

数据库入口号Swiss-Prot:P05089
NCBI Gene ID:383

Uniprot P05089

实际分子量35KD

浓度1.0mg/ml

配方Supplied at 1.0mg/mL in phosphate buffered saline (without Mg2+ and Ca2+), pH 7.4, 150mM NaCl, 0.02% sodium azide and 50% glycerol.

保存Store at -20˚C

应用详情
WB 1:500 - 1:2000
IHC 1:50 - 1:200
IF 1:50 - 1:200
Immunofluorescence analysis of Rat liver using ARG1 / Arginase 1 antibody at dilution of 1:100. Blue: DAPI for nuclear staining.
Immunofluorescence analysis of Human liver using ARG1 / Arginase 1 antibody at dilution of 1:100. Blue: DAPI for nuclear staining.
Immunofluorescence analysis of Mouse liver using ARG1 / Arginase 1 antibody at dilution of 1:100. Blue: DAPI for nuclear staining.
Western blot analysis of extracts of various cell lines, using ARG1 / Arginase 1 antibody at 1:2000 dilution.
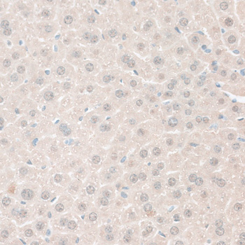
Immunohistochemistry of paraffin-embedded mouse liver using ARG1 / Arginase 1 antibody at dilution of 1:100 (40x lens).
Arginase catalyzes the hydrolysis of arginine to ornithine and urea. At least two isoforms of mammalian arginase exist (types I and II) which differ in their tissue distribution, subcellular localization, immunologic crossreactivity and physiologic function. The type I isoform encoded by this gene, is a cytosolic enzyme and expressed predominantly in the liver as a component of the urea cycle. Inherited deficiency of this enzyme results in argininemia, an autosomal recessive disorder characterized by hyperammonemia. Two transcript variants encoding different isoforms have been found for this gene.

如果您使用该产品32468发表了文章,请通知我们,让我们可以引用您的文献。

et al, Microbial metabolite butyrate facilitates M2 macrophage polarization and function.In Sci Rep on 2016 Apr 20 by Jian Ji , Dingming Shu et al ..PMID: 27094081 , (2016),
PMID: 27094081
et al,Adaptogenic flower buds exert cancer preventive effects by enhancing the SCFA-producers, strengthening the epithelial tight junction complex and immune responses. In Pharmacol Res on 2020 Sep by Wenrui Xia, Imran Khan, et al..PMID: 32502642 , (2020),
PMID: 32502642
et al,Identification of a Specific Phage as Growth Factor Alternative Promoting the Recruitment and Differentiation of MSCs in Bone Tissue Regeneration , (2023),
PMID:
et al,Multifunctional manganese-based nanogels catalyze immune energy metabolism to promote bone repair , (2025),
PMID:
et al,Fecal microbiota transplantation alleviates neuronal Apoptosis, necroptosis and reactive microglia activation after ischemic stroke. , (2025),
PMID: 39491609

注释

应用

  • WB免疫印迹
  • IHC免疫组化
  • IF免疫荧光
  • ICC免疫细胞化学
  • FC流式细胞
  • IP免疫沉淀
  • E酶联免疫吸附法
  • DB免疫斑点法
  • ChIP染色质免疫沉淀
  • GICA胶体金免疫层析法
  • NC阴性对照

种属反应性

  • Hu
  • Ms小鼠
  • Rt大鼠
  • Dm果蝇
  • C线虫
  • Mk
  • Rb
  • B
  • D
  • P
  • Hm仓鼠
  • ChHm中国仓鼠
  • Chk
;

联系我们

Location :

南京市高新开发区星火路10号人才大厦C座

Phone :

400-9961-933
025-58868422

Email Address

info@sabbiotech.com