免费电话:400-9961-933
邮箱:info@sabbiotech.com
欢迎光临本站
川博智能体 English
位置: 首页 > 多克隆抗体 > GPX4 Antibody

GPX4 Antibody #32506

是否有货: 有货
产品详情

产品名称GPX4 Antibody

来源种属Rabbit

克隆性Polyclonal

亚型IgG

纯化Affinity purification

应用WB,IHC,IF

种属反应性Human;Mouse;Rat

特异性The antibody detects endogenous level of total GPX4 protein.

免疫原类型Recombinant Protein

免疫原描述Recombinant fusion protein of human GPX4 (NP_002076.2).

基因/蛋白名称GPX4

标记Unconjugated

别名GPX4;GPx-4;GSHPx-4;MCSP;PHGPx;SMDS;snGPx;snPHGPx

数据库入口号Uniprot:P36969
GeneID:2879

Uniprot P36969

Gene ID 2879

实际分子量22KDa

浓度1.0mg/ml

配方PBS with 0.02% sodium azide,50% glycerol,pH7.3.

保存Store at -20˚C. Avoid freeze / thaw cycles.

应用详情
WB 1:500 - 1:2000
IHC 1:50 - 1:200
IF 1:50 - 1:200
Western blot analysis of extracts of various cell lines, using GPX4 antibody.
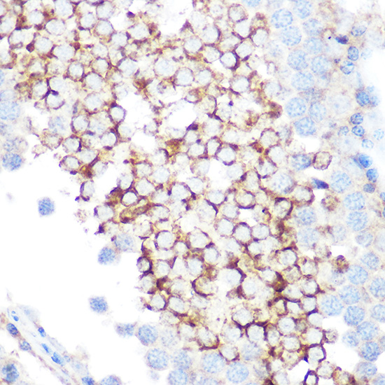
Immunohistochemistry of paraffin-embedded rat testis using GPX4 Rabbit pAb.
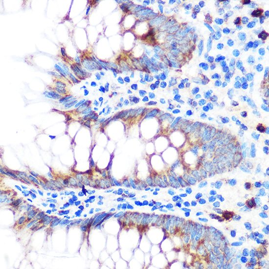
Immunohistochemistry of paraffin-embedded human appendix using GPX4 Rabbit pAb.
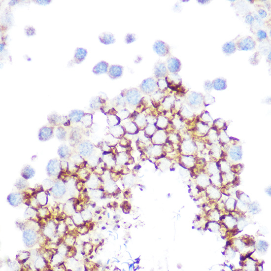
Immunohistochemistry of paraffin-embedded mouse testis using GPX4 Rabbit pAb.
Immunofluorescence analysis of C6 cells using GPX4 Rabbit pAb.
Immunofluorescence analysis of L929 cells using GPX4 Rabbit pAb.
The protein encoded by this gene belongs to the glutathione peroxidase family, members of which catalyze the reduction of hydrogen peroxide, organic hydroperoxides and lipid hydroperoxides, and thereby protect cells against oxidative damage. Several isozymes of this gene family exist in vertebrates, which vary in cellular location and substrate specificity. This isozyme has a high preference for lipid hydroperoxides and protects cells against membrane lipid peroxidation and cell death. It is also required for normal sperm development; thus, it has been identified as a 'moonlighting' protein because of its ability to serve dual functions as a peroxidase, as well as a structural protein in mature spermatozoa. Mutations in this gene are associated with Sedaghatian type of spondylometaphyseal dysplasia (SMDS). This isozyme is also a selenoprotein, containing the rare amino acid selenocysteine (Sec) at its active site. Sec is encoded by the UGA codon, which normally signals translation termination. The 3' UTRs of selenoprotein mRNAs contain a conserved stem-loop structure, designated the Sec insertion sequence (SECIS) element, that is necessary for the recognition of UGA as a Sec codon, rather than as a stop signal. Alternatively spliced transcript variants have been found for this gene.

如果您使用该产品32506发表了文章,请通知我们,让我们可以引用您的文献。

et al,Heparanase-driven sequential released nanoparticles for ferroptosis and tumor microenvironment modulations synergism in breast cancer therapy. In Biomaterials on 2021 Jan by Jun Zhang, Jie Yang, et al..PMID:33035717 , (2021),
PMID: 33035717
et al,c-Myc protects hepatocellular carcinoma cell from ferroptosis induced by glutamine deprivation via upregulating GOT1 and Nrf2InMol Biol RepOn2023 AugbyYuxiang Zhao?1,?Yue Wang et al..PMID:?37358765 , (2023),
PMID: 37358765
et al,Gingerenone A induces ferroptosis in colorectal cancer via targeting suppression of SLC7A11 signaling pathway. In Biomed Pharmacother on 2024 Nov by Hongyu Xiao, Chen Chen, et al..PMID: 39393329 , (2024),
PMID: 39393329
et al,Classical prescription Daqinjiao decoction inhibit cerebral ischemia/reperfusion induced necroptosis and ferroptosis through multiple mechanisms. , (2025),
PMID: 39736347
et al,Dictamnine alleviates DSS-induced colitis mice by inhibiting ferroptosis of enterocytes via activating Nrf2-Gpx4 signaling pathway. , (2025),
PMID: 40049578
et al,Hsa_circ_0001944 Regulates FXR/TLR4 Pathway and Ferroptosis to Alleviate Nickel Oxide Nanoparticles-Induced Collagen Formation in LX-2 Cells , (2025),
PMID: 40278581
et al,Artemisinin inhibits neuronal ferroptosis in Alzheimer's disease models by targeting KEAP1 , (2025),
PMID: 39251858

注释

应用

  • WB免疫印迹
  • IHC免疫组化
  • IF免疫荧光
  • ICC免疫细胞化学
  • FC流式细胞
  • IP免疫沉淀
  • E酶联免疫吸附法
  • DB免疫斑点法
  • ChIP染色质免疫沉淀
  • GICA胶体金免疫层析法
  • NC阴性对照

种属反应性

  • Hu
  • Ms小鼠
  • Rt大鼠
  • Dm果蝇
  • C线虫
  • Mk
  • Rb
  • B
  • D
  • P
  • Hm仓鼠
  • ChHm中国仓鼠
  • Chk
;

联系我们

Location :

南京市高新开发区星火路10号人才大厦C座

Phone :

400-9961-933
025-58868422

Email Address

info@sabbiotech.com