免费电话:400-9961-933
邮箱:info@sabbiotech.com
欢迎光临本站
川博智能体 English
位置: 首页 > 多克隆抗体 > ANGPTL4 Antibody

ANGPTL4 Antibody #32550

是否有货: 有货
产品详情

产品名称ANGPTL4 Antibody

来源种属Rabbit

克隆性Polyclonal

亚型IgG

纯化The antibody was affinity-purified from rabbit antiserum by affinity-chromatography using epitope-specific immunogen.

应用WB,IHC,IF

种属反应性Human;Mouse;Rat

特异性The antibody detects endogenous level of total ANGPTL4 protein.

免疫原类型Peptide

免疫原描述The antiserum was produced against synthesized peptide derived from the Internal region of human ANGPTL4.

基因/蛋白名称ANGPTL4

标记Unconjugated

别名ANGPTL4;ARP4;FIAF;HARP;HFARP;NL2;PGAR;TGQTL;UNQ171;pp1158

数据库入口号Uniprot:Q9BY76
GeneID:51129

Uniprot Q9BY76

Gene ID 51129

实际分子量45KDa

浓度1.0mg/ml

配方Liquid in PBS containing 50% glycerol, 0.5% BSA and 0.02% sodium azide.

保存Store at -20˚C. Avoid freeze / thaw cycles.

应用详情

WB 1:500 - 1:2000
IHC 1:50 - 1:200
IF 1:50 - 1:200

Western blot analysis of lysate from MCF7 cells, using ANGPTL4 Antibody.
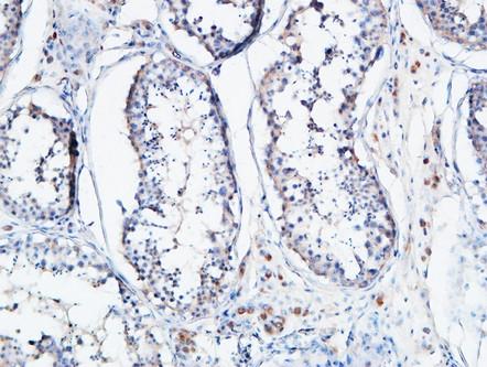
Immunohistochemical analysis of paraffin-embedded Human testis. 1, Antibody was diluted at 1:100(4° overnight). 2, High-pressure and temperature EDTA, pH8.0 was used for antigen retrieval. 3,Secondary antibody was diluted at 1:200(room temperature, 30min).

This gene encodes a glycosylated, secreted protein containing a C-terminal fibrinogen domain. The encoded protein is induced by peroxisome proliferation activators and functions as a serum hormone that regulates glucose homeostasis, lipid metabolism, and insulin sensitivity. This protein can also act as an apoptosis survival factor for vascular endothelial cells and can prevent metastasis by inhibiting vascular growth and tumor cell invasion. The C-terminal domain may be proteolytically-cleaved from the full-length secreted protein. Decreased expression of this gene has been associated with type 2 diabetes. Alternative splicing results in multiple transcript variants. This gene was previously referred to as ANGPTL2 but has been renamed ANGPTL4.

如果您使用该产品32550发表了文章,请通知我们,让我们可以引用您的文献。

et al,Ischemic Stroke Risk Associated with Mitochondrial Haplogroup F in the Asian Population. In Cells on 2020 Aug 11 by Meng-Han Tsai, Chung-Wen Kuo, et al..PMID: 32796743 , (2020),
PMID: 32796743

注释

应用

  • WB免疫印迹
  • IHC免疫组化
  • IF免疫荧光
  • ICC免疫细胞化学
  • FC流式细胞
  • IP免疫沉淀
  • E酶联免疫吸附法
  • DB免疫斑点法
  • ChIP染色质免疫沉淀
  • GICA胶体金免疫层析法
  • NC阴性对照

种属反应性

  • Hu
  • Ms小鼠
  • Rt大鼠
  • Dm果蝇
  • C线虫
  • Mk
  • Rb
  • B
  • D
  • P
  • Hm仓鼠
  • ChHm中国仓鼠
  • Chk
;

联系我们

Location :

南京市高新开发区星火路10号人才大厦C座

Phone :

400-9961-933
025-58868422

Email Address

info@sabbiotech.com