免费电话:400-9961-933
邮箱:info@sabbiotech.com
欢迎光临本站
川博智能体 English
位置: 首页 > 多克隆抗体 > FGFR2 Antibody

FGFR2 Antibody #32586

是否有货: 有货
产品详情

产品名称FGFR2 Antibody

来源种属Rabbit

克隆性Polyclonal

纯化Antibodies were purified by affinity purification using immunogen.

应用IHC

种属反应性Human;Mouse;Rat

特异性The antibody detects endogenous level of total FGFR2 protein.

免疫原类型Peptide

免疫原描述A synthetic peptide of human FGFR2.

基因/蛋白名称FGFR2

标记Unconjugated

别名BEK; BFR-1; CD332; CEK3; CFD1

数据库入口号Swiss-Prot:P21802
NCBI Gene ID:2263

Uniprot P21802

实际分子量79KD

浓度1.0mg/ml

配方Supplied at 1.0mg/mL in phosphate buffered saline (without Mg2+ and Ca2+), pH 7.4, 150mM NaCl, 0.02% sodium azide and 50% glycerol.

保存Store at -20˚C

应用详情
IHC 1:50 - 1:200
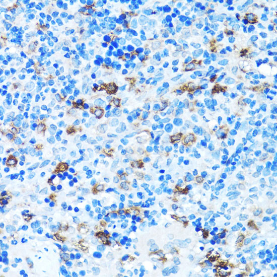
Immunohistochemistry of paraffin-embedded rat spleen using FGFR2 antibody at dilution of 1:100 (40x lens).
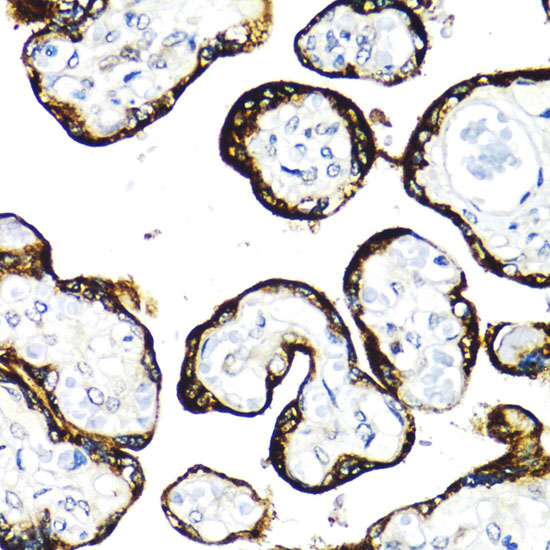
Immunohistochemistry of paraffin-embedded human placenta using FGFR2 antibody at dilution of 1:100 (40x lens).
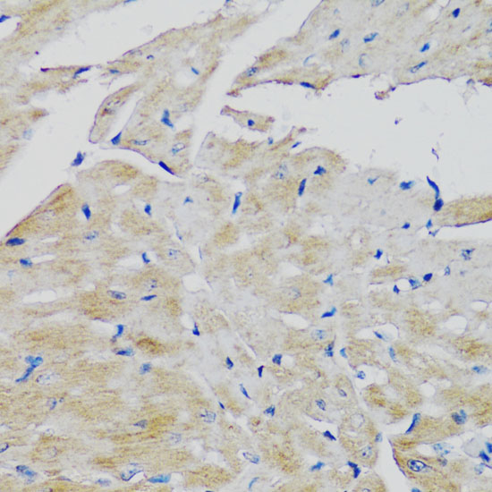
Immunohistochemistry of paraffin-embedded mouse heart using FGFR2 antibody at dilution of 1:100 (40x lens).
Fibroblast growth factors (FGFs) produce mitogenic and angiogenic effects in target cells by signaling through cell surface receptor tyrosine kinases. There are four members of the FGF receptor family: FGFR1 (flg), FGFR2 (bek, KGFR), FGFR3, and FGFR4. Each receptor contains an extracellular ligand binding domain, a transmembrane domain, and a cytoplasmic kinase domain (1). Following ligand binding and dimerization, the receptors are phosphorylated at specific tyrosine residues (2). Seven tyrosine residues in the cytoplasmic tail of FGFR1 can be phosphorylated: Tyr463, 583, 585, 653, 654, 730, and 766. Tyr653 and Tyr654 are important for catalytic activity of activated FGFR and are essential for signaling (3). The other phosphorylated tyrosine residues may provide docking sites for downstream signaling components such as Crk and PLCγ (4,5).

如果您使用该产品32586发表了文章,请通知我们,让我们可以引用您的文献。

et al,Paraneoplastic leukocytosis induces NETosis and thrombosis in bladder cancer PDX model. In Am J Cancer Res on 2024 Aug 25 by Yung-Chia Kuo, Chen-Yang Huang,et al..PMID:39267669 , (2024),
PMID: 39267669
et al,A Patient-Derived Orthotopic Xenograft Model of Gastroesophageal-Junction Adenocarcinoma Translated to the Clinic by Tumor-Targeting Fluorescent Antibodies to Carcinoembryonic-Antigen-Related Cell-Adhesion Molecules , (2021),
PMID: 34182469

注释

应用

  • WB免疫印迹
  • IHC免疫组化
  • IF免疫荧光
  • ICC免疫细胞化学
  • FC流式细胞
  • IP免疫沉淀
  • E酶联免疫吸附法
  • DB免疫斑点法
  • ChIP染色质免疫沉淀
  • GICA胶体金免疫层析法
  • NC阴性对照

种属反应性

  • Hu
  • Ms小鼠
  • Rt大鼠
  • Dm果蝇
  • C线虫
  • Mk
  • Rb
  • B
  • D
  • P
  • Hm仓鼠
  • ChHm中国仓鼠
  • Chk
;

联系我们

Location :

南京市高新开发区星火路10号人才大厦C座

Phone :

400-9961-933
025-58868422

Email Address

info@sabbiotech.com