免费电话:400-9961-933
邮箱:info@sabbiotech.com
欢迎光临本站
川博智能体 English
位置: 首页 > 多克隆抗体 > NGFR Antibody

NGFR Antibody #32596

是否有货: 有货
产品详情

产品名称NGFR Antibody

来源种属Rabbit

克隆性Polyclonal

纯化Antibodies were purified by affinity purification using immunogen.

应用WB

种属反应性Human;Mouse;Rat

特异性The antibody detects endogenous level of total NGFR protein.

免疫原类型Peptide

免疫原描述A synthetic peptide of human NGFR.

基因/蛋白名称NGFR

标记Unconjugated

别名CD271; Gp80-LNGFR; TNFRSF16; p75(NTR); p75NTR

数据库入口号Swiss-Prot:P08138
NCBI Gene ID:4804

Uniprot P08138

实际分子量45KD

浓度1.0mg/ml

配方Supplied at 1.0mg/mL in phosphate buffered saline (without Mg2+ and Ca2+), pH 7.4, 150mM NaCl, 0.02% sodium azide and 50% glycerol.

保存Store at -20˚C

应用详情
WB 1:500 - 1:2000
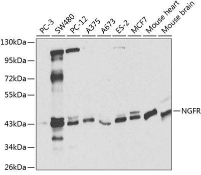
Western blot analysis of extracts of various cell lines, using NGFR antibody at 1:1000 dilution.
The p75 neurotrophin receptor (p75NTR), a member of the TNF receptor superfamily, is distinguished by multiple cysteine-rich ligand-binding domains, a single transmembrane sequence and a noncatalytic cytoplasmic domain (1). p75NTR displays paradoxical functions when acting alone or with other receptor proteins. Working in concert with Trk receptors, p75NTR recognizes neurotrophins and transmits trophic signals into the cell. Both p75NTR and TrkA are required to activate PI3K-Akt signaling, while TrkA can individually activate the MAP kinase pathway. In contrast, p75NTR, possibly through JNK, ensures appropriate apoptosis of injured neurons and improperly targeted neonatal neurons (2).The p75NTR protein undergoes sequential cleavage similar to APP and Notch. First, α-secretase removes the p75NTR ectodomain, eliminating ligand-mediated signaling. At this point, the membrane-tethered cleavage product can still fine-tune Trk-mediated trophic actions. γ-secretase cleaves within the transmembrane domain to liberate the cytoplasmic tail from its membrane anchor and allow the p75NTR intracellular domain to translocate to the nucleus (3,4).

如果您使用该产品32596发表了文章,请通知我们,让我们可以引用您的文献。

et al,Downregulation of KCTD12 contributes to melanoma stemness by modulatIng CD271. In Cancer Biol Med on 2019 Aug by Shen W, Li Y,et al..PMID:31565480 , (2019),
PMID: 31565480

注释

应用

  • WB免疫印迹
  • IHC免疫组化
  • IF免疫荧光
  • ICC免疫细胞化学
  • FC流式细胞
  • IP免疫沉淀
  • E酶联免疫吸附法
  • DB免疫斑点法
  • ChIP染色质免疫沉淀
  • GICA胶体金免疫层析法
  • NC阴性对照

种属反应性

  • Hu
  • Ms小鼠
  • Rt大鼠
  • Dm果蝇
  • C线虫
  • Mk
  • Rb
  • B
  • D
  • P
  • Hm仓鼠
  • ChHm中国仓鼠
  • Chk
;

联系我们

Location :

南京市高新开发区星火路10号人才大厦C座

Phone :

400-9961-933
025-58868422

Email Address

info@sabbiotech.com