免费电话:400-9961-933
邮箱:info@sabbiotech.com
欢迎光临本站
川博智能体 English
位置: 首页 > 多克隆抗体 > ACP5 Antibody

ACP5 Antibody #32694

是否有货: 有货
产品详情

产品名称ACP5 Antibody

来源种属Rabbit

克隆性Polyclonal

纯化Antibodies were purified by affinity purification using immunogen.

应用WB,IF,IHC

种属反应性Human;Mouse;Rat

特异性The antibody detects endogenous level of total ACP5 protein.

免疫原类型Recombinant Protein

免疫原描述Recombinant protein of human ACP5.

基因/蛋白名称ACP5

标记Unconjugated

别名TRAP; SPENCDI;

数据库入口号Swiss-Prot:P13686
NCBI Gene ID:54

Uniprot P13686

实际分子量36KD

浓度1.0mg/ml

配方Supplied at 1.0mg/mL in phosphate buffered saline (without Mg2+ and Ca2+), pH 7.4, 150mM NaCl, 0.02% sodium azide and 50% glycerol.

保存Store at -20˚C

应用详情

WB 1:500 - 1:2000
IF 1:50 - 1:200

IHC   1:50 - 1:200

Immunofluorescence analysis of U2OS cells using ACP5 antibody. Blue: DAPI for nuclear staining.
Western blot analysis of extracts of various cell lines, using ACP5 antibody at 1:200 dilution.
Western blot analysis of extracts of mouse kidney, using ACP5 antibody at 1:1000 dilution.
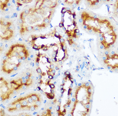
Immunohistochemistry of paraffin-embedded Rat kidney using ACP5 antibody at dilution of 1:100 (40x lens).

This gene encodes an iron containing glycoprotein which catalyzes the conversion of orthophosphoric monoester to alcohol and orthophosphate. It is the most basic of the acid phosphatases and is the only form not inhibited by L(+)-tartrate.

如果您使用该产品32694发表了文章,请通知我们,让我们可以引用您的文献。

et al,Targeting actin-bundling protein L-plastin as an anabolic therapy for bone loss. In Sci Adv on 2020 Nov 18 by Xiaoqun Li, Lipeng Wang, et al..PMID:33208358 , (2020),
PMID: 33208358

注释

应用

  • WB免疫印迹
  • IHC免疫组化
  • IF免疫荧光
  • ICC免疫细胞化学
  • FC流式细胞
  • IP免疫沉淀
  • E酶联免疫吸附法
  • DB免疫斑点法
  • ChIP染色质免疫沉淀
  • GICA胶体金免疫层析法
  • NC阴性对照

种属反应性

  • Hu
  • Ms小鼠
  • Rt大鼠
  • Dm果蝇
  • C线虫
  • Mk
  • Rb
  • B
  • D
  • P
  • Hm仓鼠
  • ChHm中国仓鼠
  • Chk
;

联系我们

Location :

南京市高新开发区星火路10号人才大厦C座

Phone :

400-9961-933
025-58868422

Email Address

info@sabbiotech.com