免费电话:400-9961-933
邮箱:info@sabbiotech.com
欢迎光临本站
川博智能体 English
位置: 首页 > 多克隆抗体 > p65 Antibody

p65 Antibody #32705

是否有货: 有货
产品详情

产品名称p65 Antibody

来源种属Rabbit

克隆性Polyclonal

纯化Antibodies were purified by affinity purification using immunogen.

应用WB;IHC;IF

种属反应性Human;Mouse;Rat

特异性The antibody detects endogenous level of total p65 protein.

免疫原类型Recombinant Protein

免疫原描述Recombinant protein of human p65.

基因/蛋白名称p65

标记Unconjugated

别名RELA; MGC131774; NFKB3; p65;

数据库入口号Swiss-Prot:Q04206
NCBI Gene ID:5970

Uniprot Q04206

实际分子量65KD

浓度1.0mg/ml

配方Supplied at 1.0mg/mL in phosphate buffered saline (without Mg2+ and Ca2+), pH 7.4, 150mM NaCl, 0.02% sodium azide and 50% glycerol.

保存Store at -20˚C

应用详情
Western blotting: 1:500 - 1:2000
Immunohistochemistry: 1:50 - 1:200
Immunofluorescence: 1:50 - 1:200
Western blot analysis of extracts from Jurkat cells using NFkB-p65 antibody.
Western blot analysis of lysates from various cell lines using NFkB-p65 Antibody.

Lane1: Jurkat

Lane2: BT-474

Lane3: Mouse lung

Lane 4: Mouse liver

Lane5: Rat lung



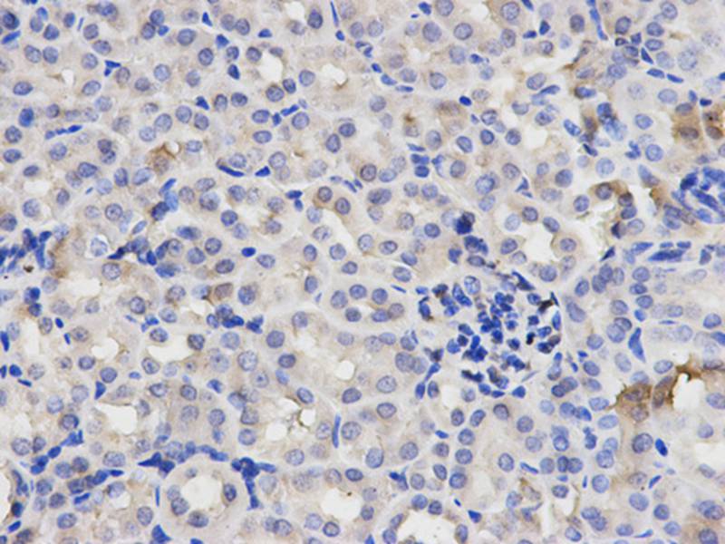
Immunohistochemical analysis of paraffin-embedded rat kidney using RELA antibody at dilution of 1:200 (400x lens).
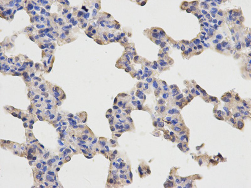
Immunohistochemical analysis of paraffin-embedded rat lung using RELA antibody at dilution of 1:200 (400x lens).
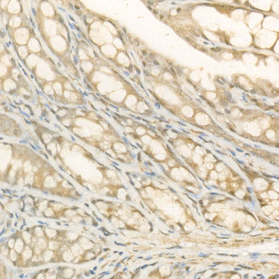
Immunohistochemistry analysis of paraffin-embedded Human colon using p65 Rabbit pAb at dilution of 1:200 (40x lens).
Immunohistochemistry analysis of paraffin-embedded Mouse colon using p65 Rabbit pAb at dilution of 1:300 (40x lens).
Immunofluorescence analysis of U2OS cell using P65 antibody. Blue: DAPI for nuclear staining.
Immunofluorescence analysis of HepG2 cells using p65 Rabbit pAb at dilution of 1:200 (40x lens).
Immunofluorescence analysis of NIH/3T3 cells using p65 Rabbit pAb at dilution of 1:200 (40x lens).
Transcription factors of the nuclear factor κ B (NF-κB)/Rel family play a pivotal role in inflammatory and immune responses (1,2). There are five family members in mammals: RelA, c-Rel, RelB, NF-κB1 (p105/p50), and NF-κB2 (p100/p52). Both p105 and p100 are proteolytically processed by the proteasome to produce p50 and p52, respectively. Rel proteins bind p50 and p52 to form dimeric complexes that bind DNA and regulate transcription. In unstimulated cells, NF-κB is sequestered in the cytoplasm by IκB inhibitory proteins (3-5). NF-κB-activating agents can induce the phosphorylation of IκB proteins, targeting them for rapid degradation through the ubiquitin-proteasome pathway and releasing NF-κB to enter the nucleus where it regulates gene expression (6-8). NIK and IKKα (IKK1) regulate the phosphorylation and processing of NF-κB2 (p100) to produce p52, which is then translocated to the nucleus (9-11). NF-κB assembly with IκB, as well as its DNA binding and transcriptional activity, are regulated by p300/CBP acetytransferases that principally target Lys218, Lys221 and Lys310 (12-14). This process is reciprocally regulated by histone deacetylases (HDACs); several HDAC inhibitors have been shown to activate NF-κB (12-14).

如果您使用该产品32705发表了文章,请通知我们,让我们可以引用您的文献。

et al,Di-Ras2 promotes renal cell carcinoma formation by activating the mitogen-activated protein kinase pathway in the absence of von Hippel-Lindau protein.In Oncogene. 2020 May;39 by Rao H, Li X,et al..PMID: 32161311 , (2020),
PMID: 32161311
et al,Exploring the Mechanism of Dangguiliuhuang Decoction Against Hepatic Fibrosis by Network Pharmacology and Experimental Validation.In Front Pharmacol.On 2018 Mar 5 by Cao H, Li S et al..PMID:29556199 , (2018),
PMID: 29556199

注释

应用

  • WB免疫印迹
  • IHC免疫组化
  • IF免疫荧光
  • ICC免疫细胞化学
  • FC流式细胞
  • IP免疫沉淀
  • E酶联免疫吸附法
  • DB免疫斑点法
  • ChIP染色质免疫沉淀
  • GICA胶体金免疫层析法
  • NC阴性对照

种属反应性

  • Hu
  • Ms小鼠
  • Rt大鼠
  • Dm果蝇
  • C线虫
  • Mk
  • Rb
  • B
  • D
  • P
  • Hm仓鼠
  • ChHm中国仓鼠
  • Chk
;

联系我们

Location :

南京市高新开发区星火路10号人才大厦C座

Phone :

400-9961-933
025-58868422

Email Address

info@sabbiotech.com