免费电话:400-9961-933
邮箱:info@sabbiotech.com
欢迎光临本站
川博智能体 English
位置: 首页 > 多克隆抗体 > TXNRD2 Antibody

TXNRD2 Antibody #32885

是否有货: 有货
产品详情

产品名称TXNRD2 Antibody

来源种属Rabbit

克隆性Polyclonal

亚型IgG

纯化Affinity purification

应用WB,IHC,IF

种属反应性Human;Mouse

特异性The antibody detects endogenous level of total TXNRD2 protein.

免疫原类型Recombinant Protein

免疫原描述Recombinant fusion protein of human Thioredoxin reductase 2 (Thioredoxin reductase 2 (TXNRD2 ) ) (NP_006431.2).

基因/蛋白名称TXNRD2

标记Unconjugated

别名TXNRD2;SELZ;TR;TR-BETA;TR3;TRXR2

数据库入口号Uniprot:Q9NNW7
GeneID:10587

Uniprot Q9NNW7

Gene ID 10587

实际分子量56kDa

浓度1.0mg/ml

配方PBS with 0.02% sodium azide,50% glycerol,pH7.3.

保存Store at -20˚C. Avoid freeze / thaw cycles.

应用详情
WB 1:500 - 1:2000
IHC 1:50 - 1:200
IF 1:50 - 1:200
Western blot analysis of extracts of various cell lines, using Thioredoxin reductase 2 (Thioredoxin reductase 2 (TXNRD2 ) ) antibody.
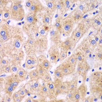
Immunohistochemistry of paraffin-embedded human liver damage using Thioredoxin reductase 2 (Thioredoxin reductase 2 (TXNRD2 ) ) antibody.
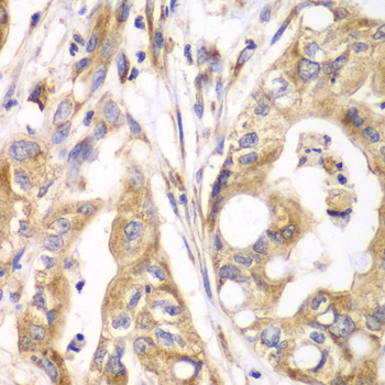
Immunohistochemistry of paraffin-embedded human liver cancer using Thioredoxin reductase 2 (Thioredoxin reductase 2 (TXNRD2 ) ) antibody.
Immunofluorescence analysis of U2OS cells using Thioredoxin reductase 2 (TXNRD2 ) antibody.
Immunofluorescence analysis of L929 cells using Thioredoxin reductase 2 (TXNRD2 ) antibody.
The protein encoded by this gene belongs to the pyridine nucleotide-disulfide oxidoreductase family, and is a member of the thioredoxin (Trx) system. Three thioredoxin reductase (TrxR) isozymes are found in mammals. TrxRs are selenocysteine-containing flavoenzymes, which reduce thioredoxins, as well as other substrates, and play a key role in redox homoeostasis. This gene encodes a mitochondrial form important for scavenging reactive oxygen species in mitochondria. It functions as a homodimer containing FAD, and selenocysteine (Sec) at the active site. Sec is encoded by UGA codon that normally signals translation termination. The 3' UTRs of selenoprotein mRNAs contain a conserved stem-loop structure, the Sec insertion sequence (SECIS) element, which is necessary for the recognition of UGA as a Sec codon rather than as a stop signal. Alternatively spliced transcript variants encoding different isoforms, including a few localized in the cytosol and some lacking the C-terminal Sec residue, have been found for this gene.

如果您使用该产品32885发表了文章,请通知我们,让我们可以引用您的文献。

et al,The effect of exposure time and concentration of airborne PM2.5 on lung Injury In mice: A transcriptome analysis. In Redox Biol on 2019 Sep by Wang H, Shen X et al..PMID:31279222 , (2019),
PMID: 31279222

注释

应用

  • WB免疫印迹
  • IHC免疫组化
  • IF免疫荧光
  • ICC免疫细胞化学
  • FC流式细胞
  • IP免疫沉淀
  • E酶联免疫吸附法
  • DB免疫斑点法
  • ChIP染色质免疫沉淀
  • GICA胶体金免疫层析法
  • NC阴性对照

种属反应性

  • Hu
  • Ms小鼠
  • Rt大鼠
  • Dm果蝇
  • C线虫
  • Mk
  • Rb
  • B
  • D
  • P
  • Hm仓鼠
  • ChHm中国仓鼠
  • Chk
;

联系我们

Location :

南京市高新开发区星火路10号人才大厦C座

Phone :

400-9961-933
025-58868422

Email Address

info@sabbiotech.com