免费电话:400-9961-933
邮箱:info@sabbiotech.com
欢迎光临本站
川博智能体 English
位置: 首页 > 多克隆抗体 > ASNS Antibody

ASNS Antibody #32909

是否有货: 有货
产品详情

产品名称ASNS Antibody

来源种属Rabbit

克隆性Polyclonal

亚型IgG

纯化Affinity purification

应用WB,IHC

种属反应性Human;Mouse;Rat

特异性The antibody detects endogenous level of total ASNS protein.

免疫原类型Recombinant Protein

免疫原描述Recombinant fusion protein of human ASNS (NP_001664.3).

基因/蛋白名称ASNS

标记Unconjugated

别名ASNS;ASNSD;TS11

数据库入口号Uniprot:P08243
GeneID:440

Uniprot P08243

Gene ID 440

实际分子量55, 64kDa

浓度1.0mg/ml

配方PBS with 0.02% sodium azide,50% glycerol,pH7.3.

保存Store at -20˚C. Avoid freeze / thaw cycles.

应用详情
WB 1:500 - 1:2000
IHC 1:100 - 1:200
Western blot analysis of extracts of various cell lines, using ASNS antibody.
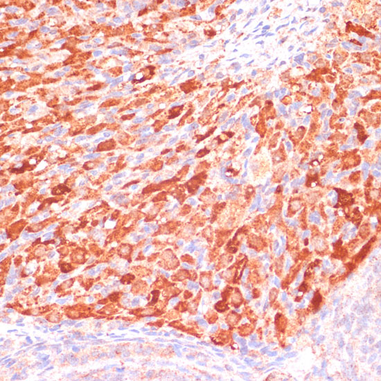
Immunohistochemistry of paraffin-embedded rat ovary using ASNS antibody.
The protein encoded by this gene is involved in the synthesis of asparagine. This gene complements a mutation in the temperature-sensitive hamster mutant ts11, which blocks progression through the G1 phase of the cell cycle at nonpermissive temperature. Alternatively spliced transcript variants have been described for this gene.

如果您使用该产品32909发表了文章,请通知我们,让我们可以引用您的文献。

et al,Decrease of Intracellular Glutamine by STF-62247 Results in the Accumulation of Lipid Droplets in von Hippel-Lindau Deficient Cells. In Front Oncol on 2022 Feb 9 by Mathieu Johnson, Sarah Nowlan, et al..PMID:35223522 , (2022),
PMID: 35223522

注释

应用

  • WB免疫印迹
  • IHC免疫组化
  • IF免疫荧光
  • ICC免疫细胞化学
  • FC流式细胞
  • IP免疫沉淀
  • E酶联免疫吸附法
  • DB免疫斑点法
  • ChIP染色质免疫沉淀
  • GICA胶体金免疫层析法
  • NC阴性对照

种属反应性

  • Hu
  • Ms小鼠
  • Rt大鼠
  • Dm果蝇
  • C线虫
  • Mk
  • Rb
  • B
  • D
  • P
  • Hm仓鼠
  • ChHm中国仓鼠
  • Chk
;

联系我们

Location :

南京市高新开发区星火路10号人才大厦C座

Phone :

400-9961-933
025-58868422

Email Address

info@sabbiotech.com