免费电话:400-9961-933
邮箱:info@sabbiotech.com
欢迎光临本站
川博智能体 English
位置: 首页 > 多克隆抗体 > ICAM1 Antibody

ICAM1 Antibody #32918

是否有货: 有货
产品详情

产品名称ICAM1 Antibody

来源种属Rabbit

克隆性Polyclonal

亚型IgG

纯化Affinity purification

应用WB,IHC,IF

种属反应性Human;Mouse;Rat

特异性The antibody detects endogenous level of total ICAM1 protein.

免疫原类型Recombinant Protein

免疫原描述Recombinant fusion protein of human ICAM-1/CD54 (NP_000192.2).

基因/蛋白名称ICAM1

标记Unconjugated

别名BB2;CD54;P3.58;ICAM1

数据库入口号Uniprot:P05362
GeneID:3383

Uniprot P05362

Gene ID 3383

实际分子量89KDa/92KDa

浓度1.0mg/ml

配方PBS with 0.02% sodium azide,50% glycerol,pH7.3.

保存Store at -20˚C. Avoid freeze / thaw cycles.

应用详情
WB 1:500 - 1:2000
IHC 1:50 - 1:200
IF 1:50 - 1:200
Western blot analysis of extracts of A-549 cells, using ICAM-1/CD54 antibody.
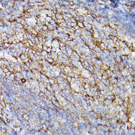
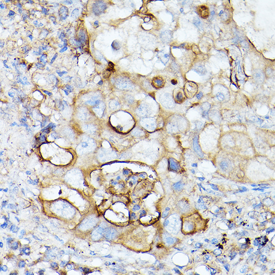
Immunohistochemistry of paraffin-embedded human gastric cancer using ICAM-1/CD54 Rabbit pAb.
Immunohistochemistry of paraffin-embedded human lung cancer using ICAM-1/CD54 Rabbit pAb.
Immunohistochemistry of paraffin-embedded human tonsil using ICAM-1/CD54 Rabbit pAb.
Immunofluorescence analysis of L929 cells using ICAM-1/CD54 Rabbit pAb.
This gene encodes a cell surface glycoprotein which is typically expressed on endothelial cells and cells of the immune system. It binds to integrins of type CD11a / CD18, or CD11b / CD18 and is also exploited by Rhinovirus as a receptor.

如果您使用该产品32918发表了文章,请通知我们,让我们可以引用您的文献。

et al,Differential vesicular distribution and trafficking of MMP锟?, MMP锟?, and their inhibitors in astrocytes. In Glia on 2010 Feb by Oualid Sbai, Adlane Ould-Yahoui, et al..PMID:19780201 , (2010),
PMID: 19780201

注释

应用

  • WB免疫印迹
  • IHC免疫组化
  • IF免疫荧光
  • ICC免疫细胞化学
  • FC流式细胞
  • IP免疫沉淀
  • E酶联免疫吸附法
  • DB免疫斑点法
  • ChIP染色质免疫沉淀
  • GICA胶体金免疫层析法
  • NC阴性对照

种属反应性

  • Hu
  • Ms小鼠
  • Rt大鼠
  • Dm果蝇
  • C线虫
  • Mk
  • Rb
  • B
  • D
  • P
  • Hm仓鼠
  • ChHm中国仓鼠
  • Chk
;

联系我们

Location :

南京市高新开发区星火路10号人才大厦C座

Phone :

400-9961-933
025-58868422

Email Address

info@sabbiotech.com