免费电话:400-9961-933
邮箱:info@sabbiotech.com
欢迎光临本站
川博智能体 English
位置: 首页 > 多克隆抗体 > ECE1 Antibody

ECE1 Antibody #32939

是否有货: 有货
产品详情

产品名称ECE1 Antibody

来源种属Rabbit

克隆性Polyclonal

纯化Antibodies were purified by affinity purification using immunogen.

应用WB,IHC,IF

种属反应性Human;Mouse;Rat

特异性The antibody detects endogenous level of total ECE1 protein.

免疫原类型Recombinant Protein

免疫原描述Recombinant protein of human ECE1.

基因/蛋白名称ECE1

标记Unconjugated

别名ECE;

数据库入口号Swiss-Prot:P42892
NCBI Gene ID:1889

Uniprot P42892

实际分子量87KD

浓度1.0mg/ml

配方Supplied at 1.0mg/mL in phosphate buffered saline (without Mg2+ and Ca2+), pH 7.4, 150mM NaCl, 0.02% sodium azide and 50% glycerol.

保存Store at -20˚C

应用详情
WB 1:500 - 1:2000
IHC 1:50 - 1:100
IF 1:50 - 1:100
Western blot analysis of extracts of mouse liver, using ECE1 antibody at 1:1000 dilution.
Immunofluorescence analysis of L929 cells using ECE1 Polyclonal antibody at dilution of 1:100 (40x lens). Blue: DAPI for nuclear staining.
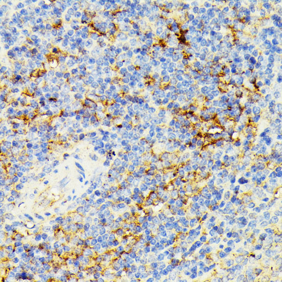
Immunohistochemistry of paraffin-embedded rat spleen using ECE1 antibody at dilution of 1:100 (40x lens).
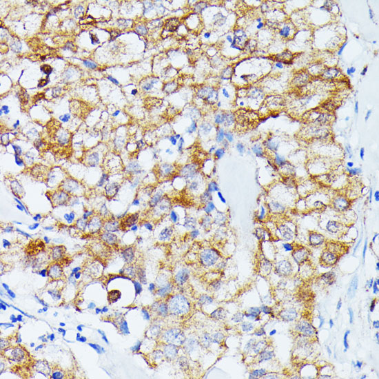
Immunohistochemistry of paraffin-embedded human mammary cancer using ECE1 antibody at dilution of 1:100 (40x lens).
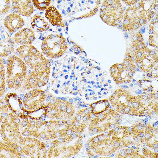
Immunohistochemistry of paraffin-embedded mouse kidney using ECE1 antibody at dilution of 1:100 (40x lens).
The protein encoded by this gene is involved in proteolytic processing of endothelin precursors to biologically active peptides. Mutations in this gene are associated with Hirschsprung disease, cardiac defects and autonomic dysfunction. Alternatively spliced transcript variants encoding different isoforms have been noted for this gene.

如果您使用该产品32939发表了文章,请通知我们,让我们可以引用您的文献。

et al,Phenylethanol Glycosides Protect Myocardial Hypertrophy Induced by Abdominal Aortic Constriction via ECE-1 Demethylation Inhibition and PI3K/PKB/eNOS Pathway Enhancement. In Evid Based Complement Alternat Med on 2020 Jun 9 by Qiong-Ling Fan, Jia-Wei Wang, et al..PMID:32595726 , (2020),
PMID: 32595726

注释

应用

  • WB免疫印迹
  • IHC免疫组化
  • IF免疫荧光
  • ICC免疫细胞化学
  • FC流式细胞
  • IP免疫沉淀
  • E酶联免疫吸附法
  • DB免疫斑点法
  • ChIP染色质免疫沉淀
  • GICA胶体金免疫层析法
  • NC阴性对照

种属反应性

  • Hu
  • Ms小鼠
  • Rt大鼠
  • Dm果蝇
  • C线虫
  • Mk
  • Rb
  • B
  • D
  • P
  • Hm仓鼠
  • ChHm中国仓鼠
  • Chk
;

联系我们

Location :

南京市高新开发区星火路10号人才大厦C座

Phone :

400-9961-933
025-58868422

Email Address

info@sabbiotech.com