免费电话:400-9961-933
邮箱:info@sabbiotech.com
欢迎光临本站
川博智能体 English
位置: 首页 > 多克隆抗体 > HTR3A Antibody

HTR3A Antibody #32946

是否有货: 有货
产品详情

产品名称HTR3A Antibody

来源种属Rabbit

克隆性Polyclonal

亚型IgG

纯化Affinity purification

应用WB,IHC

种属反应性Human;Mouse;Rat

特异性The antibody detects endogenous level of total HTR3A protein.

免疫原类型Recombinant Protein

免疫原描述Recombinant fusion protein of human HTR3A (NP_000860.2).

基因/蛋白名称HTR3A

标记Unconjugated

别名HTR3A;5-HT-3;5-HT3A;5-HT3R;5HT3R;HTR3

数据库入口号Uniprot:P46098
GeneID:3359

Uniprot P46098

Gene ID 3359

实际分子量55kDa

浓度1.0mg/ml

配方PBS with 0.02% sodium azide,50% glycerol,pH7.3.

保存Store at -20˚C. Avoid freeze / thaw cycles.

应用详情
WB 1:500 - 1:2000
IHC 1:50 - 1:200
Western blot analysis of extracts of various cell lines, using HTR3A antibody.
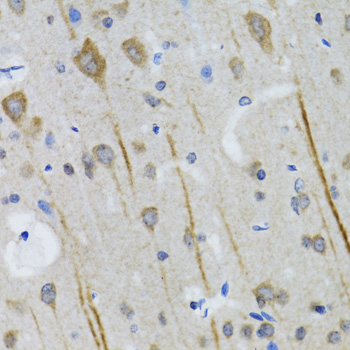
Immunohistochemistry of paraffin-embedded rat brain using HTR3A antibody.
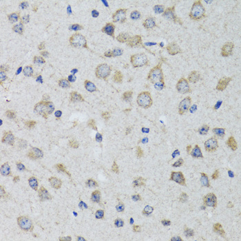
Immunohistochemistry of paraffin-embedded mouse brain using HTR3A antibody.
The product of this gene belongs to the ligand-gated ion channel receptor superfamily. This gene encodes subunit A of the type 3 receptor for 5-hydroxytryptamine (serotonin), a biogenic hormone that functions as a neurotransmitter, a hormone, and a mitogen. This receptor causes fast, depolarizing responses in neurons after activation. It appears that the heteromeric combination of A and B subunits is necessary to provide the full functional features of this receptor, since either subunit alone results in receptors with very low conductance and response amplitude. Alternatively spliced transcript variants encoding different isoforms have been identified.

如果您使用该产品32946发表了文章,请通知我们,让我们可以引用您的文献。

et al,Therapeutic effects of three-strain probiotic combination on slow transit constipation: mechanistic insights into MAPK signaling pathway and gut microbiota restoration , (2025),
PMID: 41190020

注释

应用

  • WB免疫印迹
  • IHC免疫组化
  • IF免疫荧光
  • ICC免疫细胞化学
  • FC流式细胞
  • IP免疫沉淀
  • E酶联免疫吸附法
  • DB免疫斑点法
  • ChIP染色质免疫沉淀
  • GICA胶体金免疫层析法
  • NC阴性对照

种属反应性

  • Hu
  • Ms小鼠
  • Rt大鼠
  • Dm果蝇
  • C线虫
  • Mk
  • Rb
  • B
  • D
  • P
  • Hm仓鼠
  • ChHm中国仓鼠
  • Chk
;

联系我们

Location :

南京市高新开发区星火路10号人才大厦C座

Phone :

400-9961-933
025-58868422

Email Address

info@sabbiotech.com