免费电话:400-9961-933
邮箱:info@sabbiotech.com
欢迎光临本站
川博智能体 English
位置: 首页 > 多克隆抗体 > CS Antibody

CS Antibody #32989

是否有货: 有货
产品详情

产品名称CS Antibody

来源种属Rabbit

克隆性Polyclonal

纯化Antibodies were purified by affinity purification using immunogen.

应用WB,IF

种属反应性Human;Mouse;Rat

特异性The antibody detects endogenous level of total CS protein.

免疫原类型Recombinant Protein

免疫原描述Recombinant protein of human CS.

基因/蛋白名称CS

标记Unconjugated

数据库入口号Swiss-Prot:O75390
NCBI Gene ID:1431

Uniprot O75390

实际分子量51KD

浓度1.0mg/ml

配方Supplied at 1.0mg/mL in phosphate buffered saline (without Mg2+ and Ca2+), pH 7.4, 150mM NaCl, 0.02% sodium azide and 50% glycerol.

保存Store at -20˚C

应用详情
WB 1:500 - 1:2000
IF 1:50 - 1:200
Immunofluorescence analysis of MCF-7 cells using CS antibody. Blue: DAPI for nuclear staining.
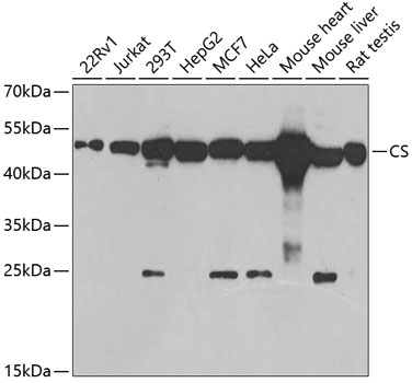
Western blot analysis of extracts of various cell lines, using CS antibody at 1:1000 dilution._Secondary antibody: HRP Goat Anti-Rabbit IgG (H+L) (AS014) at 1:10000 dilution._Lysates/proteins: 25ug per lane._Blocking buffer: 3% nonfat dry milk in TBST._Detection: ECL Basic Kit (RM00020)._Exposure time: 15s.
Confocal immunofluorescence analysis of U2OS cells using CS Polyclonal antibody at dilution of 1:100. Blue: DAPI for nuclear staining.
The protein encoded by this gene is a Krebs tricarboxylic acid cycle enzyme that catalyzes the synthesis of citrate from oxaloacetate and acetyl coenzyme A. The enzyme is found in nearly all cells capable of oxidative metablism. This protein is nuclear encoded and transported into the mitochondrial matrix, where the mature form is found.

如果您使用该产品32989发表了文章,请通知我们,让我们可以引用您的文献。

et al,Saikosaponin D ameliorates sepsis-induced acute lung injury by maintaining alveolar epithelial barrier integrity and inhibiting ferroptosis via Nrf2/HO-1 pathway , (2025),
PMID: 40569790

注释

应用

  • WB免疫印迹
  • IHC免疫组化
  • IF免疫荧光
  • ICC免疫细胞化学
  • FC流式细胞
  • IP免疫沉淀
  • E酶联免疫吸附法
  • DB免疫斑点法
  • ChIP染色质免疫沉淀
  • GICA胶体金免疫层析法
  • NC阴性对照

种属反应性

  • Hu
  • Ms小鼠
  • Rt大鼠
  • Dm果蝇
  • C线虫
  • Mk
  • Rb
  • B
  • D
  • P
  • Hm仓鼠
  • ChHm中国仓鼠
  • Chk
;

联系我们

Location :

南京市高新开发区星火路10号人才大厦C座

Phone :

400-9961-933
025-58868422

Email Address

info@sabbiotech.com