免费电话:400-9961-933
邮箱:info@sabbiotech.com
欢迎光临本站
川博智能体 English
位置: 首页 > 多克隆抗体 > ACTR2 Antibody

ACTR2 Antibody #33001

是否有货: 有货
产品详情

产品名称ACTR2 Antibody

来源种属Rabbit

克隆性Polyclonal

纯化Antibodies were purified by affinity purification using immunogen.

应用WB,IHC,IF

种属反应性Human;Mouse;Rat

特异性The antibody detects endogenous level of total ACTR2 protein.

免疫原类型Recombinant Protein

免疫原描述Recombinant protein of human ACTR2.

基因/蛋白名称ACTR2

标记Unconjugated

别名ARP2;

数据库入口号Swiss-Prot:P61160
NCBI Gene ID:10097

Uniprot P61160

实际分子量44KD

浓度1.0mg/ml

配方Supplied at 1.0mg/mL in phosphate buffered saline (without Mg2+ and Ca2+), pH 7.4, 150mM NaCl, 0.02% sodium azide and 50% glycerol.

保存Store at -20˚C

应用详情
WB 1:500 - 1:2000
IHC 1:50 - 1:200
IF 1:50 - 1:200
Immunofluorescence analysis of U2OS cells using ACTR2 antibody. Blue: DAPI for nuclear staining.
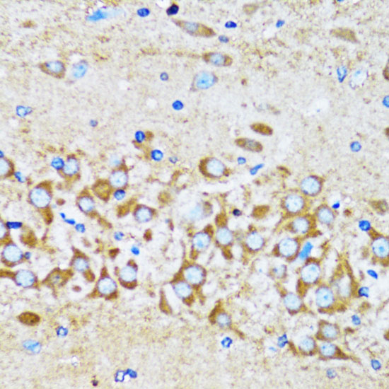
Immunohistochemistry of paraffin-embedded rat brain using ACTR2 antibody at dilution of 1:100 (40x lens).
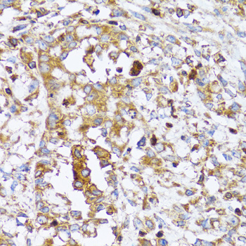
Immunohistochemistry of paraffin-embedded human uterine cancer using ACTR2 antibody at dilution of 1:100 (40x lens).
Immunohistochemistry of paraffin-embedded mouse brain using ACTR2 antibody at dilution of 1:100 (40x lens).
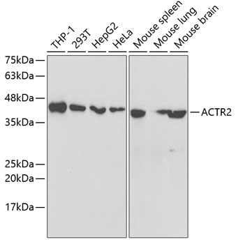
Western blot analysis of extracts of various cell lines, using ACTR2 antibody at 1:1000 dilution.
The specific function of this gene has not yet been determined; however, the protein it encodes is known to be a major constituent of the ARP2/3 complex. This complex is located at the cell surface and is essential to cell shape and motility through lamellipodial actin assembly and protrusion. Two transcript variants encoding different isoforms have been found for this gene.

如果您使用该产品33001发表了文章,请通知我们,让我们可以引用您的文献。

et al,X chromosome-linked intellectual disability protein PQBP1 associates with and regulates the translation of specific mRNAs. In Hum Mol Genet on 2015 Aug 15 by Didi Wan, Zi Chao Zhang,et al..PMID:26002102 , (2015),
PMID: 26002102

注释

应用

  • WB免疫印迹
  • IHC免疫组化
  • IF免疫荧光
  • ICC免疫细胞化学
  • FC流式细胞
  • IP免疫沉淀
  • E酶联免疫吸附法
  • DB免疫斑点法
  • ChIP染色质免疫沉淀
  • GICA胶体金免疫层析法
  • NC阴性对照

种属反应性

  • Hu
  • Ms小鼠
  • Rt大鼠
  • Dm果蝇
  • C线虫
  • Mk
  • Rb
  • B
  • D
  • P
  • Hm仓鼠
  • ChHm中国仓鼠
  • Chk
;

联系我们

Location :

南京市高新开发区星火路10号人才大厦C座

Phone :

400-9961-933
025-58868422

Email Address

info@sabbiotech.com