免费电话:400-9961-933
邮箱:info@sabbiotech.com
欢迎光临本站
川博智能体 English
位置: 首页 > 多克隆抗体 > MAVS Antibody

MAVS Antibody #33026

是否有货: 有货
产品详情

产品名称MAVS Antibody

来源种属Rabbit

克隆性Polyclonal

亚型IgG

纯化Affinity purification

应用WB,IHC,IF

种属反应性Human;Mouse;Rat

特异性The antibody detects endogenous level of total MAVS protein.

免疫原类型Recombinant Protein

免疫原描述Recombinant fusion protein of human MAVS (NP_065797.2).

基因/蛋白名称MAVS

标记Unconjugated

别名CARDIF;IPS-1;IPS1;VISA;MAVS

数据库入口号Uniprot:Q7Z434
GeneID:57506

Uniprot Q7Z434

Gene ID 57506

实际分子量70kDa

浓度1.0mg/ml

配方PBS with 0.02% sodium azide,50% glycerol,pH7.3.

保存Store at -20˚C. Avoid freeze / thaw cycles.

应用详情
WB 1:500 - 1:2000
IHC 1:50 - 1:200
IF 1:50 - 1:200
Western blot analysis of extracts of various cell lines, using MAVS antibody.
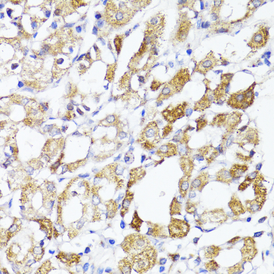
Immunohistochemistry of paraffin-embedded Rat ovary using MAVS antibody.
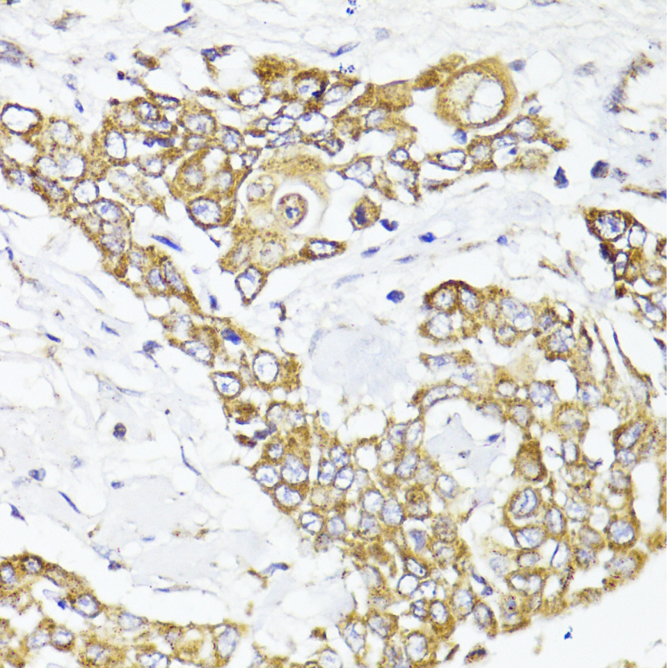
Immunohistochemistry of paraffin-embedded human colon carcinoma using MAVS antibody.
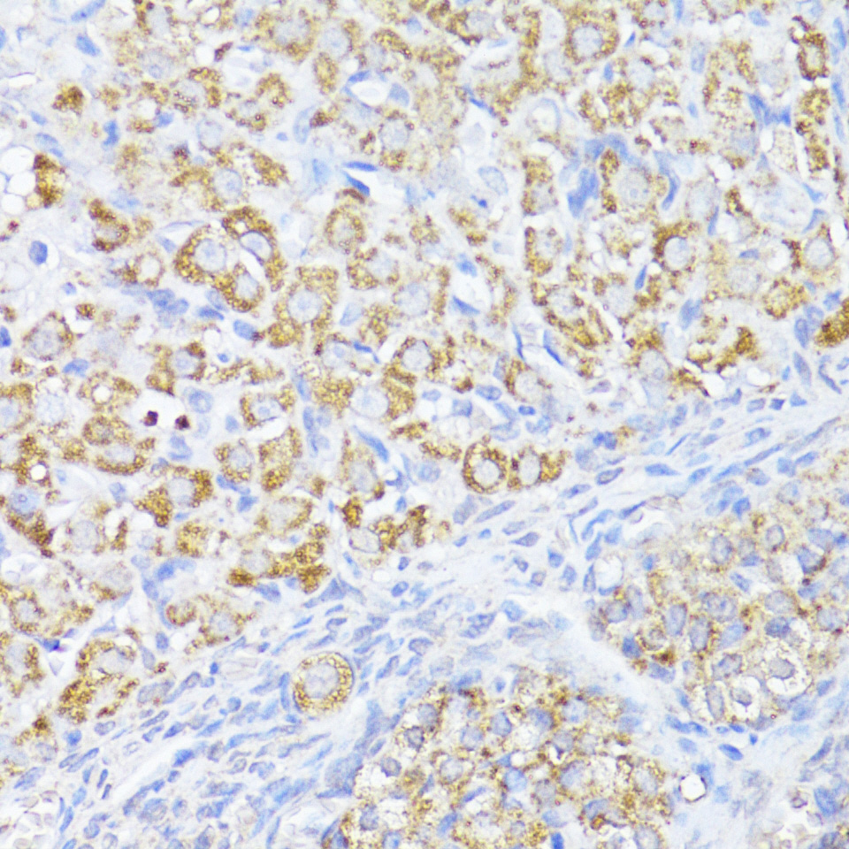
Immunohistochemistry of paraffin-embedded human stomach using MAVS antibody.
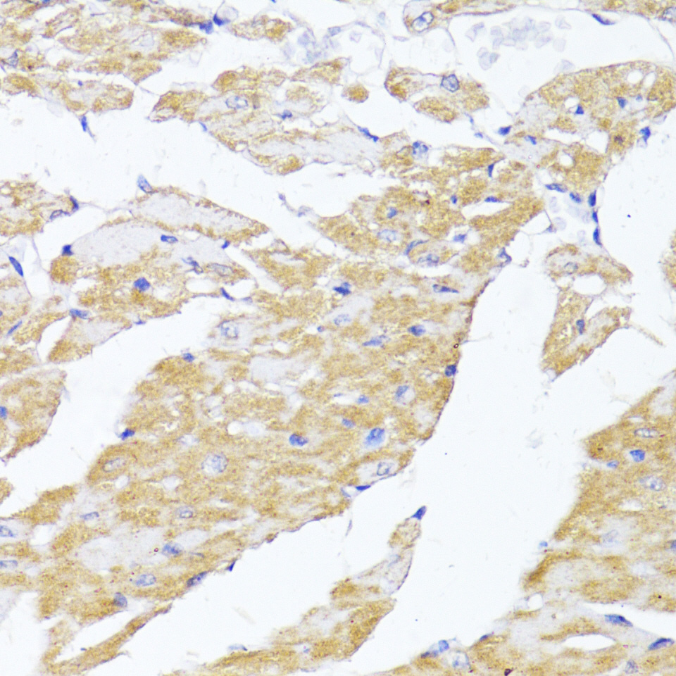
Immunohistochemistry of paraffin-embedded Mouse heart using MAVS antibody.
Immunofluorescence analysis of NIH-3T3 cells using MAVS Rabbit pAb.
This gene encodes an intermediary protein necessary in the virus-triggered beta interferon signaling pathways. It is required for activation of transcription factors which regulate expression of beta interferon and contributes to antiviral immunity. Multiple transcript variants encoding different isoforms have been found for this gene.

如果您使用该产品33026发表了文章,请通知我们,让我们可以引用您的文献。

et al,Enterovirus 71 protease 2Apro targets MAVS to inhibit anti-viral type I interferon responses. In PLoS Pathog on 2013 Mar by Bei Wang, Xueyan Xi, et al..PMID: 23555247 , (2013),
PMID: 23555247

注释

应用

  • WB免疫印迹
  • IHC免疫组化
  • IF免疫荧光
  • ICC免疫细胞化学
  • FC流式细胞
  • IP免疫沉淀
  • E酶联免疫吸附法
  • DB免疫斑点法
  • ChIP染色质免疫沉淀
  • GICA胶体金免疫层析法
  • NC阴性对照

种属反应性

  • Hu
  • Ms小鼠
  • Rt大鼠
  • Dm果蝇
  • C线虫
  • Mk
  • Rb
  • B
  • D
  • P
  • Hm仓鼠
  • ChHm中国仓鼠
  • Chk
;

联系我们

Location :

南京市高新开发区星火路10号人才大厦C座

Phone :

400-9961-933
025-58868422

Email Address

info@sabbiotech.com