免费电话:400-9961-933
邮箱:info@sabbiotech.com
欢迎光临本站
川博智能体 English
位置: 首页 > 多克隆抗体 > ANP32A Antibody

ANP32A Antibody #33030

是否有货: 有货
产品详情

产品名称ANP32A Antibody

来源种属Rabbit

克隆性Polyclonal

亚型IgG

纯化Affinity purification

应用WB,IHC

种属反应性Human;Mouse;Rat

特异性The antibody detects endogenous level of total ANP32A protein.

免疫原类型Recombinant Protein

免疫原描述Recombinant fusion protein of human ANP32A (NP_006296.1).

基因/蛋白名称ANP32A

标记Unconjugated

别名ANP32A;C15orf1;HPPCn;I1PP2A;LANP;MAPM;PHAP1;PHAPI;PP32

数据库入口号Uniprot:P39687
GeneID:8125

Uniprot P39687

Gene ID 8125

实际分子量28kDa

浓度1.0mg/ml

配方PBS with 0.02% sodium azide,50% glycerol,pH7.3.

保存Store at -20˚C. Avoid freeze / thaw cycles.

应用详情
WB 1:500 - 1:2000
IHC 1:50 - 1:200
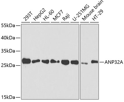
Western blot analysis of extracts of various cell lines, using ANP32A antibody.
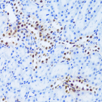
Immunohistochemistry of paraffin-embedded rat kidney using ANP32A Antibody.
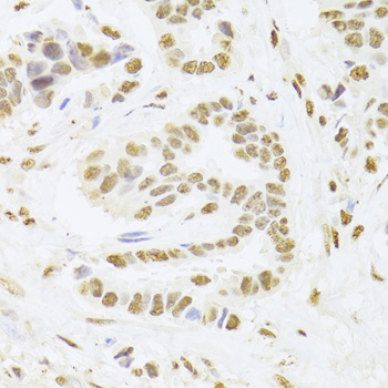
Immunohistochemistry of paraffin-embedded human breast cancer using ANP32A Antibody.
Immunohistochemistry of paraffin-embedded mouse brain using ANP32A Antibody.
Multifunctional protein that is involved in the regulation of many processes including tumor suppression, apoptosis, cell cycle progression or transcription. Promotes apoptosis by favouring the activation of caspase-9/CASP9 and allowing apoptosome formation. In addition, plays a role in the modulation of histone acetylation and transcription as part of the INHAT (inhibitor of histone acetyltransferases complex. Inhibits the histone-acetyltranferase activity of EP300/CREBBP (CREB-binding protein and EP300/CREBBP-associated factor by histone masking. Preferentially binds to unmodified histone H3 and sterically inhibiting its acetylation and phosphorylation leading to cell growth inhibition. Participates in other biochemical processes such as regulation of mRNA nuclear-to-cytoplasmic translocation and stability by its association with ELAVL1 (Hu-antigen R. Plays a role in E4F1-mediated transcriptional repression as well as inhibition of protein phosphatase 2A.

如果您使用该产品33030发表了文章,请通知我们,让我们可以引用您的文献。

et al,Paroxetine Attenuates Cardiac Hypertrophy Via Blocking GRK2 and ADRB1 Interaction in Hypertension. In J Am Heart Assoc on 2021 Jan 5 by Xuejing Sun, Mengli Zhou, et al..PMID:33372534 , (2021),
PMID: 33372534

注释

应用

  • WB免疫印迹
  • IHC免疫组化
  • IF免疫荧光
  • ICC免疫细胞化学
  • FC流式细胞
  • IP免疫沉淀
  • E酶联免疫吸附法
  • DB免疫斑点法
  • ChIP染色质免疫沉淀
  • GICA胶体金免疫层析法
  • NC阴性对照

种属反应性

  • Hu
  • Ms小鼠
  • Rt大鼠
  • Dm果蝇
  • C线虫
  • Mk
  • Rb
  • B
  • D
  • P
  • Hm仓鼠
  • ChHm中国仓鼠
  • Chk
;

联系我们

Location :

南京市高新开发区星火路10号人才大厦C座

Phone :

400-9961-933
025-58868422

Email Address

info@sabbiotech.com