免费电话:400-9961-933
邮箱:info@sabbiotech.com
欢迎光临本站
川博智能体 English
位置: 首页 > 多克隆抗体 > GOT1 Antibody

GOT1 Antibody #33068

是否有货: 有货
产品详情

产品名称GOT1 Antibody

来源种属Rabbit

克隆性Polyclonal

纯化Antibodies were purified by affinity purification using immunogen.

应用WB,IHC,IF

种属反应性Human;Mouse;Rat

特异性The antibody detects endogenous level of total GOT1 protein.

免疫原类型Recombinant Protein

免疫原描述Recombinant protein of human GOT1.

基因/蛋白名称GOT1

标记Unconjugated

别名cCAT; GIG18; cAspAT; ASTQTL1;

数据库入口号Swiss-Prot:P17174
NCBI Gene ID:2805

Uniprot P17174

实际分子量46KD

浓度1.0mg/ml

配方Supplied at 1.0mg/mL in phosphate buffered saline (without Mg2+ and Ca2+), pH 7.4, 150mM NaCl, 0.02% sodium azide and 50% glycerol.

保存Store at -20˚C

应用详情
WB 1:500 - 1:2000
IHC 1:50 - 1:200
IF 1:10 - 1:100
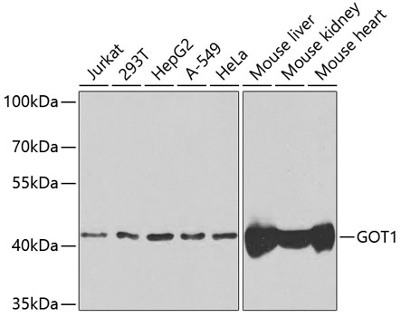
Western blot analysis of extracts of various cell lines, using GOT1 antibody at 1:1000 dilution.
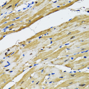
Immunohistochemistry of paraffin-embedded rat heart using GOT1 antibody at dilution of 1:100 (40x lens).
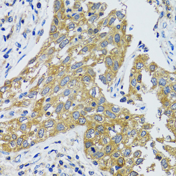
Immunohistochemistry of paraffin-embedded human lung cancer using GOT1 antibody at dilution of 1:100 (40x lens).
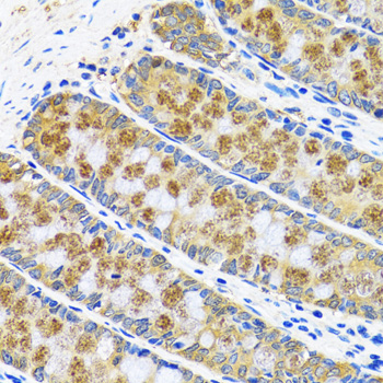
Immunohistochemistry of paraffin-embedded human colon using GOT1 antibody at dilution of 1:100 (40x lens).
Immunofluorescence analysis of U2OS cells using GOT1 antibody. Blue: DAPI for nuclear staining.
Glutamic-oxaloacetic transaminase is a pyridoxal phosphate-dependent enzyme which exists in cytoplasmic and mitochondrial forms, GOT1 and GOT2, respectively. GOT plays a role in amino acid metabolism and the urea and tricarboxylic acid cycles. The two enzymes are homodimeric and show close homology.

如果您使用该产品33068发表了文章,请通知我们,让我们可以引用您的文献。

et al,c-Myc protects hepatocellular carcinoma cell from ferroptosis induced by glutamine deprivation via upregulating GOT1 and Nrf2InMol Biol RepOn2023 AugbyYuxiang Zhao?1,?Yue Wang et al..PMID:?37358765 , (2023),
PMID: 37358765

注释

应用

  • WB免疫印迹
  • IHC免疫组化
  • IF免疫荧光
  • ICC免疫细胞化学
  • FC流式细胞
  • IP免疫沉淀
  • E酶联免疫吸附法
  • DB免疫斑点法
  • ChIP染色质免疫沉淀
  • GICA胶体金免疫层析法
  • NC阴性对照

种属反应性

  • Hu
  • Ms小鼠
  • Rt大鼠
  • Dm果蝇
  • C线虫
  • Mk
  • Rb
  • B
  • D
  • P
  • Hm仓鼠
  • ChHm中国仓鼠
  • Chk
;

联系我们

Location :

南京市高新开发区星火路10号人才大厦C座

Phone :

400-9961-933
025-58868422

Email Address

info@sabbiotech.com