免费电话:400-9961-933
邮箱:info@sabbiotech.com
欢迎光临本站
川博智能体 English
位置: 首页 > 多克隆抗体 > TNFSF13B Antibody

TNFSF13B Antibody #33095

是否有货: 有货
产品详情

产品名称TNFSF13B Antibody

来源种属Rabbit

克隆性Polyclonal

亚型IgG

纯化Affinity purification

应用WB,IHC,IF

种属反应性Human;Mouse;Rat

特异性The antibody detects endogenous level of total TNFSF13B protein.

免疫原类型Recombinant Protein

免疫原描述Recombinant fusion protein of human TNFSF13B (NP_006564.1).

基因/蛋白名称TNFSF13B

标记Unconjugated

别名TNFSF13B;BAFF;BLYS;CD257;DTL;TALL-1;TALL1;THANK;TNFSF20;TNLG7A;ZTNF4

数据库入口号Uniprot:Q9Y275
GeneID:10673

Uniprot Q9Y275

Gene ID 10673

实际分子量17KDa/31KDa

浓度1.0mg/ml

配方PBS with 0.02% sodium azide,50% glycerol,pH7.3.

保存Store at -20˚C. Avoid freeze / thaw cycles.

应用详情
WB 1:500 - 1:2000
IHC 1:50 - 1:200
IF 1:50 - 1:100
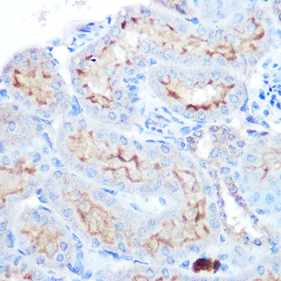
Immunohistochemistry of paraffin-embedded mouse kidney using TNFSF13B Rabbit pAb.
Western blot analysis of various lysates, using TNFSF13B Rabbit pAb at 1:700 dilution.
Western blot analysis of lysates from U-937 cells, using TNFSF13B Rabbit pAb at 1:700 dilution.
The protein encoded by this gene is a cytokine that belongs to the tumor necrosis factor (TNF) ligand family. This cytokine is a ligand for receptors TNFRSF13B/TACI, TNFRSF17/BCMA, and TNFRSF13C/BAFFR. This cytokine is expressed in B cell lineage cells, and acts as a potent B cell activator. It has been also shown to play an important role in the proliferation and differentiation of B cells. Alternatively spliced transcript variants encoding distinct isoforms have been identified.

如果您使用该产品33095发表了文章,请通知我们,让我们可以引用您的文献。

et al,Machine learning–based integration develops a stress response stated T cell (Tstr)–related score for predicting outcomes in clear cell renal cell carcinoma. In Int Immunopharmacol on 2024 May 10 by Shuai Yang, Zhaodong Han,et al..PMID:38599101 , (2024),
PMID: 38599101

注释

应用

  • WB免疫印迹
  • IHC免疫组化
  • IF免疫荧光
  • ICC免疫细胞化学
  • FC流式细胞
  • IP免疫沉淀
  • E酶联免疫吸附法
  • DB免疫斑点法
  • ChIP染色质免疫沉淀
  • GICA胶体金免疫层析法
  • NC阴性对照

种属反应性

  • Hu
  • Ms小鼠
  • Rt大鼠
  • Dm果蝇
  • C线虫
  • Mk
  • Rb
  • B
  • D
  • P
  • Hm仓鼠
  • ChHm中国仓鼠
  • Chk
;

联系我们

Location :

南京市高新开发区星火路10号人才大厦C座

Phone :

400-9961-933
025-58868422

Email Address

info@sabbiotech.com