免费电话:400-9961-933
邮箱:info@sabbiotech.com
欢迎光临本站
川博智能体 English
位置: 首页 > 多克隆抗体 > TFRC Antibody

TFRC Antibody #33101

是否有货: 有货
产品详情

产品名称TFRC Antibody

来源种属Rabbit

克隆性Polyclonal

纯化Antibodies were purified by affinity purification using immunogen.

应用WB,IHC,IF

种属反应性Human;Mouse;Rat

特异性The antibody detects endogenous level of total TFRC protein.

免疫原类型Recombinant Protein

免疫原描述Recombinant protein of human TFRC.

基因/蛋白名称TFRC

标记Unconjugated

别名T9; TR; TFR; p90; CD71

数据库入口号Swiss-Prot:P02786
NCBI Gene ID:7037

Uniprot P02786

实际分子量84KD

浓度1.0mg/ml

配方Supplied at 1.0mg/mL in phosphate buffered saline (without Mg2+ and Ca2+), pH 7.4, 150mM NaCl, 0.02% sodium azide and 50% glycerol.

保存Store at -20˚C

应用详情
WB 1:500 - 1:2000
IHC 1:50 - 1:200
IF 1:50 - 1:200
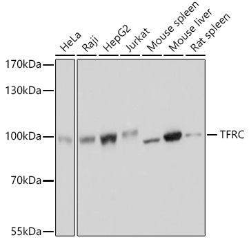
Western blot analysis of extracts of various cell lines, using TFRC antibody at 1:3000 dilution.
Immunofluorescence analysis of L929 cells using TFRC Polyclonal antibody at dilution of 1:100 (40x lens). Blue: DAPI for nuclear staining.
Immunohistochemistry of paraffin-embedded rat kidney using TFRC antibody at dilution of 1:100 (40x lens).
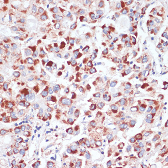
Immunohistochemistry of paraffin-embedded human liver cancer using TFRC antibody at dilution of 1:100 (40x lens).
Immunohistochemistry of paraffin-embedded human colon carcinoma using TFRC antibody at dilution of 1:100 (40x lens).
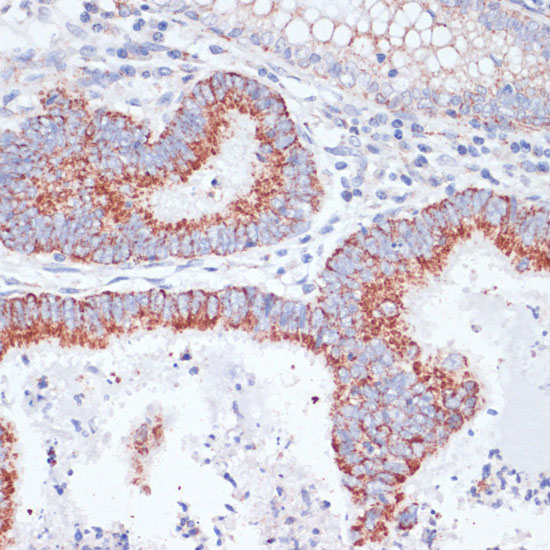
Immunohistochemistry of paraffin-embedded human placenta using TFRC antibody at dilution of 1:100 (40x lens).
Cellular uptake of iron occurs via receptor-mediated endocytosis of ligand-occupied transferrin receptor into specialized endosomes. Endosomal acidification leads to iron release. The apotransferrin-receptor complex is then recycled to the cell surface with a return to neutral pH and the concomitant loss of affinity of apotransferrin for its receptor. Transferrin receptor is necessary for development of erythrocytes and the nervous system . A second ligand, the heditary hemochromatosis protein HFE, competes for binding with transferrin for an overlapping C-terminal binding site.

如果您使用该产品33101发表了文章,请通知我们,让我们可以引用您的文献。

et al,PDE4B promotes ferroptosis in nucleus pulposus cells and is involved in intervertebral disc degeneration. , (2025),
PMID: 39893206
et al,Artemisinin inhibits neuronal ferroptosis in Alzheimer's disease models by targeting KEAP1 , (2025),
PMID: 39251858

注释

应用

  • WB免疫印迹
  • IHC免疫组化
  • IF免疫荧光
  • ICC免疫细胞化学
  • FC流式细胞
  • IP免疫沉淀
  • E酶联免疫吸附法
  • DB免疫斑点法
  • ChIP染色质免疫沉淀
  • GICA胶体金免疫层析法
  • NC阴性对照

种属反应性

  • Hu
  • Ms小鼠
  • Rt大鼠
  • Dm果蝇
  • C线虫
  • Mk
  • Rb
  • B
  • D
  • P
  • Hm仓鼠
  • ChHm中国仓鼠
  • Chk
;

联系我们

Location :

南京市高新开发区星火路10号人才大厦C座

Phone :

400-9961-933
025-58868422

Email Address

info@sabbiotech.com